Part 5 episode 4
125) A 2-week-old infant presents with sudden onset of bilious emesis. Plain films of the abdomen show evidence of an intestinal obstruction. An upper gastrointestinal (UGI) contrast series reveals a midgut volvulus with the site of obstruction at the third portion of the duodenum. Which of the following is the most likely diagnosis?
Intussusception
Necrotizing enterocolitis (NEC)
Hirschsprung disease
Anomalies of intestinal rotation and fixation
Hypertrophic pyloric stenosis
126) A 65-year-old woman is involved in a motor vehicle collision and sustains multiple left-sided rib fractures. Upon presentation to the ER her vital signs are stable and she is in no respiratory distress. Chest x-ray reveals fractures of ribs 4 to 7 on the left side without evidence of hemothorax or pneumothorax. She is admitted for observation and a few hours later she develops shortness of breath. A repeat chest x-ray demonstrates a well-defined infiltrate in her left lung. What is the most likely diagnosis?
Pulmonary contusion
Pneumonia
Pulmonary embolus
Myocardial infarction
Cardiac tamponade
127) Following a head-on motor vehicle collision, a 21-year-old unrestrained passenger presents to the ER with dyspnea and respiratory distress. She is intubated and physical examination reveals subcutaneous emphysema and decreased breath sounds. Chest x-ray reveals cervical emphysema, pneumomediastinum, and a right-sided pneumothorax. What is the most likely diagnosis?
Tension pneumothorax
Tension pneumothorax
Tracheobronchial injury
Esophageal injury
Pulmonary contusion
128) A 35-week-term infant presents with cyanosis shortly after birth. His arterial oxygen saturation is only 30%. Which of the following is the most likely diagnosis?
Patent ductus arteriosus
Coarctation of the aorta
Atrial septal defect
Ventricular septal defect
Transposition of the great vessels
129) A 22-year-old primi-gravida woman is brought to the emergency department during the 33rd week of pregnancy after a tonic-clonic seizure. She has no history of seizure disorder and has not had any complications during her pregnancy. She is given magnesium sulfate and hydralazine. One hour later, she is lethargic and complains of persistent blurry vision and headache. She also complains of muscle pain, sore joints, and inability to move her right arm. Her temperature is 37.2°C (99°F), blood pressure is 182/111 mm Hg, pulse is 112/min, and respirations are 16/min. She holds her right arm adducted and internally rotated. Examination shows no sensory loss but an inability to externally rotate the right arm. Deep tendon reflexes (DTRs) are intact bilaterally, and handgrip is preserved on both sides. Which of the following is the most likely cause of her arm weakness?
Anterior shoulder dislocation
Postictal (Todd) paralysis
Magnesium toxicity
Posterior shoulder dislocation
Radial nerve compression
130) A 78-year-old diabetic man has undergone surgical repair of a large abdominal aortic aneurysm. Postoperatively, he develops left lower quadrant abdominal pain followed by bloody diarrhea. He has a history of prostate cancer and received radiation therapy several years ago. He eats a low fiber diet. He quit smoking recently. Vital signs show a low grade fever. Examination shows tenderness in the left lower quadrant and rectal examination reveals blood in the stool. CT scan of the abdomen demonstrates thickening of the colon at the recto-sigmoid junction. On colonoscopy, ulcerations are seen in the same area while the colon above and below the lesions is completely normal. Which of the following is the most likely cause of his symptoms?
Acute diverticulitis
Ischemic colitis
Radiation proctitis
Inflammatory bowel disease
Clostridium difficile colitis
131) A 55-year-old man comes to the physician because of a 4-month history of an ulcer on the sole of his right foot. He has had no trauma and does not remember how he got the ulcer. He states the ulcer has been difficult to heal and readily gets infected. He has multiple medical problems. He does not use tobacco, alcohol or drugs. Examination shows the ulcer is located on the sole of his foot just below the head of the first metatarsal bone. His foot is warm and dry and appears slightly deformed. Dorsalis pedis pulses are present. Which of the following is the most likely cause of his condition?
Venous hypertension
Arterial spasm
Peripheral neuropathy
Central spinal cord lesion
Posterior spinal cord lesion
132) A 43-year-old male complains of right shoulder pain and weakness after falling on his outstretched hands two days ago. He denies shoulder deformity. The physician passively abducts both his arms above his head and then asks him to bring his arms down slowly in an adducting motion. The right arm drops rapidly at the midpoint of its descent. What is the most likely diagnosis?
Biceps tendon tear
Long thoracic nerve injury
Lower brachial trunk injury
Rotator cuff tear
Humeral neck fracture
133) A 45-year-old policeman presents to your office complaining of tiredness and sleepiness. He says that his job seems tiring to him recently. It is difficult for him to get up in the morning and go to work. He goes to bed early because he feels tired and sleepy. Two months ago, he was investigating a case of mass murder. He slipped on the blood on the floor, fell and hit his head. He also describes recent abdominal pain that is constant and gnawing, interfering with his sleep. His appetite is poor, and he lost 15 pounds over the last month. Physical examination is significant only for tenderness and fullness in the epigastrium. Which of the following is the most likely diagnosis?
Duodenal ulcer
Major depressive episode
Pancreatic cancer
Post-traumatic stress disorder
Chronic subdural hematoma
134) A 32-year-old man comes to the emergency room (ER) because of acute onset left flank pain, hematuria and vomiting. His pain is relieved with analgesics in the ER. He has a history of abdominal pain due to Crohn disease, but that pain was always in the right lower quadrant and was never this severe. His temperature is 36.8°C (98.2°F), blood pressure is 120/65 mm Hg, pulse is 110/min and respirations are 16/min. Chest auscultation is clear. Abdomen is soft and mildly tender over the left flank. He has no rebound or rigidity. Bowel sounds are decreased. A laparotomy scar is present in right lower quadrant. Which of the following is the most likely cause of his symptoms?
Increased recycling of bile salts and fatty acids
Increased absorption of oxalate
Increased absorption of calcium
Recurrent bacterial infection in the kidney
Increased parathyroid hormone activity
135) A 36-year-old male presents with firm, non-tender swelling of his right cheek. He tells you that he had similar swelling at that site two years ago and was diagnosed with a tumor, which was subsequently removed without complication. Examination reveals fullness of the pre-auricular space on the right side. Repeat surgery in this patient is most likely to result in which of the following complications?
Hoarseness
Tic douloureux
Facial droop
Tongue palsy
Jaw asymmetry
136) A 39-year-old paleontologist complains of right-sided hip pain that makes it very difficult for him to lie on his right side while sleeping. He localizes the pain to the outer surface of his thigh. He was recently diagnosed with hypertension and hyperlipidemia. He takes hydrochlorothiazide and atorvastatin. He has smoked one pack of cigarettes daily for 15 years. He does not use alcohol or illicit drugs. Which of the following is the most likely cause of his pain?
Slipped femoral epiphysis
Paget's disease
Peripheral vascular disease
Trochanteric bursitis
Hip osteoarthritis
137) A 65-year-old male is being evaluated for hip pain. The pain has been present for several months and is constant. He denies any weight loss or loss of appetite. His past medical history is significant only for high blood pressure. His temperature is 37.2°C (98.9°F), blood pressure is 150/88 mm Hg, pulse is 80/min and respirations are 12/min. Physical examination is unremarkable. Laboratory studies show: Alkaline phosphatase Elevated, Gamma glutamyl transferase Normal, Serum calcium Normal, 25, (OH)2 vitamin D Normal. Bone scan shows increased uptake in several spots. This patient is at the highest risk of developing?
Subarachnoid hemorrhage
Renal cell carcinoma
Carpal tunnel syndrome
Pulmonary hemorrhage
Hearing loss
138) A 25-year-old motorcyclist is brought to the emergency department after being involved in a collision with an automobile. On arrival he is in obvious pain. He expresses an urge to void, but is unable to do so. Genital examination shows blood at the urethral meatus and a scrotal hematoma. Rectal examination reveals a high-riding prostate. Abdominal examination is suggestive of a distended bladder. Which of the following is the most likely diagnosis?
Urethral injury
Intraperitoneal bladder rupture
Extraperitoneal bladder injury
Fracture of penis
Renal injury
1) A 50-year-old patient presents with symptomatic nephrolithiasis. He reports that he underwent a jejunoileal bypass for morbid obesity when he was 39. Which of the following is a complication of jejunoileal bypass?
Pseudohyperparathyroidism
Hungry bone syndrome
Hyperuric aciduria
Hyperoxaluria
Sporadic unicameral bone cysts
2) A 75-year-old man slips and falls at home, hitting his right chest wall against the kitchen counter. He has an area of exquisite pain to direct palpation over the seventh rib, at the level of the anterior axillary line. A chest x-ray film confirms the presence of a rib fracture, with no other abnormal findings. Which of the following is the most appropriate initial step in management?
Supplemental oxygen to compensate for hypoventilation
Binding of the chest to limit motion
Systemic narcotic analgesics
Intercostal nerve block to minimize pain
Open reduction and internal fixation to accelerate healing
3) A 71-year-old woman is brought to the physician by her distressed daughter. The daughter relates that, 3 days ago, her mother began to complain of right upper quadrant abdominal pain. She did not want to eat and "took to her bed sick." The daughter recalls that she complained of chills, nausea, and some vomiting. Physical examination reveals an obtunded, hypotensive, and obviously very sick elderly woman. She has impressive pain to deep palpation in the right upper quadrant, along with muscle guarding and rebound. Her temperature is 40C (104F), and laboratory analysis shows a white cell count of 22,000/mm3 with multiple immature forms, a bilirubin of 5 mg/dL and alkaline phosphatase of 840 U/L. The serum amylase is normal. An emergency sonogram shows multiple stones in the gallbladder, normal thickness of the gallbladder wall without pericholecystic fluid, dilated intrahepatic ducts, and common duct with a diameter of 2.1 cm. The sonographer cannot identify stones in the common duct. In addition to IV fluids and antibiotics, which of the following is the most appropriate next step in management?
Elective cholecystectomy
Emergency decompression of the common duct
Emergency cholecystectomy
Emergency surgical exploration of the common duct
Emergency transhepatic cholecystostomy
4) A 54-year-old man, who 5 years ago underwent a laparotomy for a gunshot wound to the abdomen, is admitted to the hospital because of protracted vomiting and progressive abdominal distention. The symptoms began 5 days earlier, and since then he has not had a bowel movement or passed any gas. At the time of hospitalization, he has hyperactive bowel sounds and some abdominal discomfort, but does not have an acute abdomen. His abdominal x-ray films show dilated loops of small bowel, multiple air-fluid levels, and no free air under the diaphragms. He is placed on nasogastric suction and IV fluids. After 6 hours, he develops fever, leukocytosis, abdominal tenderness, and rebound tenderness, and his abdomen is silent. Which of the following is the most appropriate next step in management?
Add antibiotics
CT scan of the abdomen
Barium tag and serial abdominal x-ray films
Upper gastrointestinal endoscopy and introduction of a long intestinal tube
Emergency exploratory laparotomy
5) A 3-year-old boy is brought to the emergency room after spilling bleach onto his lower extremities. He is diagnosed with a chemical burn and all involved clothing are removed. In addition to resuscitation, which of the following is the most appropriate initial management of this patient?
Treatment of the burn wound with antimicrobial agents
Neutralize the burn wound with weak acids.
Lavage of the burn wound with large volumes of water
Wound debridement in the operating room
Treatment of the burn wound with calcium gluconate gel.
6)Following a weekend of snowmobiling, a 42-year-old man comes to the emergency department with pain, numbness, and discoloration of his right forefoot. You diagnose frostbite. Which of the following is the proper initial treatment?
Debridement of the affected part followed by silver sulfadiazine dressings
Administration of corticosteroids
Administration of vasodilators
Rewarming of the affected part at room temperature
Immersion of the affected part in water at 40 C-44 C (104 F-111.2 F)
7) A 40-year-old woman complains of mild, intermittent pain and paresthesias in her right wrist. She reports the pain is worse at night and with driving. On physical examination hyperflexion of the right wrist reproduces the paresthesia. With regard to her diagnosis, which of the following is the most appropriate initial treatment?
Ice pack to the affected wrist at nighttime
Heat pad to the affected wrist at nighttime
Wrist splint worn at nighttime
Surgical treatment with division of the flexor retinaculum
Surgical treatment with division of the extensor retinaculum
8) A 19-year-old man receives un-cross-matched blood during resuscitation after a gunshot wound to the abdomen. He develops fever, tachycardia, and oliguria during the transfusion and is diagnosed as having a hemolytic reaction. Which of the following is the most appropriate next step in the management of this patient?
Administration of a loop diuretic such as furosemide
Acidifying the urine to prevent hemoglobin precipitation in the renal tubules
Treating anuria with fluid and potassium replacement
Removing foreign bodies, such as Foley catheters, which may cause hemorrhagic complications
Stopping the transfusion immediately
9) A 64-year-old man with history of severe emphysema is admitted for hematemesis. The bleeding ceases soon after admission, but the patient becomes confused and agitated. Arterial blood gases are as follows: pH 7.23; PO2 42 mm Hg; PCO2 75 mm Hg. Which of the following is the best initial therapy for this patient?
Correct hypoxemia with high-flow nasal O2
Administer 10 mg intravenous dexamethasone
Correct acidosis with sodium bicarbonate
Administer 2 mg intravenous Ativan
Intubate the patient
10) A 16-year-old adolescent boy with a history of severe hemophilia A is undergoing an elective inguinal hernia repair. Which of the following is the best option for preventing or treating a bleeding complication in the setting of this disease?
Fresh-frozen plasma
DDAVP
Combination of desmopressin and fresh-frozen plasma
Factor IX concentrate
Combination of ε-aminocaproic acid and desmopressin
11) A 23-year-old woman undergoes total thyroidectomy for carcinoma of the thyroid gland. On the second postoperative day, she begins to complain of a tingling sensation in her hands. She appears quite anxious and later complains of muscle cramps. Which of the following is the most appropriate initial management strategy?
10 mL of 10% magnesium sulfate intravenously
Oral vitamin D
100 μg oral Synthroid
Continuous infusion of calcium gluconate
Oral calcium gluconate
12) A 24-year-old firefighter sustains 30% total body surface area (TBSA) burns to his torso, face, and extremities. His wounds are treated topically with silver nitrate. Which of the following complications is associated with use of this agent?
Hypernatremia
Metabolic acidosis
Hyperchloremia
Neutropenia
Hyponatremia
13) A 22-year-old man sustains severe blunt trauma to the back. He notes that he cannot move his lower extremities. He is hypotensive and bradycardic. Which of the following is the best initial management of the patient?
