ECN 2
Une patiente de 68 ans sans antécédent particulier commence une chimiothérapie à base de sel de platine pour un cancer du sein triple négatif avec envahissement ganglionnaire et osseux diffus. En post cure, vous avez prescrit du G-CSF, comme indiqué dans le protocole. Quinze jours après la première cure de chimiothérapie, elle présente une neutropénie fébrile à 450/mm3 sans aucun signe de gravité résolutive en moins de 48 heures. Quelle prise en charge est la plus appropriée pour les prochaine cures ?
Augmentation de la durée de prescription des G-CSF jours en post-cure
Diminution des doses de chimiothérapie et poursuite des G-CSF
Poursuite de la chimiothérapie et des G-CSF selon les même modalités
Contre indication définitive à ce type de chimiothérapie
Mise en place d'une antibioprophylaxie par quinolone à la prochaine cure
Vous recevez aux urgences une patiente de 49 ans, suivie pour un cancer du sein. Elle a bénéficié il y a 8 jours de sa 2e cure de chimiothérapie adjuvante par DOCETAXEL. Elle se présente pour une hyperthermie à 39.5°C avec des diarrhées à raison de 5 par jour, associé à des nausées. Elle n’a pas d’autre antécédent. A l’examen clinique, la tension artérielle à 90/50 mmHg, sa fréquence cardiaque à 100/min, sa fréquence respiratoire à 22/min et la saturation à 90% en air ambiant. Elle n’a pas de marbrures. Ella a soif et présente un pli cutané. Le laboratoire vient de vous appeler pour vous prévenir que les leucocytes sont à 0.4 G/L, les plaquettes à 45 G/L et l’hémoglobine à 75 g/L. Quel est le traitement que vous mettez en place en priorité ?
Transfusion de culots globulaire
Antibiothérapie
Oxygénothérapie
Facteurs de croissance hématopoïétique ( G-CSF)
Perfusion de Glucosé 5%
Vous revoyez en consultation un patient de 70 ans pour sa 1ere cure de chimiothérapie par CARBOPLATINE et ETOPOSIDE pour un cancer du poumon métastatique au niveau hépatique. Le diagnostic a été fait par biopsie hépatique. Il est suivi pour une hypertension sous atenolol. A l’examen clinique, la tension artérielle est à 135/80 mmHg avec une fréquence cardiaque à 80/min. Quel facteur de risque expose le plus à un risque d’aplasie fébrile ?
L’hypertension
L’âge
L’atenolol
La chimiothérapie par CARBOPLATINE
La biopsie hépatique
Un patient de 65 ans est hospitalisé dans votre service pour neutropénie fébrile après son 2e cycle de chimiothérapie pour un cancer du poumon. A l’examen clinique, la température est à 38°C, la tension artérielle est à 115/70 mmHg avec une fréquence cardiaque à 80/min. Le laboratoire vous appelle pour vous informer que les hémocultures périphériques sont positives en 12 H avec des Cocci gram positifs en amas. Quel germe suspectez-vous en priorité ?
Staphylocoque
Pneumocoque
Méningocoque
Entérocoque
Gonocoque
Vous revoyez en urgences un patient de 70 ans en neutropénie fébrile après son 2e cycle de chimiothérapie pour un cancer du poumon. Il consulte pour hyperthermie à 39.5°C, isolée sans autre point appel clinique. A l’examen clinique, la tension artérielle est à 85/60 mmHg avec une fréquence cardiaque à 90/min. Le reste de l’examen clinique retrouve des marbrures sans autre anomalie. Le patient n’est pas porteur de voie centrale. Sa radiographie pulmonaire retrouve la lésion pulmonaire tumorale lobaire supérieure droite inchangée sans autre signe. Le bilan biologique retrouve des leucocytes à 0.3 G/L, des plaquettes à 50 G/l, une hémoglobine à 78 g/L et une créatinine à 70 μmol/L. Quelle antibiothérapie probabiliste est la plus appropriée ?
Une β-lactamine active contre le pseudomonas aeruginosa type Piperacilline Tazobactam
Une pénicilline M active contre le staphylocoque type Oxacilline
Une quinolone active contre le pneumocoque type Levofloxacine
Un aminoside actif contre Escherichia coli type Gentamicine
Un glycopeptide actif contre le SARM type Vancomycine
Vous revoyez en consultation une patiente de 56 ans, pour le traitement de son cancer du col de l’utérus. A l’examen clinique, l’état général est bon avec un score OMS à 1. La tension artérielle est à 125/80 mmHg avec une fréquence cardiaque à 80/min. Le toucher vaginal est anormal avec un col macroscopiquement anormal. Il s’agit d’un stade IB2 selon la classification de FIGO. Quel traitement est le plus adapté ?
Une conisation
Une colpo-hystérectomie totale non conservatrice
Une curiethérapie exclusive
Une radiochimiothérapie pelvienne à base de sel de platine
Une colpo-hysterectomie totale suivie d'une radio-chimiothérapie
Vous revoyez en consultation une patiente de 50 ans, en cours de bilan pour un cancer du col de l’utérus avec l’ensemble des résultats des examens complémentaires. A L’examen clinique, l’état général est bon avec un score OMS à 1, le toucher vaginal est anormal avec un col macroscopiquement anormal. Le scanner retrouve une lésion l de plus de 4 cm envahissant le 1/3 inférieur du vagin sans atteinte des parois pelviennes. Selon la classification FIGO (Fédération Internationale de Gynécologie et d’Obstétrique), quel est le stade de ce cancer du col ?
Stade IIIA
Stade IIA2
Stade IIB
Stade IIIB
Stade IVA
Vous voyez en consultation une patiente de 19 ans, elle vient pour le renouvellement de son traitement contraceptif. Son examen clinique est normal. Quel âge est le plus adapté pour débuter un dépistage du cancer du col ? @NO RANDOM@
25 ans
30 ans
40 ans
35 ans
20 ans
Vous voyez aux urgences, une patiente de 45 ans, pour métrorragies importantes. L’examen clinique retrouve une tension à 120/80 mmHg et une fréquence à 80/min. Le toucher vaginal est anormal avec un col macroscopiquement anormal. Vous suspectez un cancer du col de l’utérus, quel examen serait le plus approprié pour faire le diagnostic histologique de cette lesion ?
Colposcopie
Frottis cervico vaginal
Conisation
Biopsie à la pipelle de cornier
Endoscopie
Vous voyez en consultation de dépistage du cancer du col de l’utérus une patiente de 38 ans. Elle a déjà eu 2 grossesses avec un garçon âgé de 8 ans et une fille âgée de 5 ans. Elle n’a pas de symptomatologie clinique particulière. A l’examen clinique le toucher vaginal est normal. Parmi les propositions suivantes, quel résultat du frottis cervical vous semble le plus probable ?
Infection à HPV
Lésion de type carcinome épithélial
Lésion de type adénocarcinome
Lésion de type neuroendocrine
Infection à VIH
Infection à gonocoque
Vous voyez en consultation d’oncologie un patient de 70 ans pour le bilan étiologique d’une lésion hépatique unique. Il s’agit d’un patient aux antécédents de cirrhose. A l’examen clinique tension artérielle à 110/75 mmHg, fréquence cardiaque à 65 /min. A la palpation abdominale, vous retrouvez une hépatomégalie à 3 travers de doigts. Vous réalisez un dosage de marqueurs tumoraux complémentaires. Quel marqueur tumoral sera le plus probablement augmenté ?
AFP
CA 15-3
NSE
Béta HCG
PSA
Vous suivez une patiente de 55 ans pour une tumeur kystique bénigne hépatique. Son examen clinique à la consultation retrouve une tension à 135/80 mmHg, une fréquence cardiaque à 75/min. Quelle lésion est le plus à risque de se compliquer en carcinome hépatocellulaire ?
Cystadénome
Kyste biliaire
Ambiome biliaire
Hémangio-endothéliome-épithéloïde
Angiosarcome
Vous voyez en consultation d’oncologie un patient de 65 ans avec les résultats de la biopsie d’une lésion hépatique unique. Il s’agit d’un patient aux antécédents de cirrhose. A l’examen clinique tension artérielle à 115/75 mmHg, une fréquence cardiaque à 80 /min, hépatomégalie à 2 travers de doigts. La biopsie est en faveur d’un adénocarcinome. Quel est le diagnostic le plus probable ?
Carcinome Hepatocellulaire
Cholangiocarcinome
Adénome Hépatocellulaire
Kyste hydatique
Hémangiome
Vous prenez en charge aux urgences une patiente de 65 ans pour ictère et hyperthermie à 38.5°C. La patiente est suivie dans votre hôpital en oncologie pour un cholangiocarcinome métastatique hépatique et ganglionnaire (hile hépatique). A l’examen clinique, on retrouve un ictère cutanéo-muqueux. La tension artérielle est à 100/70 mmHg, avec une fréquence cardiaque à 95/min. Le bilan biologique fait en urgence retrouve en particulier : leucocytes à 12 G/L, bilirubine totale à 70 μmol/L. L’échographie abdominale confirme la dilatation des voies biliaires intra-hépatiques droites. Quel traitement est le plus approprié ?
