Las 10 preguntas MIR (comentadas) que más te estrujarán el cerebro
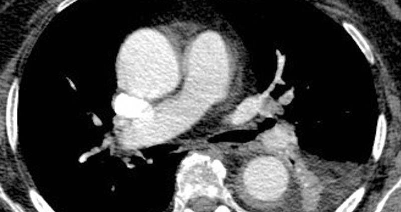
{"name":"Las 10 preguntas MIR (comentadas) que más te estrujarán el cerebro", "url":"https://www.quiz-maker.com/QPREVIEW","txt":"Varón de 78 años diabético tipo 2 que consulta por disnea y dos episodios de síncope en la última semana y refiere angina de esfuerzo no progresiva en los últimos 5 meses. En la exploración física el paciente se encuentra eupneico, TA 143\/60 mmHg, FC 78lpm, Sat O2 98%. Auscultación pulmonar con murmullo vesicular conservado y auscultación cardiaca con soplo sistólico aórtico IV\/VI que borra completamente el segundo tono, irradiado a carótidas. El paciente ingresa en la planta de cardiología y se realiza ecocardiograma transtorácico que muestra VI de dimensiones normales con hipertrofia ventricular izquierda concéntrica moderada, hipoquinesia moderada del segmento medioapical anterior y FEVI conservada. La válvula aórtica se encuentra severamente calcificada con velos engrosados y apertura visualmente restringida. El gradiente transvalvular aórtico medio es de 60 mmHg y el área valvular estimada de 0.9 cm2. Se decide realizar coronariografía diagnóstica a fin de descartar enfermedad coronaria y en la misma se objetiva: TCI (tronco coronario izquierdo) sin estenosis significativas, DA (arteria descendente anterior) proximal con estenosis severa del 70%, CX (arteria circunfleja) con dos estenosis en tándem del 60%, OM (arteria obtusa marginal) ostial con estenosis del 50% y CD (arteria coronaria derecha) con irregularidades no significativas. ¿Cuál sería la actitud terapéutica con este paciente?:, Acude a su conculta un hombre de 55 años con antecedente de trombosis venosa profunda por fiebre recurrente de semanas de evolución de hasta 38.5ºC con artralgias y artritis. En la analítica destaca elevación de PCR y anemia macrócitica. A su llegada objetiva pápulas rosadas y violáceas en cuello y tronco. La biopsia cutánea revela dermatosis neutrofílica. A este respecto sospecha sindrome de VEXAS y solicita un panel genético de enfermedades autoinflamatorias que incluye el gen UBA1. Sobre esta entidad señale la falsa:, En un estudio se pretende investigar la relación entre la exposición a hidrocarburos aromáticos y la aparición de una determinada estirpe histológica de carcinoma urotelial. Al analizar los grupos muestrales, se aprecia que difieren en la edad además de la presencia o no de su exposición a los hidrocarburos. El riesgo relativo crudo fue de 2,5. Se realiza un análisis estratificado por la edad, obteniendo un riesgo relativo en el grupo de ancianos de 3,5, y un riesgo relativo en el grupo de jóvenes de 1,7. Indique qué tipo de error se está cometiendo en este caso:","img":"https://www.quiz-maker.com/3012/CDN/97-4784253/imagen-pregunta-10-cd.jpeg?sz=1200-00000010301000005300"}
More Quizzes
24120
Spring
1050
Cuanto sabes de kazu
10516
The Battle of Hastings Quiz
9424
Which Silent Hill Character Are You? Take the Free
201024839
Early Native American History - Test Your Knowledge
201039525
Macbeth Quotes - Name the Speaker (Acts 1 - 3)
201020069
Lord Hanuman - Test Your Knowledge (Free)
201025871
Role Play & Simulation - Test Your Knowledge
201026544
MW2 - How Well Do You Know Modern Warfare 2?
201026544
Management Review Controls Knowledge Test - Free
201020905
Love Quotes - Test Your Knowledge of Romantic Lines
201024644