Administration of phenylephrine
Administration of dopamine
Administration of epinephrine
Intravenous fluid bolus
Placement of a transcutaneous pacer
14) A 14-year-old boy presents in the emergency department with very severe pain of sudden onset in his right testicle. There is no history of either trauma or recent mumps. He is afebrile, and a urinalysis shows no pyuria. The testis is swollen, exquisitely painful, high in the scrotum, and riding in a horizontal position. The cord above the testis is not tender. Which of the following is the most appropriate next step in management?
Ice packs, analgesics, and careful observation
Sonogram of the testicle
IV antibiotics
Testicular biopsy
Emergency surgery
15) A 59-year-old man with a history of myocardial infarction 2 years ago undergoes an uneventful aortobifemoral bypass graft for aortoiliac occlusive disease. Six hours later he develops ST segment depression, and a 12-lead electrocardiogram (ECG) shows anterolateral ischemia. His hemodynamic parameters are as follows: systemic BP 70/40 mm Hg, pulse 100 beats per minute, CVP 18 mm Hg, PCWP 25 mm Hg, cardiac output 1.5 L/min, and systemic vascular resistance 1000 (dynes)/cm5. Which of the following is the single best pharmacologic intervention for this patient?
Sublingual nitroglycerin
A short-acting β-blocker
Intravenous nitroglycerin
Sodium nitroprusside
Dobutamine
16) A 56-year-old man undergoes a left upper lobectomy. An epidural catheter is inserted for postoperative pain relief. Ninety minutes after the first dose of epidural morphine, the patient complains of itching and becomes increasingly somnolent. Blood-gas measurement reveals the following: pH 7.24, PaCO2 58, PaO2 100, and HCO3− 28. Which of the following is the most appropriate initial therapy for this patient?
Endotracheal intubation
Epidural naloxone
Intramuscular diphenhydramine (Benadryl)
Intravenous naloxone
Alternative analgesia
17) A cirrhotic patient with abnormal coagulation studies due to hepatic synthetic dysfunction requires an urgent cholecystectomy. A transfusion of FFP is planned to minimize the risk of bleeding due to surgery. What is the optimal timing of this transfusion?
The day before surgery
On call to surgery
The night before surgery
Intraoperatively
In the recovery room
18) Ten days after an exploratory laparotomy and lysis of adhesions, a patient, who previously underwent a low anterior resection for rectal cancer followed by postoperative chemoradiation, is noted to have succus draining from the wound. She appears to have adequate source control—she is afebrile with a normal white blood count. The output from the fistula is approximately 150 cc per day. Which of the following factors is most likely to prevent closure of the enterocutaneous fistula?
Previous radiation
Previous chemotherapy
Recent surgery
History of malignancy
More than 100-cc output per day
19) A 45-year-old woman undergoes an uneventful laparoscopic cholecystectomy for which she receives 1 dose of cephalosporin. One week later, she returns to the emergency room with fever, nausea, and copious diarrhea and is suspected of having pseudomembranous colitis. She is afebrile and has no peritoneal signs on abdominal examination. She has a mild leukocytosis with a left shift. Which of the following is the appropriate initial management strategy?
Administration of an antidiarrheal agent
Exploratory laparotomy with left hemi-colectomy and colostomy
Exploratory laparotomy with subtotal abdominal colectomy and ileostomy
Administration of intravenous vancomycin
Administration of oral metronidazole
20) An 18-year-old woman develops urticaria and wheezing after an injection of intravenous contrast for an abdominal CT scan. Her blood pressure is 120/60 mm Hg, heart rate is 155 beats per minute and respiratory rate is 30 breaths per minute. Which of the following is the most appropriate immediate therapy?
Intubation
Epinephrine
β-Blockers
Iodine
Fluid challenge
21) A patient involved in a high-speed automobile collision arrives in the emergency department unconscious, with multiple facial fractures; brisk bleeding into his nose, mouth, and throat; and gurgly, irregular, noisy breathing. Which of the following would be the best method to secure an airway in this patient?
Nasotracheal intubation with visualization of the cords
Percutaneous transtracheal ventilation
Orotracheal intubation with rapid anesthetic induction
Cricothyroidotomy done in the emergency department
Emergency tracheostomy done in the emergency department
22) A 22-year-old woman is involved in a major motor vehicle accident and receives a tracheostomy during her hospitalization. Five days after placement of the tracheostomy she has some minor bleeding around the tracheostomy site. Which of the following is the most appropriate immediate therapy?
Removal of tracheostomy at bedside.
Exchange the tracheostomy at bedside
Exchange the tracheostomy in the operating room
Bronchoscopic evaluation of the trachea in the operating room.
Bronchoscopic evaluation of the trachea at bedside.
23) A 33-year-old woman is brought to the emergency room from the scene of a severe motor vehicle accident. She is combative, confused, uncooperative, and appear dusky and dyspneic. Which of the following is the most appropriate management of her airway?
Awake endotracheal intubation is indicated in patients with penetrating ocular injury.
Steroids have been shown to be of value in the treatment of aspiration of acidic gastric secretions
The stomach may be assumed to be empty only if a history is obtained indicating no ingestion of food or liquid during the prior 8 hours.
Cricothyroidotomy is contraindicated in the presence of maxillofacial injuries.
Intubation should be performed as soon as possible (in the emergency room) if the patient is unstable.
24) A 42-year-old man who was in a house fire is transferred to your burn unit. He has singed nose hairs and facial burns. Direct laryngoscopy in the emergency room demonstrates pharyngeal edema and mucosal sloughing. He has 60% total body surface area burns. Which of the following is the next step in the management of this patient?
Hyperbaric oxygen
Intravenous steroids
Inhaled steroids
Bronchoscopy
Intubation
25) A 24-year-old man presents in septic shock from an empyema. He is febrile to 103°F, tachycardic in the 120s, and hypotensive to the 90s. His oxygen saturation is 98% on 2-L oxygen. His white blood cell count is 25,000/mL and creatinine is 0.8 mg/dL. His blood pressure does not respond to fluid administration despite a CVP of 15. Which of the following therapies is indicated in managing this patient?
Intubation
Recombinant human activated protein C
Epinephrine
Norepinephrine
Dobutamine
26) Shortly after the administration of an inhalational anesthetic and succinylcholine for intubation prior to an elective inguinal hernia repair in a 10-year-old boy, he becomes markedly febrile, displays a tachycardia of 160, and his urine changes color to a dark red. Which of the following is the most appropriate treatment at this time?
Complete the procedure but pretreat with dantrolene prior to future elective surgery
Administer inhalational anesthetic agents
Administer succinylcholine
Hyperventilate with 100% O2.
Acidify the urine to prevent myoglobin precipitation in the renal tubules
27) A 37-year-old woman is brought to the surgical floor after undergoing a routine vaginal hysterectomy that morning. She had been fasting since midnight the night prior to her surgery. She has no past medical history except for uterine fibroids and takes only oral contraceptive pills regularly. During the procedure, she was reported to lose approximately 300 mL of blood. On the floor, she appears well but complains of some fatigue. Her blood pressure is 110/60 mm Hg, and her pulse is 100/min. She is not taking food or water yet because of persistent nausea and vomiting postoperatively. Which of the following is the most appropriate next step in management?
No further intervention
Administer IV crystalloid
Administer IV 25% albumin (colloid)
Transfuse packed red blood cells
Re-explore the patient under anesthesia for possible bleeding
28) A 22-year-old woman is brought to the emergency department after a motorcycle accident in which she sustained severe crush injuries of her lower extremities. In the field, her Glasgow Coma Score was 14. She is awake and alert on arrival after having been given morphine for pain control. Any details of her past medical history are unknown. Initial examination shows a blood pressure of 140/80 mm Hg and pulse of 100/min. Her oxygen saturation on room air is 95% by pulse oximeter. An ECG is obtained and shows very large, peaked T-waves in leads V1-V6. Which of the following is the most appropriate initial step in patient care?
Administer oral sodium polystyrene sulfonate (Kayexalate
Administer IV calcium gluconate
Administer IV bicarbonate
Administer IV insulin and dextrose
Initiate urgent hemodialysis
29) A 32-year-old man undergoes a distal pancreatectomy, splenectomy, and partial colectomy for a gunshot wound to the left upper quadrant of the abdomen. One week later he develops a shaking chill in conjunction with a temperature spike of 39.4°C (103°F). His blood pressure is 70/40 mm Hg, pulse is 140 beats per minute and respiratory rate is 45 breaths per minute. He is transferred to the intensive care unit (ICU), where he is intubated and a Swan-Ganz catheter is placed. Which of the following is consistent with the expected initial Swan-Ganz catheter readings?
An increase in cardiac output
An increase in peripheral vascular resistance
An increase in pulmonary artery pressure
An increase in PCWP
An increase in central venous pressure
30) A 72-year-old man has multiple injuries and an altered sensorium after a high-speed motor vehicle collision. He is intubated for his decreased mental status. During intubation, a large amount of gastric contents are noted in the posterior pharynx and he aspirates. Which of the following is the appropriate initial treatment?
Bronchoscopy for aspiration of particulate matter
Steroids
Prophylactic antibiotics
Inhaled nitric oxide
High positive end-expiratory pressure
31) A 50-year-old woman with a history of essential hypertension presents to the emergency department with sudden onset of a severe headache, nausea and vomiting, and photophobia. On examination, her BP is 160/100 mmHg. She is mildly confused and has nuchal rigidity, without focal neurologic signs. Once the diagnosis has been confirmed, Rupture cerebral aneurysm, which of the following is the next most important step in patient management?
Admission to the ICU, close monitoring, and aggressive treatment of hypertension
Urgent surgical intervention with aneurysm clipping
Admission to the ICU, close monitoring, and IV antibiotics
Serial lumbar punctures to drain cerebrospinal fluid (CSF)
Anticoagulation and antiplatelet therapy
32) A 22-year-old gang member arrives in the emergency department with multiple gunshot wounds to the chest and abdomen. He has labored breathing and is cyanotic, diaphoretic, cold, and shivering. He is wide awake, and in a normal tone of voice he tells everyone that he is going to die. An initial survey reveals a blood pressure of 60/40 mm Hg. His pulse is 150/min and barely perceptible. He is in obvious respiratory distress and has big distended veins in his neck and forehead. His trachea is deviated to the left, and the right side of his chest is hyperresonant to percussion, with no breath sounds. Which of the following is the most appropriate initial step in management?
Emergency blood gases
Immediate chest x-ray films
Awake endotracheal intubation
A 16-gauge needle inserted in the second right intercostal space
Pericardiocentesis
33) On the 5th postoperative day after abdominal surgery, a patient has been draining copious amounts of clear pink fluid from his midline laparotomy wound. A medical student removes the dressing, confirms that it is soaked, and sees a normal-appearing fresh wound with a row of skin staples in place. The student asks the patient to sit up so he can get out of bed and be helped to the treatment room for a more thorough examination. When the patient complies, the wound opens widely, and a handful of small bowel suddenly rushes out. Which of the following is the most appropriate management at this time?
Cover the bowel with dry sterile dressings and schedule urgent surgical closure
Take the patient to the treatment room and suture the skin edges together
Cover the bowel with sterile dressings soaked in warm saline and rush the patient to the operating room
Wearing sterile gloves, push the bowel back in and tape the wound securely
Irrigate the bowel with cold antiseptic solutions while awaiting urgent surgical closure
34) Several days following esophagectomy, a patient complains of dyspnea and chest tightness. A large pleural effusion is noted on chest radiograph, and thoracentesis yields milky fluid consistent with chyle. Which of the following is the most appropriate initial management of this patient?
Immediate operation to repair the thoracic duct
Immediate operation to ligate the thoracic duct
Tube thoracostomy and low-fat diet
Observation and low-fat diet
Observation and antibiotics
35) A 16-year-old girl with a history of ulcerative colitis managed with steroid therapy presents to the emergency department with a 36-hour history of nausea, crampy abdominal pain, and severe bloody diarrhea. On examination, the patient is febrile and pale, with a blood pressure of 90/60 mmHg and heart rate of 130 beats/min. Her abdomen is distended and diffusely tender. A complete blood count (CBC) demonstrates a leukocytosis with a left shift. The patient receives IV fluid resuscitation and nasogastric (NG) tube decompression. Further therapeutic interventions should include which one of the following?
6-mercaptopurine
Azathioprine
. Opioid antidiarrheals
Colonoscopic decompression
High-dose IV steroids and broad-spectrum antibiotics
36) A severely traumatized woman is seen in the emergency room (ER) with decreased mental status. Prior to intubation, she does not open her eyes, withdraws with all of her extremities, and makes incomprehensible sounds. What is her Glasgow coma scale score?
3
4
6
5
7
37) A 25-year-old woman was involved in a motor vehicle crash and sustained a significant closed-head injury, a pulmonary contusion, and a pelvic fracture. She is unresponsive and is ventilated in the intensive care unit (ICU). Which of the following is the best initial approach to the management of this patient’s nutritional needs?
Insertion of a subclavian venous catheter and initiation of central IV hyperalimentation
Early institution of NG or nasojejunal tube feeding with an elemental formulation
Wait for extubation and improvement of neurologic status, allowing institution of an oral caloric intake
Wait for resolution of the associated gastrointestinal ileus, followed by delayed initiation of NG tube feeding with a complex hypercaloric formulation
Peripheral IV hyperalimentation
38) A young mother is at the pediatrician's office for a routine well-baby visit for her 18-month-old son. It is immediately noticed that one of the baby's pupils is white, while the other one is black. When asked about it, the mother relates that she saw that curious situation for the first time 1 week ago, but since the baby was otherwise asymptomatic, she did not think it merited special attention. Which of the following is the most appropriate course of action?
Do nothing, this is a normal anatomic variant
Seek an emergency ophthalmologic consultation for possible retinoblastoma
Inquire if the father is an albino, and do appropriate genetic counseling
Treat the child with antibacterial eye drops and re-check in 2 weeks
Seek an ophthalmologic consultation for suspected congenital cataract
39) A 70-year-old man is admitted to the ICU after repair of an abdominal aortic aneurysm. He has a prior history of hypertension and mild congestive heart failure, which were adequately controlled with digoxin and diuretics. To facilitate perioperative management, a Swan-Ganz (multilumen pulmonary artery) catheter was inserted in the operating room. During the first few hours postoperatively, the patient is noted to have a blood pressure of 140/70 mmHg, heart rate of 110/min, flat neck veins, a pulmonary arterial wedge pressure of 9 mmHg, and poor urine output. Which of the following is the most appropriate next step in management of this patient?