Antibiothérapie probabiliste et prothèse biliaire par voie endoscopique
Antibiothérapie probabiliste sans prothèse biliaire
Antibiothérapie probabiliste et drainage des voies biliaires par voie percutanée
Antibiothérapie probabiliste et cholécystectomie à distance
Antibiothérapie probabiliste et cholécystectomie en semi-urgence
Vous revoyez en consultation d’oncologie un patient de 60 ans avec les résultats de ses examens complémentaires. Il n’a pas de comorbidités. A l’examen clinique, son état général est bon avec un score OMS à 1. Son poids est à 60 kg stable. Sa tension artérielle est à 135/85 mmHg et sa fréquence cardiaque à 80/min. Vous lui annoncez que la biopsie a confirmé le diagnostic de cholangiocarcinome et qu’au scanner on retrouve une métastase hépatique unique et des adénopathies secondaires du hile hépatique. Quelle proposition thérapeutique lui faites-vous ?
Chimiothérapie
Résection chirurgicale
Greffe hépatique
Radiothérapie
Cryothérapie

Vous prenez en charge un patient de 61 ans présentant une dengue hémorragique avec epistaxis. Ses constantes sont les suivantes : PA 110/60 mmHg, pouls 95/min, T° 38,6° Sp02 91 %. Il existe une thrombopénie modérée à 87 000/mm3 sur la formule sanguine. Vous demandez une radiographie pulmonaire devant la légère désaturation associé à une polypnée à 28/min. Quel est le diagnostic le plus probable ? @ICONO@
Epanchement pleural
Oedème lésionnel
Pneumopathie bactérienne
Hémorragie intra alvéolaire
Oedème cardiogénique
Vous recevez un patient de 34 ans, sans antécédent, présentant une dengue avec des épistaxis et gingivorragies spontanés, une tension artérielle à 80/60, une fréquence cardiaque à 120/min, un score de Glasgow à 15, une augmentation de son hématocrite de 24% par rapport aux chiffres habituels et une thrombopénie à 34 000/mm3. Quel est le diagnostic le plus probable ? (@NO-RANDOM@)
Dengue hémorragique grade 3
Dengue simple
Dengue hémorragique grade 1
Dengue hémorragique grade 2
Dengue hémorragique grade 4
Vous venez de diagnostiquer une dengue chez un patient de 20 ans. Il ne présente pas de vomissement. Ses constantes sont les suivantes: PA 120/80mmHg, pouls 90/min, T° 38,6°. Son bilan biologique retrouve : hémoglobine 12 g/dL, plaquettes 31 000 /mm3, créatinine 122 μmol/L. Quelle est la meilleure prise en charge de la dengue dans ce cas précis ?
Réhydratation orale seule et surveillance
Réhydratation parentérale seule et surveillance
Réhydratation parentérale et transfusion plaquettaire
Réhydratation parentérale et ribavirine per os
Réhydratation orale et ribavirine per os
Vous travaillez comme épidémiologiste à l’Institut Pasteur. Un stagiaire vous interroge sur le virus de la dengue. Quelle est la meilleure description de ce virus et son mode de transmission ? (@NO-RANDOM@)
Un virus à ARN transmis par un moustique du genre Aedes
Un virus à ADN transmis par un moustique du genre Culex
Un virus à ADN transmis par un moustique du genre Aedes
Un virus à ARN transmis par un moustique du genre Anopheles
Un virus à ARN transmis par un moustique du genre Culex
Un patient âgé de 39 ans consulte à votre cabinet pour une fièvre élevée à 39°C associée à un syndrome pseudogrippal depuis 48 heures. Le frottis sanguin est négatif. Ses constantes sont relativement conservées : PA 105/65 mmHg, pouls 100/min, T° 38,9°. Quel signe clinique est le meilleur signe d’alerte d’une dengue hémorragique et d'un syndrome de choc lié à la dengue ?
Hépatomégalie
Splénomégalie
Epistaxis
Céphalée rétro-orbitaire
Diarrhée
Vous prenez en charge aux urgences pédiatriques un garçon de 4 ans présentant une crise convulsive généralisée. Vous administrez du diazepam (0,5 mg/kg), puis une deuxième injection devant l’absence de réponse au traitement. Vous injectez ensuite du Clonazepam (0,02 mg/kg) car l’enfant convulse toujours. Malheureusement, ce traitement est inefficace. Quelle est la meilleure prise en charge médicamenteuse de cet état de mal épileptique ?
De la phénytoïne à 15 mg/kg
Du phénobarbital à 200 mg/kg
Du thiopental à 5 mg/kg
De la phénytoïne à 150 mg/kg
Du propofol à 3 mg/kg

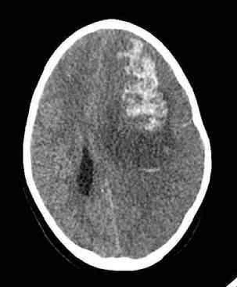
Vous faites réaliser un scanner cérébral non injecté, ci-joint, à un enfant de 6 ans suivi pour une aplasie médullaire idiopathique profonde évoluant depuis 3 mois (GB < 0,5 G/L, plaquettes < 20 G/L) et qui vient tout juste d'être admis en réanimation pédiatrique pour état de mal épileptique. Quel est le diagnostic le plus probable ?
Une hémorragie intracérébrale
Un accident vasculaire cérébral
Une tumeur intracranienne
Un abcès intracranien
Une méningoencéphalite
Vous recevez aux urgences une patiente de 28 ans, fumeuse sous contraception oestro-progestative, qui vient de présenter une crise convulsive partielle. Elle rapporte des céphalées d'intensité croissante depuis 7 jours. L'examen neurologique est négatif, le scanner cérébral non injecté est normal. Quel est le diagnostic le plus probable ?
Thrombophlébite cérébrale
Première poussée de sclérose en plaques
Syndrome de Guillain-Barré
Accident vasculaire cérébral ischémique
Premier épisode d’épilepsie
Un nourrisson de 6 mois est amené par ses parents aux urgences car il a « présenté des mouvements désordonnés dans tous les sens puis il est devenu tout mou ». A l’examen, l’enfant présente une toux grasse et une rhinorrhée purulente. Ses paramètres vitaux sont les suivants : PA 85/50 mmHg, pouls 110/min, T° 39,4°. Parmi les critères suivants, lequel vous fera le plus suspecter une crise convulsive dite complexe de l'enfant ?
Crise partielle d’un hémicorps
Absence de signe de focalisation
Durée inférieure à cinq minutes
Absence de déficit post-critique
Age supérieur à un an
Vous examinez à votre cabinet un enfant de 3 ans, amené par ses parents car présentant des vomissements et une diarrhée aqueuse depuis 48 heures. A l’examen, l’enfant n’est pas asthénique et ne présente pas de signe de déshydratation majeure. Ses constantes sont les suivantes : PA 85/40mmHg, pouls 100/min, T°37,1°. Quelle prise en charge est la plus adaptée?
Réhydratation par soluté de réhydratation orale (SRO) en quantité illimitée en ambulatoire
Hospitalisation en urgence pour réhydratation parentérale par serum glucosé 5%
Hospitalisation en urgence pour réhydratation et réalisation d’une échographie abdominale
Réhydratation par boisson sucrée et mise sous amoxicilline-acide clavulanique en ambulatoire
Hospitalisation en urgence pour réhydratation parentérale+ antibiothérapie par ceftriaxone
Dans le cadre de vomissements très importants, secondaires à une intoxication alimentaire chez un garçon de 8 ans, vous faites réaliser un ionogramme sanguin retrouvant : Na+ 140 mmol/L ; K+ 2 mmol/L ; HCO3- 15 mmol/L ; protidémie 85 g/L ; créatinine 60 μmol/L ; urée 8 mmol/L. Quel signe de gravité le plus probable recherchez-vous sur l'électrocardiogramme (ECG) que vous réalisez en urgence ?
Torsade de pointe
Raccourcissement du segment QT
Aplatissement des ondes T
Bloc de branche droit
Sus-décalage du segment ST

Aux urgences, vous examinez une jeune fille de 14 ans se plaignant de douleurs abdominales continues avec vomissements depuis 3 jours. Cette jeune patiente, myopathe, a subi la pose d’une gastrostomie il y a 7 jours en raison de fausses routes répétées. La palpation abdominale retrouve une défense généralisée. Vous faites réaliser un cliché radiologique, ci-joint. Quel est le diagnostic le plus probable ?
Un pneumopéritoine bilatéral
Un syndrome alvéolaire à droite
Une péritonite généralisée
Un syndrome bronchique à gauche
Un syndrome occlusif grêlique
Des parents se présentent à votre consultation pour examiner leur enfant de 6 ans, qui présente des vomissements aigus depuis quelques heures. A l’examen, l’enfant est couché sur le côté, jambes repliées, et refuse qu’on lui touche le ventre. Ses constantes sont les suivantes : T° 38,6°, pouls 125/min, PA 90/40 mmHg. A l’interrogatoire, quels signes vous orienteraient le plus vers un syndrome occlusif ?
Vomissements bilieux et arrêt des matières et des gaz
Douleur abdominale paroxystique et rectorragies
Diarrhée et constipation en alternance fréquente
Vomissements alimentaires et diarrhée abondante
Douleur péri-ombilicale et constipation opiniâtre
Un nourrisson de 2 mois est amené par ses parents aux urgences pour des vomissements post-prandiaux évoluant depuis quelques jours. L’enfant commence à montrer des signes de déshydratation avec une hypotonie et un pli cutané. Ses constantes sont les suivantes : Pouls 160/min, PA 75/35 mmHg, T° 36,6°. Quel élément de l’interrogatoire vous orienterait le plus vers une sténose du pylore ?