IV furosemide
A bolus of IV crystalloid
A dopamine infusion
A nitroprusside infusion
IV digoxin administration
40) The left ureter is partially transected (50% of circumference) during the course of a difficult operation on an unstable, critically ill patient. Which of the following would be the most appropriate management of this injury given the patient’s unstable condition?
Placement of an external stent through the proximal ureteral stump with delayed reconstruction
Placement of a catheter from the distal ureter through an abdominal wall stab wound
Ipsilateral nephrectomy
Placement of a closed-suction drain adjacent to the injury
Bringing the proximal ureter up to the skin as a ureterostomy
41) A 65-year-old man presents to the emergency department with an abrupt onset of excruciating chest pain 1 hour ago. The pain is localized to the anterior chest, but radiates to the back and neck. On examination, the patient is afebrile, with a BP of 210/110 mmHg, pulse rate of 95/min, and a respiratory rate of 12/min. He appears pale and sweaty. Unequal carotid, radial, and femoral pulses are noted. An electrocardiogram (ECG) shows nonspecific ST-T segment changes. Chest x-ray shows a slightly widened mediastinum and normal lung field. Which of the following is the first step in management of this patient?
Treatment with thrombolytic agents
Systemic anticoagulation
Control of hypertension
Placement of an intra-aortic balloon pump
Immediate operation
42) A 26-year-old previously healthy man was pinned under a crane at a construction site. After a prolonged extrication, he was brought to the emergency department, immobilized on a back board and receiving 100% oxygen by mask. He is alert and complaining of chest pain with respiratory effort. On examination, he is found to have an oxygen saturation of 90% by pulse oximetry, shallow respirations at a respiratory rate of 35/min, heart rate of 120 beats/min, and a blood pressure of 85/60 mmHg. The trachea is deviated to the right. There is tenderness and crepitation over the left chest wall, asymmetric chest wall movement, and decreased air entry over the left lung field. Which of the following is the most appropriate next step in the initial evaluation and management of this patient?
Fluid resuscitation with 2 L of isotonic crystalloid
Needle decompression of the left chest, followed by insertion of a chest tube
. Portable chest x-ray
Immediate intubation and assisted ventilation
Emergency department thoracotomy
43) A 13-year-old boy is brought to the emergency department at midnight with a 4-hour history of right scrotal pain that was sudden in onset and associated with nausea and one episode of vomiting. On examination, he is in obvious distress. He has mild right lower abdominal tenderness, and high-riding, tender right testes. CBC and urinalysis are normal. Which of the following is the most appropriate next step in management?
Admit the patient to the hospital and place him on bed rest
Analgesics and a scrotal support
Antibiotic therapy
Schedule a testicular isotope scan
Urgent surgical exploration
44) A 75-year-old man is brought to the emergency department for severe pain in the left flank and back of 1 hour duration. He has a prior history of a myocardial infarction and coronary artery bypass grafting 8 years ago. On examination, he is found to have a BP of 80/50 mmHg, pulse rate of 110/min, respiratory rate of 15/min, and a pulsatile, tenderabdominal mass. He has had two large-bore IV lines placed by the paramedics. He is alert and oriented, and gives consent for surgery. Which of the following is the most appropriate next step in management of this patient?
Immediate consultation with cardiology to assess cardiac risk for surgery, followed by transfer to the operating room
Resuscitation in the emergency department with IV fluids, transfer to radiology for a CT scan to assess for the location and degree of rupture, followed by transfer to the operating room
Resuscitation in the emergency department with IV fluids to achieve a systolic BP greater than 100, followed by transfer to the operating room
Immediate transfer to the operating room with concomitant resuscitation and laparotomy
Resuscitation in the emergency department with IV fluids, transfer to radiology for immediate aortic angiogram for assessment of the location of the rupture, followed by transfer to the operating room
45) A 14-year-old boy dives into the shallow end of a swimming pool and hits his head against the bottom. When he is rescued, he shows a complete lack of neurologic function below the neck. He is still breathing on his own, but he cannot move or feel his arms and legs. The paramedics carefully immobilize his neck for transportation to the hospital, and they alert the emergency department to his impending arrival. Once there, which of the following would most likely have an immediate benefit for this patient?
Hyperbaric oxygenation
IV antibiotics
IV high-dose corticosteroids
Massive diuresis induced by loop diuretics
Surgical decompression of the cord
46) A 61-year-old man comes in because of colicky abdominal pain and vomiting of 3 days' duration. On physical examination, he is moderately distended and has high pitched hyperactive bowel sounds and a 5-cm tender groin mass. On direct questioning, he explains that he has had that bulge for many years, but has always been able to "push it back in" when he lies down. For the past 3 days, however, he has been unable to do so. He has a temperature of 38.9C (102F) and a white blood cell count of 12,500/mm3. Which of the following is the most appropriate management at this time?
A sonogram of the mass
A trial of nasogastric suction and IV fluids for a few days
Insertion of a long rectal tube via sigmoidoscopy
Manual reduction of the hernia, followed by a period of observation
Urgent surgical intervention
47) In a rollover car accident, a 42-year-old woman is thrown from the car. The car subsequently lands on her and crushes her. On physical examination in the emergency department, it is determined that she has a pelvic fracture, which is confirmed by portable x-rays done as she is being resuscitated. Her initial blood pressure is 50/30 mm Hg, and her pulse is 160/min and barely perceptible. Thirty minutes later, after 2 L Ringer's lactate and 2 U packed cells have been infused, her pressure is only 70/50 mm Hg, and her pulse is 130/min. A sonogram done in the emergency department shows no intra-abdominal bleeding, and a diagnostic peritoneal lavage confirms that there is no blood in the abdomen (the recovered fluid is pink, but not grossly bloody). Rectal and vaginal exams show no injuries to those organs. There is no blood in her urine. Which of the following is the most appropriate next step in management?
Packing of the vagina and rectum
Angiographic embolization of torn veins
External fixation of the pelvis
Open reduction and internal fixation of the pelvis
Exploratory laparotomy with pelvic dissection and hemostasis
48) A 34-year-old man is brought to the emergency department after being rescued from a burning building. His temperature is 36.90C (98.60 F), blood pressure is 90/60 mm Hg, pulse is 100/min and respirations are 28/min. Examination shows second and third degree burns over 15% of his body. His oropharynx shows erythema and scattered blisters. His lungs are clear to auscultation and his abdomen is soft and nondistended. His blood carboxyhemoglobin concentration is 20%. Which of the following is the best management for this patient?
High-dose corticosteroids
Endotracheal intubation
Broad-spectrum antibiotics
Fluid restriction
Acetylcysteine inhalation
49) A 28-year-old man is brought to the emergency department 4 hours after being involved in a motor vehicle collision. His blood pressure is 90/50 mm Hg, pulse is 120/min and respirations are 30/min. Examination shows a stuporous man with bruises over his extremities and upper abdomen. His trachea is midline and his neck veins are flat. His abdomen is moderately distended but non-tender. Immediately after being intubated and placed on mechanical ventilation he goes into cardiac arrest. Which of the following could have prevented cardiac arrest in this patient?
High initial tidal volume
Positive end-expiratory pressure
Volume resuscitation
Chest tube placement
Pain management
50) A 28-year-old male is brought to the emergency department after being an unrestrained passenger in a motor vehicle collision. In the ambulance on his way to the hospital, he receives 2 liters of normal saline intravenously and 5 Umin of oxygen by nasal cannula. On physical examination, his blood pressure is 100/70 mmHg, heart rate is 120/min, and respiratory rate is 40/min. He is agitated and moves all four extremities spontaneously. His pupils are symmetric and reactive to light. His neck veins are distended, and his trachea is deviated to the right. Which of the following is the best initial management for this patient?
Immediate chest x-ray to confirm pneumothorax
Immediate ultrasound exam to confirm pleural fluid accumulation
Immediate endotracheal intubation to establish an adequate airway
X-ray series to exclude cervical spine injury
Needle insertion into the second intercostal space in the left mid-clavicular line
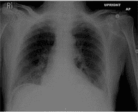
51) A 62-year-old man presents to the emergency department (ED) with one hour of severe epigastric pain. He has been having some epigastric pain exacerbated by eating for the last several days. He feels nauseous, and has vomited once since the pain began. His past medical history is significant for hypertension, diabetes, hyperlipidemia, and coronary artery disease. He underwent coronary bypass surgery one year back. His current medications are simvastatin, aspirin, clopidogrel, metoprolol, enalapril and metformin. His blood pressure is 140/ 100 mmHg, and heart rate is 65/min. His ECG is normal. Chest x-ray findings are shown on the slide below. Which of the following is the best step in the management of this patient?

Transthoracic echocardiography
Nothing by mouth (NPO) and gastric suction
Mesenteric angiography
Abdominal CT scan
Immediate surgical evaluation
52) A 23-year-old man is brought to the emergency department after being involved in a motor vehicle collision. He has multiple organ injuries and is listed in critical condition. Physical examination shows an open wound in the right lower extremity and significant blood loss. He is in hypovolemic shock. Which of the following is the first parameter to change in hypovolemic shock?
Systolic blood pressure
Pulse rate
Level of consciousness
Respiratory rate
Skin vasoconstriction
53) A 25-year-old man is brought to the emergency department after falling 12m (40ft) from a ladder. He is unconscious. Examination shows obvious head and neck injuries, and a fractured forearm. He is totally apneic. Which of the following would be the best method to establish an immediate definitive airway in this patient?
Nasotracheal intubation
Orotracheal intubation
Needle cricothyroidectomy
Intubation over a fiberoptic bronchoscope
Surgical tracheostomy
54) A 35-year-old previously healthy male comes to the emergency department because of a 4-hour history of severe abdominal pain. The pain had initially started in the periumbilical area but has now shifted to the right lower quadrant. He also felt nauseated and vomited twice. He has had no previous surgeries. His temperature is 38.9C (102F), blood pressure is 125/80 mm Hg, pulse is 100/min and respirations are 20/min. Examination shows tenderness in the right lower quadrant. Palpation of the left lower quadrant produces pain in the right lower quadrant. Urinalysis is negative. Which of the following is the most appropriate next step in management?
Ultrasound of the abdomen
CT scan of the abdomen
Conservative management
Immediate surgery
Colonoscopy
55) A 22-year-old man involved in a motor vehicle collision undergoes a prolonged operation to repair a left femur fracture and femoral artery injury. During the first night after surgery he has pain in the left leg. Despite adequate narcotics, his pain is unremitting; the pain is worse with passive leg movement. Examination shows a pale and swollen leg that is tender to the touch; pulses are palpable. Which of the following is the most appropriate next step in management?
Increase the dose of narcotics
Elevate the leg and place ice packs
Get an x-ray to make sure the femur fracture is not displaced
Go back to the operating room
Go to ICU
56) A 4-year-old boy is brought into the emergency room by his parents for difficulty in breathing and swallowing. On physical examination the child is febrile, tachycardic, and tachypneic. He is anxious, drooling, and becomes increasingly exhausted while struggling to breathe. A lateral cervical spine radiograph is shown here. Which of the following is the most appropriate management of this patient?

Examine the larynx at bedside
IV antibiotics and admission to the floor
Immediate endotracheal intubation in the emergency room
Immediate endotracheal intubation in the operating room
Immediate tracheostomy in the operating room
57) A 27-year-old man sustains a single gunshot wound to the left thigh. In the ER, he is noted to have a large hematoma of his medial thigh. He complains of paresthesias in his left foot. On examination, there are weak pulses palpable distal to the injury and the patient is unable to move his foot. Which of the following is the most appropriate initial management of this patient?
Angiography
Fasciotomy of the anterior compartment of the calf
Immediate exploration and repair in the operating room
Observation for resolution of spasm
Local wound exploration at the bedside
58) A 25-year-old woman arrives in the ER following an automobile accident. She is acutely dyspneic with a respiratory rate of 60 breaths per minute. Breath sounds are markedly diminished on the right side. Which of the following is the best first step in the management of this patient?
Take a chest x-ray.
Draw arterial blood for blood-gas determination
Decompress the right pleural space
Perform pericardiocentesis
Administer intravenous fluids
59) A 75-year-old man with a history of coronary artery disease, hypertension, and diabetes mellitus undergoes a right hemicolectomy for colon cancer. On the second postoperative day, he complains of shortness of breath and chest pain. He becomes hypotensive with depressed mental status and is immediately transferred to the intensive care unit. After intubation and placement on mechanical ventilation, an echocardiogram confirms cardiogenic shock. A central venous catheter is placed that demonstrates a central venous pressure of 18 mm Hg. Which of the following is the most appropriate initial management strategy?
Additional liter fluid bolus
Inotropic support
Mechanical circulatory support with intra-aortic balloon pump (IABP)
Cardiac catheterization
Heart transplant
60) A 27-year-old man presents to the ER after a high-speed motor vehicle collision with chest pain and marked respiratory distress. On physical examination, he is hypotensive with distended neck veins and absence of breath sounds in the left chest. Which of the following is the proper initial treatment?
Intubation
Chest x-ray
Pericardiocentesis
Chest decompression with a needle
Emergent thoracotomy
61) A 20-year-old man presents after being punched in the right eye and assaulted to the head. On a facial CT scan, he is noted to have a blowout fracture of the right orbital floor. Which of the following findings mandates immediate surgical intervention?
A fracture 25% of the orbital floor
1 mm of enophthalmos
Periorbital ecchymosis
Inability to move the right eye upward
Traumatic optic neuropathy 62)
62) A 33-year-old woman is seen in the ER with severe rectal bleeding. She has a history of ulcerative colitis. Her blood pressure is 78/56 mm Hg, her pulse is 144, and she is pale and clammy. Which of the following responses is likely to occur after administration of Ringer lactate solution?
Increase in serum lactate concentration
Increase in metabolic acidosis
Impairment of liver function
Increase in the need for blood transfusion
Improvement in hemodynamics by alleviating the deficit in the interstitial fluid compartment
63) A 4-week-old male infant presents with projectile, nonbilious emesis. Ultrasound of the abdomen reveals a pyloric muscle thickness of 8 mm (normal 3-4 mm). Which of the following is the best initial management of this patient?
Urgent pyloromyotomy
Urgent gastroduodenostomy
Urgent pyloroplasty
Fluid hydration and correction of electrolyte abnormalities prior to operative management
Administration of sodium bicarbonate to correct aciduria prior to operative management
64) A 1-month-old female infant presents with persistent jaundice. A serum direct bilirubin is 4.0 mg/dL and an ultrasound of the abdomen shows a shrunken gallbladder and inability to visualize the extrahepatic bile ducts. Which of the following is the most appropriate initial management of this patient?
NPO and total parenteral nutrition
IV antibiotics
Oral choleretic bile salts
Exploratory laparotomy
Oral choleretic bile salts
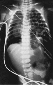
65) A full-term male newborn experiences respiratory distress immediately after birth. A prenatal sonogram was read as normal. An emergency radiograph is shown here. The patient is intubated and placed on 100% O2. Arterial blood gases reveal pH 7.24, PO2 60 kPa, and PCO2 52 kPa. The baby has sternal retractions and a scaphoid abdomen. Which of the following should be performed in the management of this patient?

Administration of intravenous steroids
Placement of bilateral tube thoracostomies
Immediate thoracotomy with lung resection
Immediate laparotomy with repair of the diaphragm
Mechanical ventilation with low tidal volumes
66) A 10-year-old girl is the unrestrained backseat passenger in a high-speed motor vehicle collision. She is intubated in the field for unresponsiveness and on presentation to the ER, her heart rate is 160 beats per minute, and her blood pressure is 60/35 mm Hg. She weighs 30 kg. Which of the following is the most appropriate recommendation for her fluid resuscitation?
Bolus 1 L of normal saline initially.
Bolus 1 L of 5% albumin initially.
Transfuse 300 cc of packed RBCs initially.
Bolus 600 cc of normal saline initially. Transfuse if no response.
Bolus 600 cc of normal saline initially followed by a repeat bolus. Transfuse if no response
67) A 21-year-old woman sustains a stab wound to the middle of the chest. Upon arrival to the ER she has equal breath sounds, blood pressure of 85/46 mm Hg, distended neck veins, and pulsus paradoxus. Which of the following is the most appropriate management of this patient?
Emergent intubation and mechanical ventilation in the ER
Emergent pericardiocentesis in the ER
Emergent thoracotomy in the ER
Emergent pericardiocentesis or subxiphoid pericardial drainage under local anesthesia in the operating room
Emergent pericardiocentesis or subxiphoid pericardial drainage after anesthetic induction in the operating room
68)A 58-year-old man presents to the ER after falling 10 ft from a ladder. Examination reveals stablevital signs, no evidence of respiratory distress, and multiple right-sided rib fractures. Chest x-ray shows a hemothorax on the right side and a right tube thoracostomy is performed in the ER. Approximately 700 mL of blood is immediately drained with placement of the thoracostomy tube. Over the next 4 hours he continues to drain 300 mL/h after the original evacuation. Which of the following is the definitive treatment for this patient?
Platelets
Fresh-frozen plasma
Second tube thoracostomy
Thoracotomy in the operating room
Thoracotomy in the ER
69)A 25-year-old man is brought to the emergency department by ambulance after falling from a ladderfor 12 m (40 ft). He was placed on a backboard for spinal stabilization. Intravenous access was obtained en route, and infusion of crystalloids was initiated. The patient is comatose on arrival to the emergency department. Examination shows facial lacerations, a depressed skull fracture, and a forearm fracture. In the emergency department, his blood pressure is 92/45 mm Hg, pulse is 127/min, and respirations are 6/min. His pulse oximetry shows 86% on 40% facemask oxygen. Which of the following is the most appropriate next step in management?
Laryngeal mask placement and manual bagging
Nasotracheal intubation
Needle cricothyroidotomy
Orotracheal intubation
Surgical tracheostomy
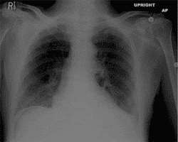
70)A 62-year-old man presents to the emergency department (ED) with one hour of severe epigastricpain. He has been having some epigastric pain exacerbated by eating for the last several days. He feels nauseated, and has vomited once since the pain began. His past medical history is significant for hypertension, diabetes, hyperlipidemia, and coronary artery disease. He underwent coronary bypass surgery one year back. His current medications are simvastatin, aspirin, clopidogrel, metoprolol, enalapril and metformin. His blood pressure is 140/100 mmHg, and heart rate is 65/min. His ECG is normal. Chest x-ray findings are shown on the slide below. Which of the following is the best step in the management of this patient?

Transthoracic echocardiography
Mesenteric angiography
Nothing by mouth (NPO) and gastric suction
Abdominal CT scan
Immediate surgical evaluation
71) A 42-year-old man is found unconscious at the scene of a motor vehicle collision. He is rushed to the emergency department, where his blood pressure is found to be 70/40 mm Hg and his respirations are 32/min. On physical examination, his trachea is deviated to the left and his breath sounds are decreased on the right side. His neck veins are distended bilaterally. The abdomen is soft and non-distended. There is significant swelling of the right thigh. Which of the following is the most appropriate next step in the management of this patient?
Bedside echocardiography
CT scan of the chest with contrast
Needle thoracostomy
Intubation and mechanical ventilation
Two large bore IV lines and fluid resuscitation
72) A 54-year-old man is brought to the emergency department 10 minutes after being involved in a motor vehicle accident. He was an unrestrained driver and hit a car while speeding on the highway. On arrival to the emergency department, he is spontaneously breathing and noncyanotic. His temperature is 37°C (98.6°F), blood pressure is 104/50 mm Hg, pulse is 122/min, and respirations are 16/min. Examination shows facial lacerations and multiple ecchymoses on the anterior chest and abdomen. He appears obtunded. Which of the following is a component of the Glasgow coma scale (GCS) assessment for this patient?
Capillary refill
Eye opening
Deep tendon reflexes
Gag reflex
Pupillary reaction
1) A 22-year-old man is stabbed in the right chest with a 5-cm-long knife blade. On arrival at the emergency department, he is wide awake and alert. He is speaking with a normal tone of voice but complaining of shortness of breath. The right hemithorax is hyperresonant to percussion and has no breath sounds; the rest of the initial survey is negative. His blood pressure is 110/75 mm Hg, pulse is 86/min, and venous pressure is 3cm H2O. Pulse oximetry shows a saturation of 85%. Which of the following is the most appropriate next step in patient care?
Infusion of 2 L Ringer's lactate
Immediate insertion of a needle into the right pleural space
Securing an airway by orotracheal intubation
Chest x-ray and insertion of a chest tube
Sonographically guided evacuation of the pericardial sac
2) A one-year-old boy is brought to the emergency department with scalds on both the buttocks and thighs. His mother states that the child was burned because she accidentally drew a bath for the child with water that was too hot. She states the injury occurred 2 days ago. On examination, the child is irritable. Second-degree burns are noted on the buttocks, genitalia, waist, proximal thighs and feet. There is an abrupt demarcation between the burned and unaffected skin. A faint yellow patch of discoloration is noted on the left thorax with a slight violaceous hue. The child has not yet had his 1-year vaccinations. Which of the following is the most appropriate next step in management?
Give wound care instructions and send the patient home with analgesics
Admit the patient and do a skeletal survey
Give wound care instructions and advise the mother that she should keep the temperature of the water heater below 140 F to avoid such injuries in future
Ask the mother if the child is being abused
Advise the mother of the suspected abuse, but do not notify authorities because this is a violation of patient confidentiality
3) A 47-year old woman comes to the clinic because of worsening left breast swelling and pain. She had mastitis when she nursed her first child 20 years ago. She has not seen a doctor since that time. She is afebrile. Breast examination shows the left breast is enlarged with a 7 x 6 cm area of edema and erythema. A poorly localized mass without fluctuation is palpated in that area. Scant non-bloody discharge is noted on the nipple, and several large axillary nodes are palpated. Which of the following is the most appropriate next step in management?
Antibiotic active against Streptococci and Staphylococci
Drainage, culture of the drained exudate and treatment depending on the findings of the culture
Culture of the discharge and treatment depending on the findings of the culture
Biopsy for culture and treatment depending on the findings of the culture
Biopsy for histology and treatment depending on the findings of the histology
4) A man involved in a high-speed, head-on automobile collision arrives at the emergency department in a deep coma. His pupils react poorly to light but are of equal size. An airway is placed, and the patient is sent for CT scan of the head with extension to the neck. The study shows no cervical spine fractures, but does reveal a small, crescent-shaped hematoma on the right side, with no deviation of the midline structures. Which of the following is the most appropriate next step in management?
High-dose steroids
Systemic vasodilators and alpha blockers
Hyperventilation, diuretics, and fluid restriction
Surgical evacuation of his epidural hematoma
Surgical evacuation of his subdural hematoma
5) A 19-year-oldgangmemberisshotintheabdomenwith a .38 caliber revolver. The entry wound is in the epigastrium, to the left of the midline. The bullet is lodged in the psoas muscle on the right. He is hemodynamically stable, and the abdomen is moderately tender. Which of the following is the most appropriate next step in diagnosis?
Close clinical observation
Emergency ultrasound
CT scan of the abdomen
Diagnostic peritoneal lavage
Exploratory laparotomy
6) Five days after an uneventful cholecystectomy, an asymptomatic middle-aged woman is found to have a serum sodium level of 125 mEq/L. Which of the following is the most appropriate management strategy for this patient?
Administration of hypertonic saline solution
Restriction of free water
Plasma ultrafiltration
Hemodialysis
Aggressive diuresis with furosemide
7) A 33-year-old woman is undergoing a diagnostic work-up because she appears to have Cushing syndrome. She has elevated levels of cortisol, which are not suppressed when she is given high-dose dexamethasone. ACTH levels are greater than 200 pg/ mL. A chest x-ray film shows a central, 3-cm round mass on the hilum of the right lung. Bronchoscopy and biopsies confirm a diagnosis of small cell carcinoma of the lung. Which of the following is the preferred treatment for this woman?
Bilateral adrenalectomy
General support only
Pneumonectomy
Radiation and chemotherapy directed at the lung cancer
Trans-sphenoidal hypophysectomy and pulmonary lobectomy
8) A multiple trauma patient receives 14 units of packed red cells and several liters of Ringer's lactate solution during a laparotomy for multiple intra-abdominal injuries. The surgeons note that blood is oozing from all dissected raw surfaces, as well as from his TV line sites. His core temperature is normal. Which of the following is the most appropriate next step in management?
Proceed with surgery and give blood transfusions as needed
Obtain a stat coagulation profile to guide specific therapy
Empiric administration of fresh frozen plasma and platelet packs
Abort the operation and close the abdomen with towel clips
Leave the abdomen open and covered with mesh until coagulation parameters can be corrected
9) A patient with a nonobstructing carcinoma of the sigmoid colon is being prepared for elective resection. Which of the following reduces the risk of postoperative infectious complications?
A single preoperative parenteral dose of antibiotic effective against aerobes and anaerobes
Postoperative administration for 48 hours of parenteral antibiotics effective against aerobes and anaerobes
Avoidance of oral antibiotics to prevent emergence of Clostridium difficile
Postoperative administration of parenteral antibiotics effective against aerobes and anaerobes until the patient’s intravenous lines and all other drains are removed
Redosing of antibiotics in the operating room if the case lasts for more than 2 hours
10) A young man is shot with a .45 caliber revolver, point blank in the lower abdomen, just above the pubis. The entrance wound is at the midline, and there is no exit wound. X-ray films show the bullet embedded in the sacral promontory, to the right of the midline. Digital rectal examination and proctoscopic examination are negative, but he has gross hematuria. He is hemodynamically stable. Which of the following is the most appropriate next step in management?
CT scan of the abdomen
Intravenous pyelogram
Retrograde cystogram
Diagnostic peritoneal lavage
Exploratory laparotomy
11) A 25-year-old man is shot with a .22 caliber revolver. The entrance wound is in the anteromedial aspect of his upper thigh, and the exit wound is about 3 inches lower, in the posterolateral aspect of the thigh. He has a large, expanding hematoma in the upper inner thigh. There are no palpable pulses in the foot. The bone is intact by physical examination and x-ray films. Which of the following is the most appropriate next step in management?
Doppler studies
Venogram
Arteriogram
Embolectomy
Surgical exploration
12) A 44-year-old woman is recovering from a mild episode of acute ascending cholangitis secondary to choledocholithiasis. When seen initially, she had a spiking fever, leukocytosis, and a very high alkaline phosphatase; however, all these findings subsided rapidly after she was placed on IV antibiotics. A sonogram of the right upper quadrant on the day of admission showed the presence of gallstones in the gallbladder, but the diameter of the biliary ducts was normal. It was assumed that she had passed a common duct stone, and plans to do an endoscopic retrograde cholangiopancreatogram (ERCP) were canceled. While awaiting elective cholecystectomy, she again developed a fever and leukocytosis, and her liver function tests showed minimal elevation of her bilirubin (to 2.5 mg/dL) and alkaline phosphatase (to 115 U/L). A repeat sonogram shows no changes in her biliary ducts, but now there is a 6-cm abscess in the right lobe of the liver. Which of the following is the most appropriate treatment for this new development?
Metronidazole
Long-term IV antibiotics
ERCP and biliary drainage
Open surgical resection of the right lobe of the liver
Percutaneous drainage of the liver abscess
13) On the 5th postoperative day, it is noticed that large amounts of clear, pink, salmon-colored fluid are soaking the wound dressings of a patient who had a negative exploratory laparotomy for a stab wound of the abdomen. The laparotomy was done through a midline supraumbilical and infraumbilical incision. When seen by the surgical staff, the patient is lying in bed in the supine position, with the dressings removed. In the dim light of his hospital room, the incision appears intact and not particularly red or inflamed, but there are indeed traces of the clear pink fluid on his skin. He has no specific complaints. He is still NPO and on IV fluids, but has already been passing gas per rectum, and plans had been made to feed him today. The abdomen is not distended, and he has normal bowel sounds. He is afebrile. Which of the following is the most appropriate next step in management?
Culture the pink fluid and start empiric antibiotic therapy
Help the patient out of bed and have him walk to the examining room for proper inspection of the wound
Gently probe the wound at several points until pus is found and drained
Stop plans for oral feedings and start total parenteral nutrition
Tape the wound securely, bind the abdomen, and avoid events that would suddenly increase his intra-abdominal pressure
14) A 2-year-old child has been shot in the arm in a drive-by shooting. His brachial artery was partially transected, and there was copious bleeding. The EMTs control the site of bleeding by local pressure, and the child is no longer losing blood; however, he is hypotensive and tachycardic. IV fluid resuscitation is urgently needed, but several attempts at starting peripheral IV lines have been unsuccessful. Which of the following would be the best alternative route in this situation?
Central line via subclavian puncture
Hypodermoclysis
Intraosseous cannulation in the proximal tibia
Percutaneous femoral vein cannulation
Saphenous vein cut-down
15) A 62-year-old woman has a 4-cm, hard mass under the nipple and areola of her rather small left breast. The mass occupies most of the breast, but the breast is freely movable from the chest wall. There is no dimpling or ulceration of the skin over the mass, and careful palpation of the axilla is completely negative. A core biopsy of the breast mass has established a diagnosis of infiltrating ductal carcinoma, and the mammogram showed no other lesions in that breast or the other one. A chest x-ray film and liver function tests are normal. She has no symptoms suggestive of brain or bone metastasis. Which of the following should be offered to this woman?