La notion d'intervalle libre sans vomissements depuis la naissance
Une modification progressive de l’aspect des selles
Des vomissements d’aspect bilieux à distance des repas
Des pleurs et un refus au moment des biberons
La perte d’appétit progressive en quelques semaines
Vous examinez aux urgences une patiente de 15 ans, qui consulte pour douleur abdominale aiguë. Celle-ci est une diabétique connue, sous insulinothérapie. A l’examen, son abdomen est sensible ; ses constantes sont les suivantes : PA 90/50, pouls 130/min, T° 36,8. La bandelette urinaire retrouve une glycosurie à 4 croix et une cétonurie à 4 croix. En dehors de la gazométrie, quel est l’examen le plus approprié pour évaluer la gravité biologique de la situation ?
Ionogramme sanguin
Enzymes musculaires
Numération de formule
Facteurs de coagulation
Enzymes hépatiques
Vous venez de diagnostiquer une appendicite aiguë chez un enfant de 5 ans. L’examen clinique est normal en dehors d’une sensibilité en fosse iliaque droite. Les constantes sont sans particularité en dehors d’une fièvre à 38,5°. Quelle est la prise en charge la plus appropriée ?
Intervention chirurgicale associée à une antibiothérapie selon les constations per opératoires
Antibiothérapie associée à la mise en place d’une sonde naso gastrique en aspiration
Intervention chirurgicale suivie d’une reprise chirurgicale impérative dans les 5 jours
Surveillance armée pendant 48 heures et réalisation d’un scanner si aggravation
Antibiothérapie associée à une analgésie par anti inflammatoires non stéroidiens
Vous suivez un enfant de 2 ans présentant des douleurs abdominales récentes (< 48 heures), avec fièvre, sans anomalie à la palpation (hormis une sensibilité diffuse) pour lesquelles une échographie abdominale a déjà été effectuée, normale. Quel examen complémentaire est le plus approprié pour avancer dans le diagnostic étiologique ?
Bandelette urinaire
Abdomen sans préparation
Scanner abdominal
Lipasémie
Radiographie thoracique
Vous examinez un enfant de 5 ans, présentant un tableau d'invagination intestinale aigu récidivante, dans un contexte d'altération de l'état général majeur. A l’examen, l’enfant est très asthénique. Ses paramètres vitaux son normaux pour l’âge. L'échographie abdominale montre la présence d'une masse ganglionnaire importante autour du boudin d'invagination. Quel est le diagnostic le plus probable ?
Lymphome de Burkitt
Leucémie lymphoïde chronique
Amibiase intestinale
Diverticulite de Meckel
Adénolymphite mésentérique
Vous examinez un jeune enfant de 8 ans aux urgences, amené par ses parents pour des douleurs abdominales croissantes depuis quelques heures. L’enfant est couché sur le côté, hypotonique. Ses constantes sont les suivantes : T° 38,8, PA 75/40 mmHg, pouls 140/min. Quel signe clinique vous orienterait le plus vers une prise en charge chirurgicale en urgence, avant réalisation de tout examen complémentaire ?
Une contracture généralisée à tout l’abdomen
Une fièvre supérieure à 40° avec frissons
Une diminution des bruits hydro aériques
Une sensibilité à la palpation abdominale
Un tympanisme à la percussion abdominale
Vous revoyez en consultation de suivi post opératoire, un patient de 65 ans opéré il y a 4 mois d’une hernie inguinale gauche. A l’examen clinique, tension artérielle à 125/80 mmHg, , fréquence cardiaque à 60/Min. Quelle complication post opératoire tardive est la plus probable par argument de fréquence ?
Douleur résiduelle
Infection chronique
Hydrocèle
Hématome
Atrophie testiculaire
Vous voyez en consultation de chirurgie, un patient de 70 ans adressé pour hernie crurale droite. Il est suivi pour un diabète non insulino dépendant. A l’examen clinique, la tension artérielle est à 130/90 mmHg, et la fréquence cardiaque à 75/min. A la palpation, la hernie est indolore, souple et réductible. Quelle est la prochaine étape de votre prise en charge?
Surveillance clinique simple
Scanner abdomino-pelvien
Echographie des orifices herniaires
Radiographie standard de l’abdomen sans préparation
Coloscopie
Vous voyez aux urgences chirurgicales, un homme de 52 ans adressé pour hernie ombilicale. Il est suivi pour un artériopathie sous Kardegic 75 mg/jour. A l’examen clinique, tension artérielle à 140/90 mmHg, fréquence cardiaque à 85/min. A la palpation, la hernie est douloureuse, tendue et irréductible. Quelle est la prise en charge la plus approprié?
Intervention chirurgicale d’emblée
Confirmation diagnostique par imagerie
Lavement baryté
Hospitalisation et surveillance rapprochée
Port d'une ceinture de contention abdominale
Vous voyez en consultation de chirurgie, un homme de 55 ans adressé pour hernie inguinale. Il n’a pas d’antécédent particulier. A l’examen clinique, sa tension artérielle est à 120/90 mmHg, fréquence cardiaque à 65/min. Pour palper la hernie, dans quelle position devez-vous idéalement examiner le patient ?
Debout
Genu-pectorale
Décubitus latéral
Décubitus dorsal
Assis

Vous voyez en consultation de chirurgie, un homme de 50 ans adressé pour hernie inguinale. Il n’a pas d’antécédent particulier. A l’examen clinique, tension artérielle à 130/90 mmHg, fréquence cardiaque à 75/min. Sur ce schéma de la paroi abdominale (vue antérieure – d’après Netter), quelle entité anatomique est le lieu des hernies inguinales directes ?
Fascia transversalis
Arcade crurale
Gaine des vaisseaux épigastriques inférieurs
Canal péritonéo-vaginal
Cordon spermatique
Aux urgences, vous examinez un jeune patient de 22 ans, se plaignant d’une diarrhée à 5 selles aqueuses par jour depuis 48 heures. L’examen physique ne retrouve pas de signe de déshydratation sévère. Les constantes sont les suivantes : PA 125/65 mmHg, pouls 85/min, T° 38,2°. Quel meilleur examen mettra en évidence le pathogène du choléra ?
Une coproculture
Une sérologie
Une hémoculture
Un examen parasitologique des selles
Une antigénurie
Un patient consulte à votre cabinet pour des diarrhées glairo sanglantes évoluant depuis 24 heures. A l’interrogatoire, vous retrouvez l’ingestion de volaille il y a 48 heures. L’examen physique ne retrouve pas de signe de déshydratation. Les paramètres vitaux sont conservés. Lequel de ces micro-organismes est-il le plus probablement en cause ?
Salmonella enterica
Escherichia coli
Giardia intestinalis
Staphylococcus aureus
Vibrio Cholerae
Aux urgences, vous examinez un enfant de 4 ans, amené par ses parents car il présente des diarrhées abondantes depuis 48 heures. Ses constantes sont les suivantes : PA 70/40 mmHg, pouls 115/min, T° 37,8°. A l'examen clinique, quel est le meilleur signe d’une extrême gravité de la déshydratation ?
La confusion
Les yeux creux
La soif
L’irritabilité
Le pli cutané
Aux urgences, vous examinez une femme âgée de 41 ans. Celle-ci est victime d’une diarrhée aiguë depuis 72 heures. Elle présente des signes de déshydratation sévère avec un pli cutané, des yeux enfoncés dans les orbites. Ses constantes sont les suivantes : PA 85/50 mmHg, pouls 115/min, T° 37,8°. Quelle est la prise en charge la plus adaptée dans les premières heures ?
100 ml/kg de serum salé isotonique intra veineux
2 à 4 l de soluté de réhydratation par voie orale
100 ml/kg de glucosé 5% (G5%) intra-veineux
2 à 4 l d'eau associés à des oligoéléments par voie orale
2 litres de G5% associés à de la vitamine B1 intraveineuse
2 litres de G10% associés à de la vitamine B1 intraveineuse
Aux urgences, vous examinez un patient âgé de 75 ans, présentant une diarrhée aqueuse très abondante depuis 48 heures. L’examen des selles ne révèle pas de trace glairo sanglante. A l’examen physique, vous remarquez un pli cutané, la langue est rôtie. Les constantes sont les suivantes : PA 80/40 mmHg, pouls 125/min, T° 38,2°. Quel est le meilleur traitement antibiotique à mettre en place ?
Doxycycline 200 mg x 1 / jour
Metronidazole 500 mg x 3 / jour
Amoxicilline 1 g x 3 / jour
Ciprofloxacine 400 mg x 2 / jour
Ceftriaxone 1 g x 1 / jour
Vous prenez en charge un patient âgé de 65 ans pour des vomissements, avec une douleur abdominale intense, diffuse. L'abdomen est souple à la palpation. La biologie retrouve nottament : Na+= 131mmo/l, K+ = 6,2 mmol/l, HCO3- = 23mmol/l, CL- = 110mmol/l. Quel est le diagnostic le plus probable ?
Une insuffisance surrénale aiguë
Une hyperparathyroïdie
Une gastro-entérite
Une acidocétose diabétique
Une pancréatite aiguë
Aux urgences, vous examinez une patiente âgée de 38 ans qui consulte pour douleur abdominale intense. A l’examen physique, vous constatez une contracture abdominale. Ses constantes sont les suivantes : pouls 130/min, PA 80/45 mmHg, T° 37,6°. Quelle est la meilleure attitude thérapeutique à adopter en urgence chez cette patiente ?
Une intervention chirurgicale
Un traitement antibiotique à large spectre
Une sonde nasogastrique en aspiration
Une fibroscopie oesogastro-duodénale
Un traitement antalgique de palier 3
Vous accueillez aux urgences un patient âgé de 22 ans. Celui-ci se plaint de douleurs abdominales aiguës depuis 3 heures. Il n’a pas d’antécédents particuliers. A l’examen physique, il existe une défense en fosse iliaque gauche. Ses constantes sont les suivantes PA 140/80, FC 125 min T° 38°. Vous lui administrez du tramadol par voie intraveineuse mais celui-ci ne fonctionne pas. Quel est le meilleur traitement à administrer devant cette douleur persistante?