Lumpectomy only
Lumpectomy with axillary sampling and post-op radiation
Total mastectomy only
Modified radical mastectomy (including axillary sampling)
Radical mastectomy (including complete axillary dissection)
16) While running to catch a bus, and old man twists his ankle and falls on his inverted foot. Anteroposterior (AP), lateral, and mortise x-ray films show displaced fractures of both malleoli. Which of the following would be the preferred form of treatment?
Closed reduction and casting
Skeletal traction
Open reduction and internal fixation
Replacement with a metal prosthesis
Fusion of the ankle joint
17) Renal ultrasound and intravenous pyelography (IVP) in a 65-year-old man evaluated for urinary incontinence reveal bilateral hydronephrosis. Which of the following is the most likely condition leading to this complication?
Age-associated detrusor overactivity
Alzheimer disease
Normal pressure hydrocephalus
Previous surgery
Prostatic hyperplasia
18) A 57-year-old man is undergoing a femoral-popliteal bypass of his right lower extremity because of severe peripheral vascular disease. This patient has a longstanding history of claudication and shortness of breath. He had a myocardial infarction 3 years ago and has had progressive limitation of his exercise capacity because of his peripheral vascular disease. He has not had any risk stratification after his infarction. Two weeks ago, he underwent a lower extremity arterial study that showed severe diffuse disease of his right leg arterial system. The patient is brought to the operating room, and, during the procedure, his right lower extremity is made bloodless by application of a thigh tourniquet for 1.5 hours. The surgeons complete their bypass and are preparing to restore blood flow. Which of the following is an expected consequence of this maneuver?
Decrease in blood pressure
Increase in cardiac output
Increase in preload
Increase in venous return
Sinus bradycardia
19) A 52-year-old man with gastric outlet obstruction secondary to a duodenal ulcer presents with hypochloremic, hypokalemic metabolic alkalosis. Which of the following is the most appropriate therapy for this patient?
Infusion of 0.9% NaCl with supplemental KCl until clinical signs of volume depletion are eliminated
Clamping the nasogastric tube to prevent further acid losses
Infusion of isotonic (0.15 N) HCl via a central venous catheter
Administration of acetazolamide to promote renal excretion of bicarbonate
Intubation and controlled hypoventilation on a volume-cycled ventilator to further increase PCO2
20) A 31 -year-old man is brought to the emergency department after a motor vehicle accident. He sustained a severe head injury and, on arrival to the emergency department, has a Glasgow coma score of 8. His blood pressure is stable, and an urgent CT scan of the head reveals a large subdural bleed with evidence of a midline shift and cerebellar tonsillar compression. The patient is breathing spontaneously without any respiratory assistance and is not intubated. Which of the following is the most appropriate next step in management?
Obtain an urgent head MRI to evaluate for herniation
Perform endotracheal intubation and hyperventilation
Administer IV mannitol
Induce a barbiturate coma
Initiate immediate surgical decompression
21) A victim of blunt abdominal trauma has splenic and liver lacerations as well as an unstable pelvic fracture. He is hypotensive and tachycardic with a heart rate of 150 despite receiving 2 L of crystalloid en route to the hospital. He was intubated prior to arrival due to declining mental status. He is taken emergently to the operating room for exploratory laparotomy and external fixation of his pelvic fracture. Which of the following is the best resuscitative strategy?
Infusion of another liter of crystalloid
Infusion of packed red blood cells and early administration of fresh-frozen plasma and platelets prior to return of laboratory values
Infusion of 500 mL of 5% albumin
Infusion of packed red blood cells and vitamin K
Infusion of packed red blood cells followed by fresh-frozen plasma and platelets as indicated by the PT and platelet counts on laboratory values
22) A 62-year-old man who had a motorcycle accident has been in a coma for several weeks. He is on a respirator, has had pneumonia on and off, has been on pressors, and shows no signs of neurologic improvement. The family inquires about brain death and possible organ donation. An independent neurologic evaluation confirms that the patient is brain dead. What advice should be given to his family?
Anyone who has had pneumonia is excluded as a donor
He is not a suitable donor because of his age
Patients on respirators cannot donate organs
The harvesting team should evaluate him as a potential donor
The use of pressors precludes organ donation
23) A 35-year-old man with new diagnosis of Crohn disease presents with rapidly enlarging painful ulcerations on the lower extremities. Cultures of the lesion are negative, and skin biopsy reveals no evidence of malignancy. Which of the following is the most appropriate treatment option?
Surgical debridement of the wound with skin grafting
Local wound care with silver sulfadiazine
Topical corticosteroids
Systemic steroids and immunosuppressants
Saphenous vein stripping and compressive stockings
24) A 23-year-old man is admitted to the hospital after being struck by a motor vehicle. The patient sustained a compound fracture of his left femur in the accident and has had moderate blood loss. He was admitted to the hospital, has been stabilized over the past few days, and is now preparing for physical therapy. His hematocrit is 24%. The man feels weak and fatigued and easily gets short of breath with mild exertion. Which of the following is the most appropriate next step in management?
Continue with physical therapy; no transfusion is indicated
Discontinue physical therapy until the patient recovers more of his strength
Transfuse fresh frozen plasma to a hematocrit goal of 30%
Transfuse packed red blood cells to a hematocrit goal of 30%
Transfuse whole blood to a goal hematocrit of 30%
25) A 24-year-old woman is brought to the emergency department after being stabbed by her boyfriend. The examining physician notes a 1.5 cm puncture wound lateral to her sternum. She has a blood pressure of 70/min palpable, distended neck veins, and muffled heart sounds. Which of the following is the most appropriate next step in management?
Cardiac surgery consult
Echocardiogram
Chest x-ray film
Chest tube placement
Pericardiocentesis
26) A 60-kg, 53-year-old man with no significant medical problems undergoes lysis of adhesions for a small-bowel obstruction. Postoperatively, he has high nasogastric output and low urine output. What is the most appropriate management of his fluids?
Infusion of D5 0.45% normal saline at 100 mL/h
Infusion of D5 0.9% normal saline at 100 mL/h
Infusion of D5 lactated Ringer at 100 mL/h
Replacement of nasogastric tube losses with lactated Ringer in addition to maintenance fluids
Replacement of nasogastric tube losses with 0.45% normal saline with 20 mEq/L of potassium chloride in addition to maintenance fluids
27) Four days after surgical evacuation of an acute subdural hematoma, a 44-year-old man becomes mildly lethargic and develops asterixis. He has received 2400 mL of 5% dextrose in water intravenously each day since surgery, and he appears well hydrated. Pertinent laboratory values are as follows:Serum electrolytes (mEq/L): Na+ 118, K+ 3.4, Cl− 82, HCO3− 24Serum osmolality: 242 mOsm/LUrine sodium: 47 mEq/LUrine osmolality: 486 mOsm/LWhich of the following is the best treatment of his hyponatremia?
Insulin infusion to keep his glucose level less than 110 mg/dL
Slow infusion of 3% normal saline until neurologic symptoms are improved
Rapid infusion of 3% normal saline to correct the sodium to normal
Desmopressin (DDAVP) administration
Administration of a loop diuretic
28) A 22-year-old woman has a known family history of breast cancer in her first-degree relatives. She undergoes genetic testing and is found to be a BRCA1 mutation carrier. She does not currently desire bilateral prophylactic mastectomy. Which of the following is the next best option to manage her risk for breast cancer?
Mammography every 6 months starting at age 25
Mammography every 12 months starting at age 25
Mammography every 6 months starting at age 35
Mammography every 12 months starting at age 35
Tamoxifen for chemoprevention
29) A 30-year-old woman comes to the physician 6 hours after falling on her outstretched right hand. She has pain and limitation of movement in her wrist, but denies sensations of tingling or numbness. The right wrist is mildly swollen, and its range of passive motion is limited compared with the left side. Palpation elicits maximal tenderness in the area of the anatomic snuffbox, between the tendons of the extensor pollicis longus and abductor pollicis muscles. Ulnar and radial pulses are normal, and Tinel's and Phalen's tests are negative. Further examination rules out signs of nerve or vascular damage. Plain x-ray films performed in the anteriorposterior, lateral, and oblique views fail to show any evidence of fractures. At this time, which of die following is the most appropriate next step in management?
Bone scanning
MRI examination of the wrist
Treatment for wrist sprain
Treatment for scaphoid fracture
Angiography Pulmonaire
30) A 72-year-old woman undergoes a partial colectomy for adenocarcinoma of the sigmoid colon. She receives appropriate antibiotic coverage and low-dose heparin prophylaxis. On the 5th hospital day, the patient begins complaining of right chest pain, difficulty in breathing, and dry cough. Her temperature is 37.9C (100.2F), blood pressure is 134/78 mm Hg, pulse is 115/min and regular, and respirations are 20/rnin. Examination shows crackles in the right chest, but no tenderness or edema in the legs. A chest x-ray film reveals areas of opacification in the right lung. ECG reveals sinus tachycardia with nonspecific ST changes. Laboratory studies show: Arterial blood gas analysis- PaO2 74 mm Hg- PaCO2 37 mm Hg- pH 7.35- Blood/serumHematocrit 40%- Leukocytes 8300/mm3- Lactate dehydrogenase 350 U/L- Fibrin D-dimer 600 ng/mL (normal upper limit 500 ng/mL)Which of the following is the most appropriate step in diagnosis?
Bronchoalveolar lavage
Contrast venography
Pulmonary angiography
Ultrasonography of the lower extremities
Ventilation-perfusion lung scanning
31) A 65-year-old man complains of blood in his urine for the past 2 months. He has had no similar episodes in the past. He is otherwise healthy and denies abdominal pain, any trauma, fever, chills, anorexia, or dysuria. He reports having a good urinary stream and no nocturia or dribbling. He is not sexually active. He has no other medical problems and is not taking any medications. His vital signs are stable. Lung, heart, abdominal, and groin examination are unremarkable. Rectal exam reveals a nontender prostate with no masses or enlargement- Urinalysis reveals packed red cells, a few white cells, and no casts. Which of the following is the most appropriate management?
Prescribe levofloxacin
Schedule a prostatic biopsy
Schedule a renal angiogram
Schedule a cystoscopy
Schedule a pelvic CT scan
32) A 30-year-old woman in her last trimester of pregnancy suddenly develops massive swelling of the left lower extremity. Which of the following would be the most appropriate workup and treatment at this time?
Venography and heparin
Duplex ultrasonography, heparin, and vena caval filter
Duplex ultrasonography and heparin
Duplex ultrasonography, heparin, warfarin (Coumadin)
Impedance plethysmography, warfarin
33) A 20-year-old woman with a family history of von Willebrand disease is found to have an activated partial thromboplastin time (aPTT) of 78 (normal = 32) on routine testing prior to cholecystectomy. Further investigation reveals a prothrombin time (PT) of 13 (normal = 12), a platelet count of 350,000/mm3, and an abnormal bleeding time. Which of the following should be administered in the perioperative period?
Factor VIII
Platelets
Vitamin K
Aminocaproic acid
Desmopressin (DDAVP)
34) A pedestrian is hit by a car. Physical examination shows the leg to be angulated midpoint between the knee and the ankle. X-ray films confirm fractures of the shaft of the tibia and fibula. Satisfactory alignment is achieved by external manipulation, and a long leg cast applied. In the ensuing 8 hours, the patient complains of increasing pain. When the cast is removed, the pain persists, the muscle compartments feel tight, and there is excruciating pain with passive extension of the toes. Which of the following is the most appropriate next step in management?
Re-casting with a looser cast
Nerve block prior to re-casting
Arteriogram
Fasciotomy
Open reduction and internal fixation
35) A 75-year-old thin cachectic woman undergoes a tracheostomy for failure to wean from the ventilator. One week later, she develops significant bleeding from the tracheostomy. Which of the following would be an appropriate initial step in the management of this problem?
Remove the tracheostomy and place pressure over the wound.
Deflate the balloon cuff on the tracheostomy
Attempt to reintubate the patient with an endotracheal tube
Upsize the tracheostomy
Perform fiberoptic evaluation immediately.
36) A 50-year-old man has respiratory failure due to pneumonia and sepsis after undergoing splenectomy for a traumatic injury. Which of the following management strategies will improve tissue oxygen uptake (ie, shifting the oxygen dissociation curve, depicted here, to the right)?
Transfusion of banked blood to correct acute anemia
Correction of acute anemia with erythropoietic stimulating agent
Administration of bicarbonate to promote metabolic alkalosis
Hypoventilation to increase the PaCO2
Administration of an antipyretic to lower the patient’s temperature
37) A 35-year-old woman has dyspnea on exertion, orthopnea, paroxysmal nocturnal dyspnea, cough, and hemoptysis. The symptoms have been slowly progressive for about 5 years. She looks thin and cachectic, and has atrial fibrillation and a low-pitched, rumbling diastolic apical heart murmur. At age 15, she had rheumatic fever. Surgery has been recommended. Which of the following is the most appropriate management?
Closure of the ventricular septal defect
Mitral annuloplasty to tighten an incompetent mitral valve
Mitral commissurotomy to open a stenotic mitral valve
Prosthetic replacement of the aortic valve
Prosthetic replacement of the mitral valve
38) A 59-year-old man is planning to undergo a coronary artery bypass. He has osteoarthritis and consumes nonsteroidal anti-inflammatory drugs (NSAIDs) for the pain. Which of the following is the most appropriate treatment prior to surgery to minimize his risk of bleeding from his NSAID use?
Begin vitamin K 1 week prior to surgery
Give FFP few hours before surgery
Stop the NSAIDs 1 week prior to surgery
Stop the NSAIDs 3 to 4 days prior to surgery
Stop the NSAIDs the day before surgery
39) A 63-year-old man undergoes a partial gastrectomy with Billroth II reconstruction for intractable peptic ulcer disease. He presents several months postoperatively with a megaloblastic anemia. Which of the following is the best treatment for this surgical complication?
Transfusion with 1 unit of packed red blood cells
Oral iron supplementation
Oral vitamin B12 supplementation
Intravenous vitamin B12 (cyanocobalamin) supplementation
Oral folate supplementation
40) A 52-year-old woman undergoes a sigmoid resection with primary anastomosis for recurrent diverticulitis. She returns to the emergency room 10 days later with left flank pain and decreased urine output; laboratory examination is significant for a white blood cell (WBC) count of 20,000/mm3. She undergoes a CT scan that demonstrates new left hydronephrosis, but no evidence of an intra-abdominal abscess. Which of the following is the most appropriate next step in management?