De la morphine
De la codéine
Du paracétamol
Du kétoprofène
De l’hydrocortisone
Un patient âgé de 32 ans consulte aux urgences de l’hôpital pour des douleurs abdominales violentes depuis quelques heures. Il n’a pas d’antécédents particuliers. A l’examen, il semble prostré par la douleur. Son abdomen est très tendu avec une défense généralisée. Ses constantes sont les suivantes : PA 100/85, pouls 130/min, T° 38,8. Devant une douleur abdominale avec syndrome péritonéal quel est le meilleur examen à faire réaliser ?
Un scanner abdominal
Une échographie abdominale
Un abdomen sans préparation
Une coelioscopie exploratrice
Une coloscopie courte
Une patiente âgée de 40 ans consulte à votre cabinet pour des douleurs abdominales évoluant par crise depuis quelques jours. Elle n’a pas d’antécédents en dehors d’un surpoids important. Les paramètres vitaux sont normaux. Quelle est l’origine la plus probable devant une douleur épigastrique avec irradiation à la pointe de l’omoplate droite ?
Une origine hépatobiliaire
Une origine pancréatique
Une origine colique
Une origine urologique
Une origine cardiaque
Vous revoyez en consultation une patiente âgée de 43 ans, une semaine après la réalisation d’une fibroscopie gastrique. A cette occasion vous aviez diagnostiqué un ulcère du bulbe. Les biopsies sont positives pour l’infection à helicobacter pylori. Quel est le meilleur traitement à mettre en place pour l’éradication de cette bactérie en première ligne thérapeutique ?
Amoxicilline, clarithromycine, métronidazole, oméprazole
Amoxicilline, clarithromycine, métronidazole, antiH2
Doxycycline, azythromycine, sel de Bismuth, oméprazole
Amoxicilline, levofloxacine, azythromycine, antiH2
Sels de Bismuth, doxycycline, métronidazole, oméprazole
Un homme de 48 ans consulte aux urgences pour des vomissements de sang rouge de faible abondance depuis 2 jours. A l’examen physique, vous retrouvez un abdomen ballonné, une circulation veineuse collatérale et une gynécomastie. Ses constantes sont les suivantes : PA 105/60 mmHg, pouls 70/min, T° 36,9°. Vous décidez de réaliser une endoscopie. Quel situation CONTRE INDIQUERAIT le plus la réalisation de cet exame ?
Une perforation gastrique
Une instabilité hémodynamique
Un trouble de l’hémostase
Une altération de la conscience
Une dysphagie haute
Un homme de 55 ans consulte aux urgences pour hématémèse ayant débuté il y a quelques heures. A l’interrogatoire, il a vomi trois verres de sang. A l’examen physique, le patient est pâle et asthénique. Ses constantes sont les suivantes : PA 80/50 mmHg, pouls 125/min, T° 36,7, SPO2 97%. Quel signe clinique est le plus spécifique d’un état de choc ?
Les marbrures
La pâleur conjonctivale
La confusion
Les sueurs
La tachycardie
Un homme de 43 ans vient consulter à votre cabinet pour des douleurs abdominales évoluant depuis plusieurs semaines. Il n’a pas d’antécédent particulier en dehors d’un tabagisme actif. Ses constantes sont les suivantes : PA 125/65 mmHg, pouls 75/min, T° 36,4°. A l’interrogatoire, quelle description de la douleur est-elle la plus typique du diagnostic d’ulcère gastroduodénal ?
Douleur épigastrique, sans irradiation, calmée par la prise alimentaire
Douleur épigastrique en barre, avec irradiation dorsale, calmée par l’ante-flexion
Douleur hypogastrique, avec nausée, calmée par l’émission de gaz
Douleur hypogastrique, avec vomissement, calmée par la prise d’antiacide
Douleur abdominale, intense, non rythmée par les repas
Vous réalisez une gastroscopie chez un patient de 50 ans, fumeur, qui présente une douleur ulcéreuse typique depuis plusieurs semaines. Son examen physique et ses constantes sont sans particularité. Vous diagnostiquez une gastrite durant l’examen et expliquez au patient que les gastrites atrophiantes exposent au risque évolutif d’adénocarcinome, en l’absence de traitement et de suivi. Quelle est l’étiologie la plus fréquemment retrouvée dans ce type de gastrite?
Gastrite à helicobacter pylori
Gastrite auto-immune
Gastrite de Ménétrier
Gastrite lymphocytaire
Gastrite à éosinophile
Aux urgences, un patient de 45 ans consulte pour une asthénie intense associée à des douleurs abdominales depuis plusieurs jours. Il a un antécédent de tuberculose ganglionnaire. Le scanner abdominal ne retrouve aucune étiologie digestive à cette douleur ; le patient semble très déshydraté avec une langue rôtie. Dans ce contexte, vous suspectez une insuffisance surrénalienne aiguë. Quel est le meilleur examen permettant de déterminer la gravité de la situation?
Ionogramme (Na, K, urée, créatinine)
Cortisolémie à 8 heures à jeun
Numération formule sanguine
Enzymes musculaires (CPK, LDH)
Test au Synactène à midi
Aux urgences, vous examinez une patiente de 64 ans, amenée par son mari pour des douleurs abdominales aiguës depuis le matin. A l’interrogatoire, celle-ci rapporte qu’elle prend de l’hydrocortisone au long cours, arrêté depuis un mois car elle ne le trouve plus en pharmacie. Les constantes sont les suivantes : PA 80/50 mmHg, pouls 120/min, T°37,4. Quelle réhydratation hydro-électrolytique vous semble la plus adaptée devant ce tableau?
Sérum glucosé 1000 ml + serum physiologique 1000 ml
Ringer lactate 1000 ml + serum glucosé 5% 1000 ml + 4 gr potassium
Sérum glucosé 5% 2000 ml seul + 4 gr sodium + 4 gr potassium
Sérum physiologique 2000 ml seul dans un premier temps
Sérum salé 2000 ml + 4 gr Potassium + 4 gr Calcium
Vous suivez une jeune patiente âgée de 30 ans en consultation, dans le cadre de la découverte d'une insuffisance surrénalienne lente sur un bilan d'asthénie. En dehors de l’asthénie celle-ci n’a pas de plainte. Ses constantes sont les suivantes : PA 92/50, pouls 50/min, T°36,1. Quel examen complémentaire vous permet le mieux d'orienter le bilan étiologique?
Dosage de l'ACTH
Test au synacthène
IRM hypophysaire
Scanner surrénalien
Anticorps anti 21 hydroxylase
Vous voyez en consultation une femme âgée de 54 ans, dans le cadre de la découverte fortuite d’un adénome hypophysaire sur un scanner cérébral. Vous l’examinez à la recherche d’une atteinte des axes thyréotrope, gonadotrope et corticotrope. Quel signe sera le plus en faveur de l'origine centrale d’une insuffisance surrénalienne?
Une dépigmentation généralisée
Une douleur abdominale pseudochirurgicale
Une hypotension artérielle orthostatique
Une mélanodermie prédominante aux plis
Une asthénie, anorexie et amaigrissement
Au laboratoire de physiologie, vous explorez un étudiant en médecine, volontaire sain pour plusieurs analyses biologiques. Notamment, vous explorez son cycle du cortisol. Quelle va être le profil de sécrétion de cortisol le plus porbable chez ce sujet ?
Un cortisol maximum le matin avec une décroissance nycthémérale
Un cortisol bas au réveil avec un pic de sécrétion en milieu de journée
Un cortisol qui double à 1 heure de l'injection de Synacthène
Un cortisol qui reste stable sur 24 heures, sans variation nycthémérale
Un cortisol qui s'élève toute la journée avec un maximum à minuit
Une patiente âgée de 83 ans, diabétique depuis de nombreuses années, est amenée par sa fille car elle n’arrive plus à marcher depuis plusieurs jours car son pied droit lui fait mal. Pour faire l’examen clinique, vous devez défaire un gros pansement tâché pour voir le pied. Devant cette situation évoquant un mal perforant plantaire, quel signe clinique qui doit vous orienter le plus vers une hospitalisation en urgence ?
Un érysipèle homolatéral avec fièvre associée
Une abolition du pouls pédieux homolatéral
Un contact osseux au niveau d’une plaie creusante
Une plaie ne cicatrisant pas depuis plus de 3 mois
Une douleur neuropathique rebelle au traitement
Vous voyez aujourd’hui à votre cabinet un patient âgé de 67 ans dans le cadre du suivi annuel de son diabète sous antidiabétiques oraux. Celui-ci n’a pas de plainte particulière. L’examen physique est sans particularité, ses constantes sont les suivantes : PA 130/80, pouls 72/min, apyrexie. L’examen de la bandelette urinaire met en évidence une protéinurie à 2 croix. Quel est le meilleur traitement à mettre en place chez ce patient ?
Un inhibiteur de l'enzyme de conversion
Une insulinothérapie de type semi lente
Un beta-bloquant de type cardiosélectif
Un diurétique épargneur de potassium
Une patiente âgée de 73 ans consulte à votre cabinet dans le cadre du suivi annuel de son diabète. Celui-ci est bien équilibré sous régime associé à de la metformine, avec une Hb glyquée à 6,5%. Quels examens complémentaires systématiques (une fois par an au moins) sont les plus appropriés pour le dépistage de la microangiopathie?