Intravenous pyelogram
Intravenous antibiotics and repeat CT in 1 week
Administration of intravenous methylene blue
No further management if urinalysis is negative for hematuria
Immediate reexploration
41) A 63-year-old man with history of poorly controlled diabetes presents with right leg swelling and pain. The patient denies trauma to the leg and reports it was normal yesterday. Examination of the right lower extremity is significant for extreme tenderness to palpation, erythema, and edema extending up to the knee. X ray of the right leg shows tissue swelling without gas or osteomyelitis. The patient’s vital signs are normal and he is started on broad-spectrum IV antibiotics and insulin. An hour later the patient’s heart rate increases to 125 beats per minute and the erythema has progressed to the thigh with new blister formation on the leg. Which of the following is the most appropriate next step in management?
Repeat x-ray of the right lower extremity
CT scan of the right lower extremity
MRI of the right lower extremity
Bone scan of the right lower extremity
Immediate surgical intervention with incision and direct visualization of potentially infected tissue
42) A 25-year-old man is brought to the emergency room after sustaining burns during a fire in his apartment. He has blistering and erythema of his face, left upper extremity, and chest. He also has circumferential frank charring of his right upper extremity with decreased capillary refill. He is agitated, hypotensive, and tachycardic. Which of the following is the most appropriate initial management of his wounds?
Topical antibiotics should be applied to the burn wounds.
Excision of facial and hand burns.
Escharotomy of the right upper extremity
Excision of all third-degree burns
Split-thickness skin grafts over the areas of third-degree burns
43) A 55-year-old woman who has end-stage liver disease is referred to a hepatologist for evaluation. Which of the following would prevent her from being a transplantation candidate?
Use of alcohol 3 months ago
Two 2-cm hepatocellular carcinomas (HCCs) in the right lobe of the liver
A 4-cm hepatocellular carcinoma in the right lobe of the liver
Development of hepatorenal syndrome requiring hemodialysis
History of breast cancer 5 years ago with no evidence of disease currently
44) A 12-year-old boy with a femur fracture after a motor vehicle collision undergoes operative repair. After induction of anesthesia, he develops a fever of 40°C (104°F), shaking rigors, and blood-tinged urine. Which of the following is the best treatment option?
Alkalinization of the urine, administration of mannitol, and continuation with the procedure
Administration of intravenous steroids and an antihistamine agent with continuation of the procedure
Administration of dantrolene sodium and termination of the procedure
Administration of dantrolene sodium and continuation with the procedure
Administration of intravenous steroids and an antihistamine agent with termination of the procedure
45) A 24-year-old Jehovah’s Witness who was in a high-speed motorcycle collision undergoes emergent splenectomy. His estimated blood loss was 1500 mL. Which of the following strategy should be employed for his resuscitation?
Vasopressors should be primarily utilized for maintenance of his blood pressure.
Synthetic colloids should be administered as the primary resuscitation fluid in a 3:1 ratio to replace the volume of blood lost.
0.9% normal saline should be administered in a 1:1 ratio to replace the volume of blood lost
0.45% normal saline should be administered in a 3:1 ratio to replace the volume of blood lost
Lactated Ringer solution should be administered in a ratio of 3:1 to replace the blood lost
46) A 43-year-old woman develops acute renal failure following an emergency resection of a leaking abdominal aortic aneurysm. One week after surgery, the following laboratory values are obtained:Serum electrolytes (mEq/L): Na+ 127, K+ 5.9, Cl− 92, HCO3− 15Blood urea nitrogen: 82 mg/dLSerum creatinine: 6.7 mg/dLThe patient has gained 4 kg since surgery and is mildly dyspneic at rest. Eight hours after these values are reported, the following electrocardiogram is obtained. Which of the following is the most appropriate initial treatment in the management of this patient?

10 mL of 10% calcium gluconate
0.25 mg digoxin every 3 hours for 3 doses
100 mg lidocaine
Oral Kayexalate
Emergent hemodialysis
47) A 60-year-old woman with no previous medical problems undergoes a total colectomy with diverting ileostomy for a cecal perforation secondary to a sigmoid stricture. Postoperatively, she has 2 L of ileostomy output per day. Her heart rate is 110 beats per minute, her respiratory rate is 24 breaths per minute, and her oxygen saturation is 98% on 2-L nasal cannula (NC). Her hemoglobin levels have been stable postoperatively at 9.0 mg/dL. Her other laboratory values on postoperative day 6 are as follows:Na+: 128K+: 3.0Cl−: 102HCO3-: 20Which of the following statements is the best strategy for correcting her acid–base disorder?
Her maintenance fluids should be changed to 0.9% normal saline with 20 mEq/L of potassium chloride.
She should be transfused 2 units of packed red blood cells
She should be intubated to correct her tachypnea and prevent respiratory alkalosis.
She should be treated with fluid replacement and stool-bulking agents.
She should undergo immediate dialysis
48) A 39-year-old man is undergoing resuscitation with blood products for an upper GI bleed. He is suspected of having a hemolytic transfusion reaction. Which of the following is appropriate in the management of this patient?
Removal of nonessential foreign body irritants, for example, Foley catheter
Fluid restriction
0.1 M HCl infusion
Steroids
Fluids and mannitol
49) A 70-kg woman is to undergo nail removal from her right ring finger in the ambulatory surgery clinic. Which of the following is the most appropriate option for local anesthesia?
Digital block with 1% lidocaine without epinephrine up to 4.5 mg/kg
Digital block with 1% lidocaine with epinephrine up to 4.5 mg/kg
Digital block with 1% lidocaine with epinephrine up to 7 mg/kg
Local injection around the nail bed with 1% lidocaine with epinephrine up to 7 mg/kg/mL
Local injection around the nail bed with 1% lidocaine with epinephrine up to 4.5 mg/kg
50) A 58-year-old woman with multiple comorbidities and previous cardiac surgery is in a high-speed motor vehicle collision. She is intubated for airway protection. Because of hemodynamic instability, a central venous catheter is placed in the right subclavian vein. While the surgeon is securing the catheter, the cap becomes displaced and air enters the catheter. Suddenly, the patient becomes tachycardic and hypotensive. What is the best next maneuver?
Decompression of the right chest with a needle in the second intercostal space
Withdrawal of the central venous catheter several centimeters
Placement of a right chest tube
Bilateral “clamshell” thoracotomy with aortic cross-clamping
Placement of the patient in a left lateral decubitus Trendelenburg position
51) A 72-year-old chronic smoker with severe chronic obstructive pulmonary disease (COPD) is found to have a central hilar mass on chest x-ray. Bronchoscopy and biopsies establish a diagnosis of squamous cell carcinoma of the lung. Pulmonary function studies show that he has a FEVj of 1100 mL, and a ventilation-perfusion scan indicates that 60% of his pulmonary function comes from the affected lung. Which of the following is the most appropriate next step in management?
CT scan of the upper abdomen to rule out liver metastasis
Mediastinoscopy to biopsy carinal nodes
Radiation and chemotherapy
Palliative pneumonectomy
Pneumonectomy with hope of cure
52) An 11-year-old girl presents to your office because of a family history of medullary carcinoma of the thyroid. Physical examination is normal. Which of the following tests should you perform?
Urine vanillylmandelic acid (VMA) level
Serum insulin level
Serum gastrin level
Serum glucagon level
Serum somatostatin level
53) A 37-year-old woman has developed a 6-cm mass on her anterior thigh over the past 10 months. The mass appears to be fixed to the underlying muscle, but the overlying skin is movable. Which of the following is the most appropriate next step in her management?
Above-knee amputation
Excisional biopsy
Incisional biopsy
Bone scan
Abdominal CT scan
54) A 50-year-old man is incidentally discovered to have a low-grade mucosa-associated lymphoid tissue (MALT) lymphoma on biopsy of the stomach during esophagogastroduodenoscopy for dyspepsia. CT scans of the chest, abdomen, and pelvis demonstrate no evidence of enlarged regional lymph nodes or distant metastases. Which of the following is the initial treatment of choice?
Total gastrectomy with esophagojejunostomy
Total gastrectomy with esophagojejunostomy and adjuvant chemotherapy
Chemotherapy
Steroids
Antibiotics
55) A 29-year-old woman on oral contraceptives presents with abdominal pain. A computed tomography (CT) scan of the abdomen demonstrates a large hematoma of the right liver with the suggestion of an underlying liver lesion. Her hemoglobin is 6, and she is transfused 2 units of packed red blood cells and 2 units of fresh frozen plasma. Two hours after starting the transfusion, she develops respiratory distress and requires intubation. She is not volume overloaded clinically, but her chest x-ray shows bilateral pulmonary infiltrates. Which of the following is the management strategy of choice?
Continue the transfusion and administer an antihistamine
Stop the transfusion and administer a diuretic
Stop the transfusion, perform bronchoscopy, and start broad-spectrum empiric antibiotics
Stop the transfusion and continue supportive respiratory care
Stop the transfusion and send a Coombs test
56) A 68-year-old hypertensive man undergoes successful repair of a ruptured abdominal aortic aneurysm. He receives 9 L Ringer lactate solution and 4 units of whole blood during the operation. Two hours after transfer to the surgical intensive care unit, the following hemodynamic parameters are obtained: systemic blood pressure (BP) 90/60 mm Hg, pulse 110 beats per minute, central venous pressure (CVP) 7 mm Hg, pulmonary artery pressure 28/10 mm Hg, pulmonary capillary wedge pressure (PCWP) 8 mm Hg, cardiac output 1.9 L/min, systemic vascular resistance 1400 (dynes)/cm5 (normal is 900-1300), PaO2 140 mm Hg (FiO2: 0.45), urine output 15 mL/h (specific gravity: 1.029), and hematocrit 35%. Given this data, which of the following is the most appropriate next step in management?
Administration of a diuretic to increase urine output
Administration of a vasopressor agent to increase systemic blood pressure
Administration of a fluid challenge to increase urine output
Administration of a vasodilating agent to decrease elevated systemic vascular resistance
A period of observation to obtain more data
57) A 71-year-old man returns from the operating room (OR) after undergoing a triple coronary bypass. His initial cardiac index is 2.8 L/ (min•m2). Heart rate is then noted to be 55 beats per minute, BP is 110/80 mm Hg, wedge pressure is 15, and his cardiac index has dropped to 1.6 L/(min•m2). He has a normal left ventricle. Which of the following maneuvers will increase his cardiac output?
Increase his peripheral vascular resistance.
Increase his CVP
Increase his blood viscosity
Increase his heart rate to 90 by electrical pacing
Increase his inspired O2 concentration
58) Eight days after a difficult hemigastrectomy and gastroduodenostomy for gastric ulcer, a patient begins to leak 2-3 L of greenish fluid per day through the right corner of his bilateral subcostal surgical incision. He is afebrile and has no clinical signs of an acute abdomen. At surgery, a feeding catheter jejunostomy was placed, through which the patient has been receiving 3 L/day of elemental diet with a caloric content of 1 cal per mL, and 1 g nitrogen per 100 cal. The nursing staffs have rigged a very effective collection device for the fluid that is leaking through the wound, and the skin around the site is well protected. Which of the following is the most appropriate next step in management?
No changes in the present therapeutic plan
Addition of 2-3 L per day of IV Ringer's lactate
Immediate discontinuation of the jejunal feeding, and replacement by 5 L/day of IV 5% dextrose-half normal saline
Surgical drainage of the operative area
Surgical reconstruction of die gastroduodenostomy
59) Six hours after undergoing laparoscopic bilateral inguinal hernia repairs, a 62-year-old man complains of suprapubic discomfort and fullness. He feels the need to void but has not been able to do so since the operation. There is a palpable suprapubic mass that is dull to percussion. Palpation of that mass exacerbates the symptoms. Which of the following is the most appropriate next step in management?
Abdominal x-ray films to ascertain the nature of the mass
Loop diuretics
Increased rate of IV fluid administration
In and out bladder catheterization
Placement of indwelling Foley catheter
60) An 18-year-old previously healthy man is placed on intravenous heparin after having a pulmonary embolism (PE) after exploratory laparotomy for a small-bowel injury following a motor vehicle collision. Five days later, his platelet count is 90,000/μL and continues to fall over the next several days. The patient’s serum is positive for antibodies to the heparin-platelet factor complexes. Which of the following is the most appropriate next step management?
Cessation of all anticoagulation therapy
Cessation of heparin and immediate institution of high-dose warfarin therapy
Cessation of heparin and institution of low-molecular-weight heparin
Cessation of heparin and institution of lepirudin
Cessation of heparin and transfusion with platelets
61) A 62-year-old woman undergoes a pancreaticoduodenectomy for a pancreatic head cancer. A jejunostomy is placed to facilitate nutritional repletion as she is expected to have a prolonged recovery. What is the best method for delivering postoperative nutrition?
Institution of enteral feeding via the jejunostomy tube after return of bowel function as evidenced by passage of flatus or a bowel movement
Institution of supplemental enteral feeding via the jejunostomy tube only if oral intake is inadequate after return of bowel function
Institution of enteral feeding via the jejunostomy tube within 24 hours postoperatively
Institution of a combination of immediate trophic (15 mL/h) enteral feeds via the jejunostomy tube and parenteral nutrition to provide total nutritional support
Complete nutritional support with total parenteral nutrition
62) A 65-year-old woman has a life-threatening pulmonary embolus 5 days following removal of a uterine malignancy. She is immediately heparinized and maintained in good therapeutic range for the next 3 days, then passes gross blood from her vagina and develops tachycardia, hypotension, and oliguria. Following resuscitation, an abdominal CT scan reveals a major retroperitoneal hematoma. Which of the following is the best next step in management?
Immediately reverse heparin by a calculated dose of protamine and place a vena caval filter (eg, a Greenfield filter).
Switch to low-dose heparin
Reverse heparin with protamine, explore and evacuate the hematoma, and ligate the vena cava below the renal veins.
Stop heparin and observe closely
Stop heparin, give fresh-frozen plasma (FFP), and begin warfarin therapy.
63) A 24-year-old woman presents with lethargy, anorexia, tachypnea, and weakness. Laboratory studies reveal a BUN of 150 mg/dL, serum creatinine of 16 mg/dL, and potassium of 6.2 mEq/L. Chest x-ray shows increased pulmonary vascularity and a dilated heart. Which of the following is the most appropriate management of this patient?
Emergency kidney transplantation
Creation and immediate use of a forearm arteriovenous fistula
Placement of a catheter in the internal jugular vein and initiation of hemodialysis
Renal biopsy
A 100-g protein/day diet
64) A 56-year-old woman is undergoing a cadaveric renal transplant. After revascularization of the transplanted kidney, the transplanted renal parenchyma becomes swollen and blue. The surgeon suspects hyperacute rejection. What is the treatment of choice for this patient?
There is no therapy for hyperacute rejection
Systemic anticoagulation
Catheter-directed anticoagulation into the renal artery
Intravenous steroids
Intravenous steroids and cyclosporine
65) A 41-year-old man underwent successful living-related kidney transplantation 1 year ago with good results. Preoperatively, he was noted to have an elevated calcium level; post-transplantation, he continues to have elevated calcium levels and associated symptoms. Which of the following is the most appropriate next step in management?
99mTc sestamibi scanning
Ultrasound of the neck
CT scan of the neck and mediastinum
Measurement of urinary calcium levels
Total parathyroidectomy with autotransplantation of a portion of a gland into the forearm
66) A young man is shot in the upper part of the neck with a .22 caliber revolver. Inspection of the entrance and exit wounds indicates that the trajectory of the bullet is all above die level of the angle of the mandible, but below the skull. He is fully conscious and neurologically intact. A steady trickle of blood flows from both wounds, and it does not seem to respond to local pressure. He is hemodynamically stable. Which of the following is the most appropriate next step in diagnosis?
Continued clinical observation
Barium swallow
Arteriogram
Endoscopy
Surgical exploration
67) A 21-year-old college student undergoes surgery to remove a small cyst in his palm at the base of his third digit. He receives an axillary regional block prior to die procedure but still has discomfort post-operatively. Injection of anesmetic in which of the following sites may be used to treat his pain?
Between the palmaris longus and flexor digitorum tendons
Into die anatomic snuff box
Near the spiral groove of the humerus
Posterior to the brachioradialis muscle
Posterior to the elbow, between the olecranon and the medial epicondyle
68) A 62-year-old man is suffering from arrhythmias on the night of his triple coronary bypass. Potassium has been administered. His urine output is 20 to 30 mL/h. Serum potassium level is 6.2. Which of the following medications counteracts the effects of potassium without reducing the serum potassium level?
Sodium polystyrene sulfonate (Kayexalate)
Sodium bicarbonate
50% dextrose
Calcium gluconate
Insulin
69) An in-hospital workup of a 78-year-old hypertensive, mildly asthmatic man who is receiving chemotherapy for colon cancer reveals symptomatic gallstones. Preoperative laboratory results are notable for a hematocrit of 24% and urinalysis with 18 to 25 WBCs and gram-negative bacteria. On call to the operating room, the patient receives intravenous penicillin. His abdomen is shaved in the operating room. An open cholecystectomy is performed and, despite a lack of indications, the common bile duct is explored. The wound is closed primarily with a Penrose drain exiting a separate stab wound. On postoperative day 3, the patient develops a wound infection. Which of the following changes in the care of this patient could have decreased the chance of a postoperative wound infection?
Increasing the length of the preoperative hospital stay to prophylactically treat the asthma with steroids
Shaving the abdomen the night prior to surgery
Treating the urinary infection prior to surgery
Continuing the prophylactic antibiotics for 3 postoperative days
Using a closed drainage system brought out through the operative incision
70) A 72-year-old man with diabetes, renal insufficiency, and coronary artery disease presents in septic shock from emphysematous cholecystitis. His oxygen saturation is 100% on 6-L nasal cannula and his hemoglobin is 7.2 mg/dL. His mixed venous oxygen saturation is 58%. Which of the following treatment options will improve his oxygen delivery the most?
Increase his inspired oxygen concentration
Transfer him to a hyperbaric chamber
Administer ferrous sulfate
Administer an erythropoietic agent
Transfuse two units of packed red blood cells 7
71) A 47-year-old man with hypertensive nephropathy develops fever, graft tenderness, and oliguria 4 weeks following cadaveric renal transplantation. Serum creatinine is 3.1 mg/dL. A renal ultrasound reveals mild edema of the renal papillae but normal flow in both the renal artery and the renal vein. Nuclear scan demonstrates sluggish uptake and excretion. Which of the following is the most appropriate next step?
Performing an angiogram
Decreasing steroid and cyclosporine dose
Beginning intravenous antibiotics
Performing renal biopsy, steroid boost, and immunoglobulin therapy
Beginning FK 506
72) A kidney transplant recipient presents with severe acute rejection that does not respond to steroid treatment. Administration of which of the following agents is the best step in her management?
Cyclosporine
Tacrolimus
Azathioprine
Muromonab-CD3
Sirolimus
73) A 30-year-old man is scheduled for a laparoscopic cholecystectomy for biliary colic. He reports a family history of prolonged paralysis during general anesthesia. Which of the following medications should be avoided during his procedure?
Succinylcholine
Vecuronium
Pancuronium
Halothane
Etomidate
74) A 63-year-old man with multiple rib fractures and a pulmonary contusion requires prolonged intubation. He is unable to be weaned from the ventilator and is on a volume control mode. He has a tracheostomy and a percutaneous gastrotomy in place through which he is being fed. The surgeon orders a respiratory quotient (RQ), which is the ratio of the rate of carbon dioxide production over the rate of oxygen uptake. The RQ is 1. Based on this information, which of the following is the next step in his management?
Decrease the inspired concentration of oxygen
Decrease the rate on the ventilator
Increase the rate on the ventilator
Decrease the carbohydrates in his enteral feeds
Increase the total number of calories in his enteral feeds
75) A 28-year-old medical student seeks your attention because of a testicular mass. Biopsy is consistent with pure seminoma. There is no evidence of enlarged retroperitoneal lymph nodes on CT scan. Which of the following is the best treatment strategy for this patient?
Orchiectomy alone
Orchiectomy followed by chemotherapy
Orchiectomy with retroperitoneal lymph node dissection
Orchiectomy with retroperitoneal lymph node dissection followed by external beam radiation
Orchiectomy followed by external beam radiation to the retroperitoneal lymph nodes
76) Following a boating injury in an industrial-use river, a patient begins to display fever, tachycardia, and a rapidly expanding area of erythema, blistering, and drainage from a flank wound. An x-ray shows gas in the soft tissues. Which of the following measures is most appropriate?
Administration of an antifungal agent
Administration of antitoxin
Wide debridement
Administration of hyperbaric O2
Early closure of tissue defect
77) Following pelvic gynecologic surgery, a 34-year-old woman becomes dyspneic, her peripheral arterial O2 saturation falls from 94% to 81%, and her measured PaO2 is 52 on a 100% non-rebreather mask. She is hemodynamically stable. A CT angiogram is consistent with a right lower lobe pulmonary embolus. Which of the following is the next step in her management?
77) Following pelvic gynecologic surgery, a 34-year-old woman becomes dyspneic, her peripheral arterial O2 saturation falls from 94% to 81%, and her measured PaO2 is 52 on a 100% non-rebreather mask. She is hemodynamically stable. A CT angiogram is consistent with a right lower lobe pulmonary embolus. Which of the following is the next step in her management?
Systemic anticoagulation with warfarin
Placement of an inferior vena cava filter
Thrombolytic therapy
Open pulmonary embolectomy
78) A 53-year-old woman presents with bright red blood per rectum, increased abdominal distention, and weight loss. She is found to have a large fungating mass 8 cm from the anal verge. No other lesions are identified. Biopsy is consistent with invasive rectal adenocarcinoma. Endorectal ultrasound shows invasion of the tumor into the perirectal fat and multiple enlarged lymph nodes. CT scans of the chest, abdomen, and pelvis do not show any metastases. She would like to preserve her sphincter if possible. Which of the following is the best treatment option for this patient given her preferences?
Abdominoperineal resection
Neoadjuvant chemoradiation followed by low anterior resection
Neoadjuvant chemoradiation followed by abdominoperineal resection
Transanal excision followed by adjuvant chemoradiation
Neoadjuvant chemoradiation followed by transanal excision
79) A 35-year-old woman presents with a right breast mass. You perform a thorough history and physical examination as well as a core biopsy of the right breast mass. In which of the following circumstances would a sentinel lymph node biopsy be indicated?
The core biopsy is consistent with ductal carcinoma in situ without comedo necrosis for which the patient desires partial mastectomy only
The core biopsy is consistent with ductal carcinoma and the patient has palpable axillary lymph nodes.
The core biopsy is consistent with ductal carcinoma and the patient has a positive pregnancy test
The core biopsy is consistent with ductal carcinoma and the patient has a bone scan suspicious for metastasis
The core biopsy is consistent with ductal carcinoma and the patient desires partial mastectomy
80) A 70-year-old man is concerned when his dentist finds a white patch on his oral mucosa during a routine examination. Proper management should include which of the following?
Excisional biopsy of all lesions
Application of topical antibiotics
Low-dose radiation therapy
Strict oral hygiene and avoidance of alcohol and tobacco
Application of topical chemotherapeutic agents
81) A 40-year-old woman undergoes an incisional biopsy of a pigmented lesion on her right thigh. Pathologic examination reveals malignant melanoma with a thickness of 3 mm. Findings on examination of the groin is normal. Which of the following is the most appropriate next step in her management?
Wide local excision of the melanoma with a 1-cm margin from the tumor, followed by radiation to the groin
Wide local excision of the melanoma with a 1-cm margin from the tumor and sentinel lymph node biopsy
Wide local excision of the melanoma with a 1-cm margin from the tumor and groin lymph node dissection
Wide local excision of the melanoma with a 2-cm margin from the tumor and sentinel lymph node biopsy
Wide local excision of the melanoma with a 2-cm margin from the tumor and groin lymph node dissection
82) A 49-year-old woman undergoes surgical resection of a malignancy. The family asks about the prognosis. The histopathology is available for review. For which of the following malignancies does histologic grade best correlate with prognosis?
Lung cancer
Melanoma
Colonic adenocarcinoma
Hepatocellular carcinoma
Soft tissue sarcoma
83) A 61-year-old man undergoes upper endoscopy for evaluation of weight loss and is identified to have a submucosal mass in the stomach. Biopsy is consistent with a gastrointestinal stromal tumor (GIST). Workup reveals the presence of liver metastases. Which of the following is the best initial treatment for this patient?
Tyrosine kinase inhibitor (Imatinib)
Monoclonal antibody against tumor necrosis factor α (Infliximab)
Monoclonal antibody against interleukin-2 receptor (Daclizumab)
Monoclonal antibody against vascular endothelial growth factor A (Bevacizumab)
Monoclonal antibody against epidermal growth factor receptor (Cetuximab)
84) A 57-year-old woman develops bony metastases 1 year after right modified radical mastectomy for breast cancer. The tumor was estrogen receptor-negative, progesterone receptor-negative and Her-2/neu positive. Which of the following agents is indicated for treatment of her metastatic disease?
Antiestrogen (Tamoxifen)
Selective estrogen receptor modulator (Raloxifene)
Monoclonal antibody (Trastuzumab)
Aromatase inhibitor (Anastrozole)
5-fluorouracil
85) A 44-year-old woman has a 2-cm firm palpable mass in the upper outer quadrant of her right breast. The mass is freely movable, and her breast is of normal, rather generous size. There are no palpable axillary nodes. Mammogram shows no other lesions. A core biopsy establishes a diagnosis of infiltrating ductal carcinoma. She has no neurologic or skeletal symptoms, and a chest x-ray film and liver enzymes are normal. She understands that systemic therapy may eventually be needed once the full extent of her disease is known. Although she wants the best chance for cure, she is very concerned about cosmetic deformity and wants to know what can be done about the breast itself. Which of the following is the most appropriate management?
Radiation and chemotherapy without breast surgery
Simple total subcutaneous mastectomy with implants
Lumpectomy, axillary sampling, and postoperative radiation
Modified radical mastectomy with immediate rectus abdominis flap reconstruction
Radical mastectomy and postoperative radiation, with delayed reconstruction
86) A 26-year-old, drug-addicted man develops congestive heart failure over a period of a few days. He is febrile, has a loud, diastolic murmur at the right second intercostal space, and has a blood pressure of 120/20 mmHg. A physical examination performed a few weeks ago, when he attempted to enroll in a detoxification program, was completely normal. His blood pressure at that time was 120/80 mm Hg, and no murmurs were noted. In addition to long-term antibiotic therapy, which of the following is the most appropriate next step in management?
Closure of the ventricular septal defect with a pericardial patch
Elective aortic valve repair if he develops a systolic gradient of 50 mm Hg
Emergency aortic valve replacement
Emergency mitral valve repair
Emergency pulmonic valve replacement
87) During a bar brawl, a 19-year-old man sustains a 4-in laceration on his left arm from glass and presents to the emergency room the following morning, 10 hours later. He is neurovascularly intact and the wound is deep, extending down to fascia. Which of the following is the most appropriate management of the wound?
Closure of the skin only and administration of oral antibiotics for 1 week
Closure of the skin and subcutaneous tissue and administration of oral antibiotics for 1 week
A single dose of intravenous antibiotics and closure of the skin only
A single dose of intravenous antibiotics and closure of the skin and subcutaneous tissue
Local wound care without wound closure or antibiotics
88) A 59-year-old woman undergoes an exploratory laparotomy for peritonitis and is found to have perforated diverticulitis. She undergoes a sigmoid resection with an end colostomy. She is administered a third-generation cephalosporin within 1 hour prior to the incision and the antibiotic is continued postoperatively. One week later, she develops an intra-abdominal abscess, which is percutaneously drained. Bacteroides fragilis is isolated from the cultures. Which of the following statements regarding her perioperative antibiotic regimen is most accurate?
The preoperative dose of antibiotics should have been given closer to the time of incision
The patient should have received several doses of antibiotics prior to laparotomy
The patient should have received a first-generation cephalosporin
The patient did not have adequate gram-negative coverage.
The patient did not have adequate anaerobic coverage
89) While playing football, a college student injures his shoulder. He comes in with his arm held close to his body, complaining of pain over the clavicle, rather than the shoulder joint. Physical examination shows a normal shoulder, but there is point tenderness at the junction of the middle and distal thirds of the clavicle. Gentle pressure elicits a gritty feeling of bone crunching on bone. He has normal pulses on that arm. After appropriate x-ray studies are performed, which of the following is the most appropriate initial step in management?
Analgesics only
Arteriogram of the subclavian vessels
Immobilization by a figure-eight device
Open reduction and internal fixation
Immobilization by hanging cast
90) A 50-year-old man complains of loss of libido and impotence after starting treatment with leuprolide for prostatic hyperplasia. An alpha-blocker and finasteride have also been tried, but with similar adverse effects. So far, the patient has not experienced any episodes of urinary tract infection or hematuria, but he is excessively bothered by his symptoms without any medication. Digital rectal examination shows mild prostatic enlargement. At this time, his prostate-specific antigen (PSA) is 4.5 ng/mL, and his creatinine is 0.7 mg/dL. Dipstick examination shows no hematuria. Which of the following is the most appropriate alternative to his current pharmacologic treatment?