Fond d'oeil, microalbuminurie des 24 H et clairance de la créatinine
Fond d'oeil, échographie cardiaque et épreuve d'effort
Electrocardiogramme de repos et doppler artériel fémoral, carotidiens
Electrocardiogramme de repos, microalbuminurie des 24H et électroneuromyogramme
Electrocardiogramme de repos, échographie cardiaque et épreuve d'effort
Fond d'oeil, échographie rénale et échographie cardiaque de repos
Vous suivez en consultation semestrielle un patient âgé de 65 ans, diabétique de type 2 sous traitement antidiabétique oral depuis 12 ans. L’examen clinique est normal, le patient semble bien suivre son régime et son traitement. Il s’inquiète cependant de savoir si vous comptez lui prescrire de l’insuline. Quel signe recherchez vous le plus en faveur d’une évolution vers l'insulinorequérance?
Un syndrome polyuro-polydipsique avec perte de poids et cétonurie
L’apparition d’un mal perforant plantaire avec surinfection locale
L’apparition d’une neuropathie végétative avec une gastroparésie
Une hémoglobine glyquée > 8,5% associée à une prise pondérale
L’apparition d’une neuropathie des membres inférieurs en chaussette
Vous voyez en consultation un patient âgé de 59 ans dans le cadre de la découverte d’une hyperglycémie à jeun à 17 mmol/l lors d’un examen de dépistage. A l’interrogatoire, vous retrouvez des antécédents familiaux d’angor ainsi qu’une consommation d’alcool de riz quotidienne. A l’examen clinique, ce patient est en surpoids (IMC 29kg/m2), ses constantes sont les suivantes : PA : 145/90 mmHg, pouls 75/min, apyrexie. Quel est le facteur le plus susceptible de favoriser l'apparition d'un diabète de type 2?
Un syndrome métabolique
Un terrain auto-immun
Un antécédent familial
Un alcoolisme chronique
Une hemochromatose
Vous revoyez en consultation une patiente âgée de 61 ans, un mois après une chirurgie de gastrectomie totale. La patiente a pu reprendre une alimentation qui semble satisfaisante en terme de quantité ; cependant elle se plaint de vertiges et d’une sensation de malaise après les repas. A l’examen la cicatrice est propre. Les paramètres vitaux sont normaux, le poids est stable depuis l’intervention. Quelle est la prise en charge thérapeutique à proposer dans ce cas?
Fractionnement des repas avec diminution des produits sucrés d'absorption rapide
Glucagon par voie intramusculaire dès l’apparition des symptômes d’hypoglycémie
Resucrage régulier par voie orale si nécessaire + surveillance de la glycémie capillaire
Traitement médicamenteux par antiacide associé à un inhibiteur de la pompe à protons
Deux repas par jour au maximum en favorisant les sucres d’absorption rapide
Aux urgences, vous examinez un patient de 55 ans, éthylique chronique, présentant des troubles de la vigilance dans un contexte évident d’intoxication éthylique aiguë. Devant ces troubles de la vigilance sans agitation, vous effectuez de principe une mesure de la glycémie capillaire. Celle-ci est à 0,39 g/L. Quel est le meilleur traitement à mettre administrer en urgence chez ce patient?
Ampoule de G30 (30g/l) puis une ampoule de vitamine B1
Ampoule de Glucagon puis ampoule de vitamine B1
Ampoule de G30 (30g/l) puis serum physiologique
Serum glucosé type G10% (10g/l) puis serum physiologique
Ampoule de G30 (30g/l) puis d’une ampoule de vitamine C
Serum glucosé type G10% (10g/l) puis vitamine B1
Un patient âgé de 57 ans, opéré d'une gastrectomie pour adénocarcinome il y a 6 mois, présente depuis quelques semaines des tremblements et des sueurs accompagnés d’une sensation de malaise, cédant au resucrage, survenant toujours dans les 2 heures suivant ses repas et sans signes de neuroglucopénie. Quelle démarche vous paraît la plus appropriée à la situation ?
Rassurer le patient, il s’agit d'hypoglycémies fonctionnelles
Rechercher une néoplasie endocrinienne multiple par un bilan hypophysaire
Doser l'insulinémie à 8H le matin pour écarter toute organicité
Pratiquer une imagerie abdominale pour écarter une lésion organique
Réaliser une épreuve de jeûne pour rechercher un hyperinsulinisme
Une patiente âgée de 64 ans, sans antécedent, consulte à votre cabinet car elle se plaint de vertiges et céphalées en fin de matinée, parfois de bourdonnement d’oreille. Elle a même fait un malaise la semaine précédente. A l’examen clinique, vous ne notez rien de remarquable. Ses constantes sont les suivantes : PA 145/95, pouls 70/min, apyrexie. Quel seuil supérieur de glycémie serait le plus adapté pour diagnostiquer une hypoglycémie chez cette patiente? (@NO-RANDOM@)
Glycémie < 0,5 g/L
Glycémie < 0,8 g/L
Glycémie < 0,7 g/L
Glycémie < 0,6 g/L
Glycémie < 0,4 g/L
De garde aux urgences, vous examinez une patiente âgée de 78 ans, amenée par son fils pour une dyspnée évoluant depuis 24 heures. Elle a comme antécédent un cancer du sein avec des métastases osseuses. Son état général s’est beaucoup dégradé ses dernières semaines et elle vit principalement alitée. Quel est le score est le plus approprié pour estimer la probabilité d’embolie pulmonaire ?
Score de Genève modifié
Score de Fine revisité
Score CRB65 actualisé
Score de Gold révisé
Score de Glasgow Liège adapté
Madame E., 75 ans est hospitalisée dans votre service pour une pneumopathie. Vous découvrez sur le scanner thoracique réalisé au décours de l’hospitalisation un caillot dans l’artère pulmonaire droite. Ses constantes sont les suivantes : T° 37,6, PA 125/65mHg, pouls 85/min. Quel est le meilleur traitement curatif à court et moyen terme?
Héparinothérapie par Héparine de bas poids moléculaire (HBPM) avec relais précoce par Anti-vitamine K
Fibrinolyse en urgence puis héparinothérapie par voie intra-veineuse par héparine non fractionnée (HNF) u
Héparinothérapie par Héparine de bas poids moléculaire (HBPM) sous cutanée au long cours
Anti-vitamines K par voie orale en première intention compte tenu de l’absence de signes de gravité
Héparinothérapie intra veineuse par héparine non fractionnée (HNF) puis relais par Anti-vitamine K
De garde à la maternité, vous êtes appelé pour examiner une patiente de 24 ans, G3P2, allongée depuis plusieurs jours pour une menace d’accouchement prématurée. Elle se plaint d’avoir des difficultés à respirer et d’une douleur thoracique. A l’examen clinique vous remarquez une polypnée superficielle. Ses constantes sont les suivantes : PA 100/60 mmHg, pouls 100/min, T°38°C, FR 27/min. Quelle anomalie de l'électrocardiogramme allez-vous probablement retrouver par ordre de fréquence dans cette pathologie?
Tachycardie sinusale
Rotation axiale droite (aspect S1 Q3)
Bloc de branche droit complet
Onde T négative de V1 à V3
Fibrillation auriculaire rapide
Vous êtes appelé au domicile d’un homme âgé de 78 ans, alité depuis plusieurs jours en raison d’une lombalgie invalidante. A l’examen clinique, le patient est polypnéique, il se plaint d’une douleur basi thoracique droite. Les constantes sont le suivantes : PA 100/50 mmHg, pouls 100/min, T° 37,8°C, FR 28/min. Quel est le meilleur examen à réaliser en première intention pour confirmer le diagnostic le plus probable ?
Angio-scanner thoracique spiralé
Angiographie pulmonaire
Scintigraphie pulmonaire de ventilation/perfusion
Echographie-doppler des membres inférieurs
Echographie cardiaque trans thoracique
Lors de la visite médicale dans le service d’orthopédie, vous êtes frappé par une patiente de 70 ans, légèrement dyspnéique à J5 d’un enclouage pertrochantérien. Vous demandez ses constantes qui sont les suivantes : PA 95/50 mmHg, pouls 115/min, T° 38,1. Le mollet homolatéral à la fracture est chaud et oedématié. Quel est le meilleur signe clinique surveillez-vous qui vous orienterait vers une embolie pulmonaire grave ?
Une hypotension avec PAS < 90 mmHg
Une hypoxie avec désaturation < 92%
Une tachycardie > 110 / minute
Une tachypnée > 16/minute
Une embolie pulmonaire récidivante

Vous prenez en charge une femme de 35 ans présentant une douleur rétrosternale évoluant depuis 24 heures. Elle n'a pas d'antécédent particulier en dehors d'un tabagisme occasionnel. Votre examen clinique est normal, ses constantes sont les suivantes : PA 120/60 mmHg, pouls 85 /min, T° 38,1°C.Vous disposez rapidement d'un tracé ECG. Quel diagnostic est le plus probable ?
Péricardite aigue post virale
SCA ST+ en cours de constitution
Embolie pulmonaire sans critère de gravité
Syndrome de repolarisation précoce
Séquelle d'infarctus du myocarde inférieur

Une femme de 69 ans est admise aux urgences pour dyspnée aiguë. Elle est atteinte d'un adénocarcinome gastrique métastatique avec compression médiastinale. Vous notez une PA à 105/60 même Hg, une SaO2 à 92% sous 6L. Elle n'a pas de signe de choc périphérique. Elle présente également un mollet droit rouge et douloureux. Vous suspectez une embolie pulmonaire sub-massive. Quel critère électrocardiographique est le plus spécifique de ce diagnostic ?
Ondes T négatives de V1 à V3
Onde S en DI et Q en DIII
Sous décalage du segment ST en latéral
Bloc de branche droite incomplet
Tachycardie sinusale régulière

Un jeune patient de 25 ans, se présente aux urgences pour nausées, vomissements et douleurs abdominales évoluant depuis 24 heures. Votre examen clinique initial relève une PA à 150/80, une tachycardie à 100/min une T° 38,5 et une oligurie. Le reste de l’examen est normal en dehors d’un pli cutané. Vous réalisez de principe un ECG. Quelle est la meilleure explication physiopathologique à ce tracé ?
Métabolique (hyperkaliémie)
Infectieux (péricardite)
Vagal (hypertonie vagale)
Dégénératif (trouble conductif)
Ischémique (infarctus du myocarde)

Vous recevez en consultation un homme de 63 ans pour réalisation d'un bilan préopératoire. Il n'a pas d'antécédent particulier en dehors d'une notion de ''mort subite'' dans la famille sans autre précision. Son examen clinique est normal en dehors d'une pression artérielle élevée à 150/100 mm Hg, pouls 60/min. Il ne prend pas de traitement médicamenteux. Vous lui réalisez un électrocardiogramme que vous interprétez. Quelle l’étiologie la plus probable ? @ICONO@
Myocardiopathie hypertrophique
Myocardiopathie dilatée
Myocardiopathie valvulaire
Myocardiopathie rythmique
Myocardiopathie ischémique

Vous recevez en consultation un homme de 53 ans qui présente depuis 3 jours une asthénie importante. Il a pour principaux antécédents un diabète de type II sous metformine et une hypertension artérielle sous celiprolol 200 mg. Son examen clinique est normal en dehors d'une prise de PA à 150/95 mm Hg. Un ECG est réalisé que vous interprétez. Quelle prescription thérapeutique est la plus appropriée ?
Anticogulation curative par Héparine et relais AVK
Traitement anti arythmique par Amiodarone
Ajout d’un traitement anti hypertenseur par amlodipine
Mise sous double antiagrégation plaquettaire
Arrêt du traitement beta bloquant et mise au repos
Vous donnez ce jour son ordonnance de sortie à une patiente âgée de 68 ans, hospitalisée dans votre service pour une poussée d’insuffisance cardiaque gauche. Ses constantes sont les suivantes : PA 120/65 mmHg, pouls 65/min, T° 37°C. Vous expliquez à l’étudiante qui vous suit le principe du traitement. Quelle est la meilleure classe de médicament à mettre en place pour diminuer la mortalité de la patiente?
Béta bloquants
Les diurétiques
Les dérivés nitrés
Les digitaliques
La noradrénaline

Un homme âgé de 82 ans consulte aux urgences pour une aggravation très récente d’une dyspnée d’effort. A l’examen, le patient présente une dyspnée avec des crépitants jusqu’à mi champ pulmonaire, il est pâle et des genoux sont marbrés. Ses constantes sont les suivantes : PA 95/50mmHg, pouls 90/min, T°37°C, Sp02 91%. Vous réalisez un électrocardiogramme. Quelle étiologie grave est la plus probable concernant l’aggravation de l'insuffisance cardiaque de votre patient?
Un événement ischémique
Un trouble du rythme
Une atteinte valvulaire
Une cardiopathie dilatée
Une cardiopathie hypertrophique
Vous recevez en consultation un homme âgé de 55 ans dans le cadre du suivi de sa cardiopathie hypertensive. Vous réalisez une échographie cardiaque qui retrouve une fonction contractile normale. L’étudiant en médecine qui vous accompagne ne comprend pas comment un patient peut développer une insuffisance cardiaque sans modification de la fraction d’éjection. Quelle est le mécanisme le plus probablement impliqué ici ?
Défaut de relaxation ventriculaire gauche
Diminution du retour veineux au coeur droit
Trouble du rythme ou de la conduction
Augmentation de la postcharge ventriculaire
Augmentation de la pression capillaire pulmonaire
Vous recevez à votre cabinet une femme âgée de 65 ans, diabétique non insulinodépendante depuis 15 ans, pour l’apparition d’une dyspnée. Celle-ci est apparue tout d’abord pour des efforts importants puis maintenant au moindre geste. A l’examen physique vous retrouvez : PA 100/60 mmHg, pouls 75/min, T° 37,3°C, Sp02 94%. Quel est le meilleur examen
Echographique cardiaque
Radiographie thoracique
Epreuve d’effort
Dosage biologique du BNP
Scintigraphie myocardique
Vous voyez, le jour de sa sortie de l’hôpital, une patiente âgée de 73 ans hospitalisée dans votre service pour un syndrome coronarien aigu responsable d’une nécrose myocardique étendue. Il persiste une insuffisance ventriculaire gauche séquellaire avec une fraction d’éjection estimée à 40%. Quel est le meilleur signe à surveiller chez elle à la recherche d’une décompensation ventriculaire gauche ?
Dyspnée
Palpitations
Malaises hypotensifs
Oedèmes des membres inférieurs
Douleur angineuse
Vous diagnostiquez une HTA modérée chez un homme de 55 ans. Son examen clinique retrouve une tension artérielle à 165/90 mmHg sans autre anomalie. Quel examen complémentaire est le plus approprié en première intention pour évaluer les conséquences de cette pathologie chez ce patient ?
ECG
Echocardiographie
Radio de thorax
Echographie abdominale
Fond d'oeil
Vous voyez en consultation une femme de 55 ans à qui vous venez de découvrir une hypertension artérielle. Elle n’a pas d’autres comorbidités, aucun traitement en cours. SA tension artérielle est à 170/100 mmHg, avec une fréquence cardiaque à 85/min. En plus des règles hygiénodiététique, quelle est la prise en charge la plus appropriée en première intention ?
Monothérapie anti hypertensive
Surveillance simple
Bithérapie anti hypertensive
Dosage de l'activité rénine plasmatique
Vous voyez aux urgences un patient de 55 ans pour céphalées avec paresthésie du membre supérieur droit apparu depuis le matin. Il n’a pas d’antécédent particulier ni de traitement. Il est fumeur non sevré à 40 paquets-année. A l’examen clinique vous retrouvez une tension artérielle à 200/115 mmHg, une fréquence cardiaque à 90/min. Le Glasgow est à 15. L’examen clinique retrouve un déficit à 4/5 du membre supérieur droit sans autre anomalie. Quelle est la première chose à faire dans votre prise en charge en urgence ?
Scanner cérébral
Echographie cardiaque
Antiagrégant plaquettaire
Anti hypertenseur intraveineux
Héparinothérapie curative
Vous voyez en consultation un homme de 60 ans pour céphalées. Son seul traitement est l’atorvastatine pour une hypercholestérolémie. L’examen clinique retrouve une tension artérielle à 195/120 mmHg, une fréquence cardiaque à 70/min. Il est apyrétique. Quelle information serait la plus appropriée pour évaluer le risque cardiovasculaire du patient ?
Tabagisme
Exposition professionnelle
Asthme
Hyperthyroidie
Antécédents familiaux d’hypertension artérielle
Monsieur S, 82 ans est admis aux urgences pour l'apparition de multiples ecchymoses. Monsieur S présente comme principaux antécédents une hypertension artérielle sous amlodipine et une arythmie cardiaque par fibrillation auriculaire traité par warfarine sodique. Cliniquement vous retrouvé un patient apyrétique, stable sur le plan hémodynamique présentant de multiples ecchymoses sur l'ensemble du corps. Le bilan biologique demandé en urgence retrouve : Hb: 9,8g/dL, VGM: 103fl, leucocytes: 5,5G/L sans anomalie à la formule, plaquettes: 33G/L. INR: 6,3. Vous lui faites arrêter immédiatement la Warfarine. Quelle est l’attitude thérapeutique la plus appropriée ?
Administration de vitamine K et transfusion de plaquettes
Administration de vitamine K et corticothérapie
Corticothérapie et surveillance simple
Transfusion de plaquettes et corticothérapie
Transfusion de plaquette et surveillance clinique simple
Vous suivez Mr D depuis de nombreuses années pour un purpura thrombopénique idiopathique. Il a bénéficié d’une splénectomie il y a 10 jours. Mr D vous appelle car il vient de recevoir les résultats de son bilan sanguin retrouvant une numération plaquettaire à 700G/L. Quelle est la prise en charge la plus adaptée?
Surveillance
Antiagrégant plaquettaire
Anticoagulant
Cyto-reducteur type hydroxyurée
Saignée
Mr F, 17 ans consulte pour une asthénie évoluant depuis 8 jours avec une hyperthermie à 38,5°C sans frissons pour laquelle vous avez prescrit un traitement par amoxicilline débuté il y a 5 jours. Cliniquement, vous retrouvez quelques adénopathies cervicales centimétriques sensibles sans autre anomalie notable. Le bilan biologique est le suivant: Hémoglobine: 13,5 g/dL VGM 89fl, leucocytes: 8,9G/L dont polynucléaires neutrophiles 2,3G/L et lymphocytes 5,2G/L, plaquettes: 120G/L. Frottis: présence de lymphocytes hyperbasophiles. Parmi les hypothèses diagnostiques suivantes, laquelle vous semble la plus probable pour expliquer la thrombopénie?
Primo-infection à Epstein Barr Virus
Médicamenteuse à amoxicilline
Infection bactérienne à streptocoque
Purpura Thrombopénique Idiopathique
Leucémie aigue lymphoblastique
Mme C, 34 ans est adressée à votre consultation pour bilan d'une thrombopénie isolée à l'hémogramme. Elle n’a pas d’antécédent particulier. Ses constantes sont : TA 130/75 mmHg, FC 75/Min, température 37.3°C. L’examen cutané retrouve des pétéchies. Vous suspectez un purpura thrombopénique idiopathique. Quel est le mécanisme physiopathologique est le plus probable ici?