Watchful waiting
Transurethral resection of the prostate (TURP)
Megestrol acetate
Open prostatectomy
Transurethral incision of the prostate (TUIP)
91) A 65-year-old man sustains a 50% TBSA burn while burning trash in the backyard. The patient is resuscitated with lactated Ringer (LR) solution using the Parkland formula and a weight of 80 kg. What is the rate of LR given in the first 8 hours?
100 mL/h
500 mL/h
1000 mL/h
5000 mL/h
10,000 mL/h
92) A 67-year-old man presents to his primary care physician with a 1-cm skin lesion on his left forearm. On examination, it has a waxy appearance with rolled pearly borders surrounding a central ulcer. Which of the following is the most appropriate management of this patient?
Mohs surgery
Curettage of the lesion
Electrodesiccation of the lesion
Laser vaporization of the lesion
Surgical excision
93) A 39-year-old woman with a known history of von Willebrand disease has a ventral hernia after a previous cesarean section and desires to undergo elective repair. Which of the following should be administered preoperatively?
High-purity factor VIII: C concentrates
Low-molecular-weight dextran
Fresh-frozen plasma (FFP)
Cryoprecipitate
Whole blood
94) You are the physician on call for the extracorporeal membrane oxygenation (ECMO) service. There are 5 calls today, but only one machine and one technologist available. Which of the following patients is the most appropriate recipient of this service?
A 1-day-old, full-term, anencephalic 4-kg boy suffering from meconium aspiration syndrome and hypoxia
A neonate with a diagnosis of severe pulmonary hypoplasia who is in respiratory failure
A 75-year-old man with Alzheimer disease, severe pneumonia, and elevated pulmonary arterial pressure
A 5-year-old girl with rhabdomyosarcoma metastatic to the lungs
A 3-day-old boy preoperative for a congenital diaphragmatic hernia
95) A 45-year-old man shows up in the emergency department with a pale, pulseless, paresthetic, painful, and paralytic right lower extremity. The process began suddenly 2 hours ago. On examination, no pulses are apparent in the right lower extremity. Pulse at the wrist is 95/min and grossly irregular. Treatment would likely be based on which of the following?
Dacron prosthetic vascular conduits
Fogarty balloon tipped catheters
Heparin and dicumarol
Saphenous vein bypasses
Selective sympathetic blocks medical
96) A neonate does not pass any meconium during the first day of life. On day 2 he is brought for evaluation because of repeated green vomiting and progressive abdominal distention. X-ray films of the abdomen show multiple dilated loops of small bowel and no gas in the colon. A contrast enema shows a normally positioned microcolon, and the contrast material refluxes freely into the small bowel, filling some of the more distal distended loops. Exploratory laparotomy is done. There is no malrotation, the small bowel does not have any atretic or obstructed segments, and there is no inspissated meconium in it. Which of the following is most appropriate next step in management?
Diverting ileostomy
Diverting ileostomy and appendectomy
Transverse loop colostomy
Total colectomy
Total proctocolectomy and permanent ileostomy
97) A 62-year-old woman with a history of coronary artery disease presents with a pancreatic head tumor and undergoes a pancreaticoduodenectomy. Postoperatively, she develops a leak from the pancreaticojejunostomy anastomosis and becomes septic. A Swan-Ganz catheter is placed, which demonstrates an increased cardiac output and decreased systemic vascular resistance. She also develops acute renal failure and oliguria. Which of the following is an indication to start dopamine?
To increase splanchnic flow
To increase coronary flow
To decrease heart rate
To lower peripheral vascular resistance
To inhibit catecholamine release
98) A 49-year-old man who underwent liver transplantation 5 years ago for alcoholic cirrhosis presents with a gradually increasing bilirubin level. He undergoes a liver biopsy, which demonstrates a paucity of bile ducts. Which of the following is his best option for treatment?
Increase his immunosuppression
Exploratory laparotomy with hepatic arterial reconstruction
Administration of a monoclonal antibody against T cells
Exploratory laparotomy with thrombectomy of the portal vein
Retransplantation
99) An otherwise healthy 24-year-old man presents in the emergency department with very severe pain of recent onset in his right scrotum. The pain is constant and began about 3 hours prior to his arrival. Physical examination shows a temperature of 39.4C (103F) but is otherwise unremarkable, except for the scrotal area. The testis on the affected side is in the normal position; however, it appears to be swollen and is exquisitely tender to palpation. The cord above the testis is equally painful and tender. Urinalysis shows pyuria. Which of the following is the most appropriate next step in management?
Antiviral medication started within the hour
Scrotal sonogram and antibiotics
Cystoscopy and bladder irrigation
Trans-scrotal biopsy and appropriate resection
Emergency surgery and bilateral orchiopexy
100) A 25-year-old man is found on a pre-employment chest x-ray film to have a 3-cm peripheral coin lesion. The patient has never smoked, and a chest x-ray film that he had 2 years ago when he enrolled in graduate school had been normal. Prompted by this finding, he undergoes a more thorough physical examination, which discloses the presence of a firm, 2-cm testicular mass of which he was not previously aware. There are also palpable inguinal nodes on the same side. Which of the following is the most appropriate next step in management?
Supportive symptomatic palliative care
Bronchoscopy and biopsy of the lung mass
Trans-scrotal incisional biopsy of the testicular mass
Trans-scrotal orchiectomy and sampling of inguinal nodes
Radical orchiectomy by the inguinal route
101) A 25-year-old man is shot with a .22-caliber revolver. The entrance wound is in the anterior, lateral aspect of his thigh, and the bullet is seen on x-ray films to be embedded in the muscles posterolateral to the femur. The emergency department physician cleans the wound thoroughly. Which of the following is the most appropriate next step in management?
Tetanus prophylaxis
Doppler studies
Arteriogram
Surgical exploration of the femoral vessels
Surgical removal of the embedded bullet
102) A 25-year-old man presents with a painless, hard, 3-cm testicular mass that he discovered serendipitously while taking a shower. Physical examination confirms that the mass arises from the testicle itself, is not part of the epididymis, and is solid rather than a fluid collection. The rest of the physical examination is unremarkable. Which of the following would be the most appropriate next step?
Serum levels of alpha-fetoprotein and beta human chorionic gonadotropin
Trans-scrotal needle biopsy of the mass
Trans-scrotal incisional biopsy at the edge of the mass
Trans-scrotal orchiectomy
Radical inguinal orchiectomy
103) A 53-year-old woman sustains multiple injuries in a head-on automobile collision. She was driving the car and wearing a seat belt. At the moment of impact, she was held in place by the belt, but she hit the windshield with her face, the dashboard with her arms, and the steering wheel with her abdomen. Initial survey reveals closed fractures in both upper extremities, facial lacerations, and abdominal bruises. She is breathing well and is neurologically intact, but she is complaining of severe abdominal pain. Her blood pressure is 75/55 mm Hg, pulse is 110/min, and central venous pressure is zero. Physical examination of the abdomen shows tenderness, guarding, and rebound tenderness on all quadrants. There is no evidence of pelvic fracture. Which of the following would be the most appropriate study to evaluate her abdominal injuries?
Sonogram of the abdomen
Flat and upright x-ray films of the abdomen
CT scan of the abdomen
Diagnostic peritoneal lavage
Exploratory laparotomy
104) A 42-year-old man sustains a gunshot wound to the abdomen and is in shock. Multiple units of packed red blood cells are transfused in an effort to resuscitate him. He complains of numbness around his mouth and displays carpopedal spasm. An electrocardiogram demonstrates a prolonged QT interval. Which of the following is the most appropriate treatment?
Intravenous bicarbonate
Intravenous potassium
Intravenous calcium
Intravenous digoxin
Intravenous parathyroid hormone
105) A 39-year-old woman is involved in a head-on, highspeed automobile collision. She arrives at the emergency department in a deep coma, with bilaterally fixed dilated pupils. She has normal blood pressure and pulse rate. CT scan of the head shows diffuse blurring of the gray-white interface and multiple small punctate hemorrhages. There is no single large hematoma or displacement of the midline structures. Extension of the CT to include the neck shows no cervical spine fractures. Which of the following is the most appropriate initial step in management?
Improvement of cerebral perfusion by infusion of large amounts of TV fluids
Improvement of cerebral perfusion by the use of systemic vasodilators
Preservation of neurologic function by the use of hyperbaric oxygen
Surgical evacuation of the multiple punctate hemorrhages
Prevention of further damage due to development of increased intracranial pressure
106) An 82-year-old man develops severe abdominal distention, nausea, vomiting, and colicky abdominal pain. He has not passed any gas or stools for the past 12 hours. His vital signs are normal, and his pulse is regular. He has a distended, tympanitic abdomen, with hyperactive, highpitched bowel sounds. There are no signs of peritoneal irritation. Rectal examination is negative for masses or occult blood, and trie rectal vault is empty. Abdominal xray films show distended loops of small and large bowel, as well as a very large round gas shadow that is located in the right upper quadrant and tapers toward the left lower quadrant in the shape of a parrot's beak. The patient has never had any abdominal surgery, and he does not have any palpable hernias. Which of the following is the most appropriate next step in management?
Nasogastric suction, IV fluids, and observation
Repeated enemas and laxatives
Emergency celiac and mesenteric arteriogram
Proctosigmoidoscopy
Emergency exploratory laparotomy
107) A 42-year-old woman drops a hot iron on her lap while doing the laundry. She comes in with the shape of the iron clearly delineated on her upper thigh. The area is white, dry, leathery, and anesthetic. Which of the following is the most appropriate next step in management?
Application of mafenide acetate
Use of triple antibiotic ointment
Application of silver sulfadiazine
Repeated debridement and wet to dry dressings
Immediate excision and grafting
108) A 73-year-old woman with a long history of heavy smoking undergoes femoral artery-popliteal artery bypass for rest pain in her left leg. Because of serious underlying respiratory insufficiency, she continues to require ventilatory support for 4 days after her operation. As soon as her endotracheal tube is removed, she begins complaining of vague upper abdominal pain. She has daily fever spikes of 39°C (102.2°F) and a leukocyte count of 18,000/mL. An upper abdominal ultrasonogram reveals a dilated gallbladder, but no stones are seen. A presumptive diagnosis of acalculous cholecystitis is made. Which of the following is the next best step in her treatment?
Nasogastric suction and broad-spectrum antibiotics
Immediate cholecystectomy with operative cholangiogram
Percutaneous drainage of the gallbladder
Endoscopic retrograde cholangiopancreatography (ERCP) to visualize and drain the common bile duct
Provocation of cholecystokinin release by cautious feeding of the patient
109) A 29-year-old woman presents with a 6-month history of erythema and edema of the right breast with palpable axillary lymphadenopathy. A punch biopsy of the skin reveals neoplastic cells in the dermal lymphatics. Which of the following is the best next step in her management?
A course of nafcillin to treat the overlying cellulitis and then neoadjuvant chemotherapy for breast cancer
Modified radical mastectomy followed by adjuvant chemotherapy
Modified radical mastectomy followed by hormonal therapy
Combined modality chemotherapy and radiation therapy to the right breast with surgery reserved for residual disease
Combined modality therapy with chemotherapy, surgery, and radiation
110) A 35-year-old woman presents with a lump in the left breast. Her family history is negative for breast cancer. On examination the mass is rubbery, mobile, and nontender to palpation. There are no overlying skin changes and the axilla is negative for lymphadenopathy. An ultrasound demonstrates a simple 1-cm cyst in the area of the palpable mass in the left breast. Which of the following represents the most appropriate management of this patient?
Reassurance and re-examination
Immediate excisional biopsy
Aspiration of the cyst with cytologic analysis
Fluoroscopically guided needle localization biopsy
Mammography and reevaluation of options with new information
111) A 55-year-old woman presents with a slow-growing painless mass on the right side of the neck. A fine-needle aspiration of the nodule shows a well-differentiated papillary carcinoma. A complete neck ultrasound demonstrates a 1-cm nodule in the right thyroid without masses in the contralateral lobe or lymph node metastasis in the central and lateral neck compartments. With regards to this patient, which of the following is associated with a poor prognosis?
Age
Sex
Grade of tumor
Size of tumor
Lymph node status
112) Following significant head trauma, a 34-year-old woman undergoes a CT scan that demonstrates bilateral frontal lobe contusions of the brain. There is no midline shift. She has a GCS of 14. Which of the following is the best initial management of this patient?
Observation alone
Observation and administration of anticonvulsive medication for 1 week
Administration of 25 g of mannitol
Placement of an intracranial pressure monitor
Intubation and hyperventilation
113) A 50-year-old man is admitted to the hospital with a UGI bleed from acute erosive gastritis, secondary to chronic nonsteroidal anti-inflammatory use. His hematocrit is 28%. With fluid resuscitation, his blood pressure normalizes, but he has a persistent hyperdynamic precordium, tachycardia, and flow murmur on auscultation. He complains of shortness of breath on ambulation. An ECG shows depressed ST-T segments. Which of the following is the next appropriate step in management?
Initiation of iron supplementation therapy
Supplemental oxygen
Continued IV fluid resuscitation
Initiation of a calcium channel blocker
Blood transfusion
{"name":"Part 5 episode 4", "url":"https://www.quiz-maker.com/QPREVIEW","txt":"125) A 2-week-old infant presents with sudden onset of bilious emesis. Plain films of the abdomen show evidence of an intestinal obstruction. An upper gastrointestinal (UGI) contrast series reveals a midgut volvulus with the site of obstruction at the third portion of the duodenum. Which of the following is the most likely diagnosis?","img":"https://www.quiz-maker.com/3012/images/ogquiz.png"}
More Quizzes
Part 1 QCM
175880
Scope of Practice
420
How well do you know the Saints?
1780
บบทดสอบ 11 ความรู้เกี่ยวกับประมวลรัษฎากร
1050
Past Simple Verb - Fill in the Blanks (Free)
201022031
Full House Trivia Questions - Beginner (Free)
201022738
The Waltons: Test Your TV Family Knowledge
201022448
What Weapon Am I - Discover Your Combat Match
201021011
Harry Potter and the Sorcerer's Stone
201025069
Mellow Mushroom - Test Your Pizza Chain Knowledge
201024883
Classic Film Pictionary - Free for Movie Buffs
201028107
Entrepreneurship Exam Practice - Free Final Review
201018401