Auto-immun
Viral
Médicamenteux
Toxique
Bactérien
Mr J, 51 ans est adressé par son médecin pour l'exploration d'anomalies biologiques découvertes de façon fortuite. Il n'a pas d'antécédent notable.Il est agriculteur, fumeur à 15 paquets-année non sevré. L’examen clinique retrouve : TA 115/80 mmHg, FC 80/min, température 37.1°C. Le bilan biologique retrouve : Hb 11g/dL, VGM: 90fl, Leucocytes: 4,5G/L dont polynucléaires neutrophiles: 3,4G/L, plaquettes: 55G/L. Quel examen complémentaire faites-vous en priorité?
Myélogramme
Dosage des vitamines B9 et B12
Biopsie ostéo-médullaire
Ferritinémie
Test de Coombs
Vous recevez aux urgences un garçon de 12 ans pour chute avec plaie superficielle au membre inférieur droit. La plaie saignement abondamment, et la maman vous informe que l’enfant est porteur d’une hémophilie A mineure. A l’examen clinique, la tension artérielle est à 140/80 mmHg, la fréquence cardiaque à 90/min et la température à 37.3°C. Le bilan biologique en urgence retrouve une hémoglobine à 135 g/L. Quel est le traitement est le plus approprié ?
Desmopressine
Concentrés de facteur IX
Concentrés de facteur Willebrand
Héparine
Vitamine K
Vous voyez en consultation un patient suivi pour un déficit sévère en facteur XIII. Son examen clinique retrouve : TA 130/80 mmHg, FC à 75/mi, température 37.2°C. Sur un bilan de coagulation, quel élément serait le plus en faveur de ce diagnostic ?
Un taux de prothrombine normal
Un taux de prothrombine abaissé
Un temps de céphaline avec activateur allongé
Un temps de saignement allongé
Un temps de thrombine allongé
Vous voyez en consultation un garçon de 12 ans pour bilan de trouble de la coagulation. Il n’a pas d’antécédents médicaux personnel, mais des antécédents familiaux de maladie hémorragique. Son examen clinique retrouve : TA 135/80 mmHg, FC : 75/min, température 36.8°C. Le bilan étiologique retrouve un déficit en facteur VIII. Quel est le diagnostic le plus probable ?
Hémophilie A
Hémophilie B
Maladie von Willebrand de type 1
Maladie von Willebrand de type 2
Maladie von Willebrand de type 3
Vous voyez en consultation pré opératoire un patient de 30 ans sans antécédent particulier. A l’examen clinique la tension artérielle est à 125/80 mmHg avec une fréquence cardiaque à 65/min. Son bilan de coagulation retrouve un allongement du temps de céphaline avec activateur (TCA) avec taux de prothrombine (TP) normal. Quel dosage complémentaire allez-vous réaliser en priorité pour compléter le bilan ?
Facteur VIII
Facteur X
Protéine C
Facteur VII
Facteur XIII
Madame G, 65 ans consulte pour une asthénie évoluant depuis plusieurs mois. Mme G a comme principal antécédent un adénocarcinome du sein droit traité il y a 5 ans par chirurgie et chimiothérapie adjuvante. Le dernier contrôle par son oncologue effectué il y a 3 mois était en faveur d'une rémission complète. Mme G prend comme unique traitement du paracétamol pour des douleurs rhumatismales. La patiente décrit une dyspnée d'effort apparaissant pour des efforts de moins en moins importants. L'état général est par ailleurs conservé et l'examen clinique strictement normal. L'hémogramme que vous avez demandé en première intention retrouve : Hémoglobine: 9,5g/dL , VGM: 98fl , Leucocytes: 2,9 G/L dont polynucléaires neutrophiles: 1,2G/L et lymphocytes: 1,1G/L, plaquettes: 98G/L. Quelles est l'hypothèse diagnostique la plus probable pour expliquer cette anémie?
Myélodysplasie
Polyarthrite rhumatoïde
Hypothyroïdie
Aplasie médullaire idiopathique
Leucémie aigue myéloblastique
Mme D, 55 ans est adressé à la demande de son médecin traitant suite à la mise en évidence d'une anémie lors d'un bilan d'asthénie. Elle n'a aucun antécédent et ne prend pas de traitement. Elle décrit une asthénie d'apparition progressive. A l'examen vous retrouvez une pâleur cutanéo-muqueuse, un subictère conjonctival, une tachycardie à 120 battements/minutes et une splénomégalie à 4 cm sous le rebord costal. Le reste de l'examen est sans particularité. Le bilan biologique retrouve : Hémoglobine: 9g/dL, VGM: 102fl, Leucocytes: 6G/L formule normale, plaquettes: 175G/L. Réticulocytes: 350G/L, Haptoglobine indosable. Test de coombs positif à IgG. Schizocytes négatifs. Quelle prise en charge vous semble la plus adaptée?
Corticothérapie
Transfusion de 2 concentrés érythrocytaires
Splénectomie
Supplémentation acide folique
Supplémentation B12
Monsieur H, 75 ans est adressé aux urgences de votre hôpital suite à un accident de voiture à haute cinétique (90 km/h) compliqué d'une probable fracture splénique. Ses principaux antécédents sont une hypertension artérielle,une hypercholestérolémie, un éthylo-tabagisme non sevré. L’examen clinique retrouve une tension artérielle à 70/40 mmHg, une fréquence cardiaque à 120/min et une température à 36°C. L'hémogramme à l'admission retrouve: Hémoglobine: 6g/dL, VGM 80fL, Leucocytes : 7,4G/L sans anomalies à la formule. Plaquettes: 360G/L. Quelle complication secondaire à l'anémie devez-vous craindre en priorité chez ce patient ?
Syndrome coronarien aigu
Coma
Détresse respiratoire aigue
Ischémie aigue des membres inferieurs
Insuffisance rénale aigue
Vous revoyez en consultation Mr M, 35 ans pour bilan d’une anémie de découverte récente. L’examen clinique retrouve une tension artérielle à 105/75 mmHg, une fréquence cardiaque à 90/min. Le bilan biologique complémentaire retrouve : Hb: 11,2g/dL, VGM: 70fl, Réticulocytes: 70G/L Leucocytes: 5,7G/L sans anomalies à la formule, plaquettes: 234G/L, Ferritinémie: 60 (Normale : 50-200), CRP: 3. Compte tenu de ces résultats, quel examen à visée étiologique vous semble le plus approprié ?
Electrophorèse de l'hémoglobine
Myélogramme
Dosage vitamines B9 et B12
TSH
Créatininémie
Mme E, 23 ans, vous consulte pour une asthénie évoluant depuis 2 mois. Elle n'a pas d'antécédent notable et ne prend aucun traitement. Elle explique avoir pris 5 kilogrammes en 2 mois et se plaint d'une constipation d'apparition récente. L'hémogramme que vous avez demandé est le suivant: Hb 10,5g/dL VGM 105fl Réticulocytes à 40 G/L Leucocytes : 5,6G/L sans anomalie à la formule. Plaquettes : 160G/L. Parmi les examens suivants, lequel sera le plus probablement anormal ?
TSH
Natrémie
Ferritinémie
CRP
Créatininémie
Vous suivez en hospitalisation en service de neurologie une enfant de 6 ans pour bilan d’épilepsie. Elle présente des crises d’épilepsie où ses parents n’arrivent plus à communiquer avec elle : elle a les yeux perdus dans le vague, et ne réagit pas au stimuli pendant plusieurs secondes. Son examen clinique retrouve une tension à 125/80 mmHg, une fréquence cardiaque à 75/min, un score de Glasgow à 15. Vous réalisez un l’éléctroencéphalogramme : quel est l’aspect le plus probable dans ce cas clinique ?
Pointes-ondes généralisées de 3 Hz
Pointes ondes lentes unilatérales
Pointes ondes généralisées non rythmiques
Pointes-ondes lentes en bouffées bisynchrones symétriques.
Pointes-ondes en bouffées unilatérales
Vous voyez en urgence accompagné de sa maman, un garçon de 2 ans pour un premier épisode de crise convulsive généralisée. A l’examen clinique ce jour, la température est à 40°C, la tension artérielle à 130/80 mmHg, la fréquence cardiaque à 80/ min.. Quel élément serait le plus en faveur du caractère complique de cette crise ?
Manifestation unilatérale
Antécédents familiaux
Durée supérieure à 5 minutes
Révulsion oculaire
Récidive de la crise
Vous voyez en urgence accompagné de sa maman, un garçon de 2 ans pour un premier épisode de crise convulsive généralisée. A l’examen clinique ce jour, la température est à 40°C, la tension artérielle à 130/80 mmHg, la fréquence cardiaque à 80/ min. Vous suspectez une convulsion hyperthermique. Quel critère de convulsion hyperthermique compliquée recherchez-vous ?
Manifestation unilatérale
Antécédents familiaux
Durée supérieure à 5 minutes
Révulsion oculaire
Récidive de la crise
Vous suivez un patient de 22 ans pour épilepsie. Il n’a pas d’autres antécédents. Vous le revoyez pour mettre en place un traitement par Carbamazépine. Son examen clinique ce jour retrouve une tension à 125/75 mmHg, une fréquence cardiaque à 60/min. Le score de Glasgow est à 15 et l’examen neurologique normal. Vous lui expliquez les effets secondaires du traitement. De quel effet secondaire est le plus à risque ce patient ?
Réaction cutanée sévère
Hypernatrémie
Insuffisance rénale aigue
Diabète
Hyperthyroïdie
Vous recevez en soins continu une patiente de 33 ans en état de mal épileptique convulsif depuis plus de 30 min. Son examen clinique retrouve une tension artérielle à 135/80 mmHg, avec une fréquence cardiaque à 80/min. A l’examen clinique, elle présente une crise tonico-clonique généralisée, sans signe déficitaire. Son score de Glasgow est à 10. Vous débuter un traitement intraveineux par benzodiazépine et phénytoïne. Qu’allez-vous surveiller en priorité pendant la perfusion ?
éléctrocardiogramme
Diurèse
Saturation pulsée en oxygène
éléctroencéphalogramme
Tension artérielle
Vous suivez en consultation un patient de 35 ans pour épilepsie. Il vous consulte pour rééquilibrer son traitement car a présenté la semaine dernière 3 épisodes de crises convulsives. A l’examen clinique, sa tension artérielle est à 135/70 mmHg, sa fréquence cardiaque à 70/min. Le score de Glasgow est à 15. L’examen neurologique est normal. Il est traité depuis 2 ans par CARBAMAZEPINE (Tegretol) et LEVETIRACETAM (Keppra), qu’il prend régulièrement. Quel est est l’expression qualifiant le mieux l’épilespie du patient ?
Epilepsie généralisée pharmaco résistante
Epilepsie partielle pharmaco résistante
Epilepsie généralisée pharmaco dépendante
Epilepsie partielle pharmaco dépendante
Vous suivez une patiente de 40 ans pour céphalées. Elle n’a pas d’autre antécédent. Son examen clinique ce jour retrouve une tension artérielle à 125/70 mmHg, une fréquence cardiaque à 60/min, son examen neurologique est normal. Elle vous fait remarquer qu’elle n’a jamais bénéficié d’imagerie cérébrale. Quel signe serait le plus en faveur de la réalisation d’une imagerie cérébrale ?
Atteinte unilatérale
Photophobie
Ccotome scintillant
Caractère pulsatile
Nausées et vomissements
Vous recevez en urgences un patient de 40 ans pour douleur aigue de la face. Il s’agit d’une douleur intense péri orbitaire droite à type de brulure, accompagné de larmoiement et de rhinoré unilatérale. Il présente ces crises douloureuses depuis 3 jours. Il avait déjà présenté un épisode de ce type il y a 10 mois. A l’examen clinique, la tension artérielle est à 170/95 mmHg, avec une fréquence cardiaque à 95 /min. Il est apyrétique, le Glasgow est à 15 et l’examen neurologique ne retrouve pas de signes déficitaires. Quel traitement est le plus approprié en première intention ?
Oxygénothérapie
Paracétamol
Morphine
Corticoïde
Carbamazépine
Vous voyez en consultation de médecine, une patiente de 16 ans obèse présentant des céphalées de décubitus, associées à une baisse de l'acuité visuelle bilatérale matinale s'améliorant en orthostatisme. A l’examen clinique, la température est à 37.2°C, la tension artérielle à 135/80 mmHg et la fréquence cardiaque à 70/ min. Son imagerie cérébrale est normale Quelle étiologie suspectez-vous devant ce tableau clinique ?
Hypertension intracrânienne idiopathique
Céphalées d'Arnold
Hypotension du liquide céphalo-rachidien
Syndrome d'apnée obstructive du sommeil
Dysautonomie
Vous recevez aux urgences une patiente de 40 ans pour céphalées brutale associée initialement à un malaise syncopal. Il n’a pas d’antécédent particulier. Elle présente des nausées avec vomissement depuis son admission. Les céphalées sont intenses, de siège occipital. L’examen clinique retrouve une température à 38°C, une tension artérielle à 160/90 mmHg avec une fréquence cardiaque à 70/min. L’examen neurologique retrouve une raideur de nuque, ainsi qu’une diplopie. La patiente est obnubilée avec un score de Glasgow est à 14. Quel est le premier diagnostic à rechercher en urgence ?
Hémorragie méningée
Méningite purulente
Thrombose veineuse profonde cérébrale
Dissection carotidienne
Accident vasculaire ischémique
Vous suivez un patient de 40 ans pour des névralgies chroniques du nerf trijumeau. Son examen clinique est normal avec une tension artérielle à 120/75 mmHg, une fréquence cardiaque à 65/min. Quelle serait la zone douloureuse la plus en faveur d’une atteinte isolée de la branche V2 du nerf trijumeau?
Paupière inférieure
Lèvre inférieure
Front
Menton
Arête nasale
Vous recevez aux urgences un patient de 45 ans pour céphalées. Il n’a pas d’antécédent particulier. Les céphalées sont apparues depuis 1 semaine, d’intensité croissante, actuellement permanente. Il a vomit ce matin, raison pour laquelle il consulte ce jour. A l’examen clinique, il est apyrétique, sa tension artérielle est à 135/80 mmHg avec une fréquence cardiaque à 60/min. L’examen neurologique ne retrouve pas de déficit, pas de raideur de nuque, le score de Glasgow est à 15. Vous demandez un scanner cérébral avec injection en urgence. Quel signe radiologique serait le plus en faveur d’une thrombophlébite cérébrale ?
Signe du delta
Signe du gamma
Signe de l'alpha
Signe de l'omega
Signe du thêta
Vous recevez aux urgences un patient de 80 ans pour céphalées. Il n’a pas d’antécédent particulier. A l’examen clinique, sa tension artérielle est à 145/80 mmHg avec une fréquence cardiaque à 80/min. Les céphalées sont modérées. Le score de Glasgow est à 15. L’examen neurologique ne retrouve pas de déficit. Le scanner cérébral réalisé en urgence retrouve un hématome intra-parenchymateux de 15 mm. Quelle cause d'hématome intraparenchymateux principale suspectez-vous chez ce patient ?
Angiopathie amyloïde
Iatrogénie
Hypertension artérielle
Malformation artério-veineuse
Rupture d'anévrysme
Vous recevez aux urgences un patient de 65 ans pour céphalées. Dans ses antécédents on retrouve seulement un éthylisme chronique. A l’examen clinique, sa tension artérielle est à 155/80 mmHg avec une fréquence cardiaque à 80/min. Les céphalées sont modérées, le patient est nauséeux mais n’a pas vomit. Il est obnubilé avec un score de Glasgow à 14. L’examen neurologique ne retrouve pas de déficit. Le scanner cérébral réalisé en urgence montre un hématome intra-parenchymateux de 2 cm. Vous le gardez en hospitalisation pour surveillance. Le patient présente une élévation de tension artérielle. Quelle valeur de pression artérielle systolique maximale est la plus appropriée dans ce cas ? (@NO-RANDOM@)
160 mm Hg
200 mm Hg
180 mm Hg
220 mm Hg
240 mm Hg
Vous recevez aux urgences un patient de 55 ans présentant un tableau brutal d'hypoesthésie de l’hémicorps droit et de l’hémiface droite. Il n’a pas d’antécédent particulier. A l’examen clinique sa tension artérielle est à 150/85 mmHg, avec une fréquence à 110/min. L’examen neurologique ne retrouve pas de déficit moteur ni de trouble cognitif. Le score de Glasgow est à 15. L’auscultation cardiaque est irrégulière avec une fibrillation auriculaire à l’électrocardiogramme. Vous suspectez un AVC ischémique. Quel territoire cérébral est le plus probablement atteint ?
Thalamique gauche
Protubérantiel gauche
Frontal gauche
Capsule interne gauche
Pariétal gauche
Vous recevez aux urgences un patient de 60 ans, sans antécédent particulier. Il vient de présenter de manière brutale un déficit hémi corporel droit, apparu il y a 1 heure. Son examen clinique retrouve une tension à 140/80 mmHg, une fréquence cardiaque à 80/min. Le score de Glasgow est à 15. Le scanner cérébral réalisé en urgence est normal. Vous suspectez un AVC d’origine ischémique, et vous voulez adresser votre patient en centre spécialisé pour une indication de thrombolyse intraveineuse. Dans quel délai maximal disposez-vous pour adresser le patient depuis le début de son symptome? (@NO-RANDOM@)
4h30
2h30
3h30
5h30
6h30
Un jeune homme de 17 ans sans antécédents est amené aux urgences par des amis car il est très agité et se plaint d’une multitude de symptômes : tremblements, nausées, douleurs abdominales, sensation de dépersonnalisation. L’examen physique ne retrouve pas de signe clinique objectif, en particulier ses constantes sont normales (PA 130/80, pouls, 95/min, T° 37°C). Quel élément déclencheur allez-vous rechercher en priorité à l'interrogatoire ?
Une prise de cannabis
Un événement de vie
Une intoxication au CO
Une phobie animale
Une dysthyroïdie
Vous revoyez en consultation une femme âgée de 44 ans, pour une répétition d’attaque de panique durant les quelques mois précédents. Quel est le meilleur traitement de fond à mettre en place dans le cadre de ce trouble panique ?
Antidépresseur
Anxiolytique
Hypnotique
Bétabloquant
Neuroleptique
Vous examinez une patiente de 40 ans qui se présente seule aux urgences pour une attaque de panique. Celle-ci se connait bien car elle a déjà présenté des épisodes similaires dans les mois précédents. Quel élément de gravité allez-vous rechercher en priorité lors de l'entretien ?
Un risque suicidaire
Une addiction aux benzodiazépines
Une addiction à l'alcool
Un trouble obsessionnel compulsif
Un syndrome dépressif
Vous examinez une patiente de 18 ans sans antécédents aux urgences, amenée par sa soeur car elle la trouve très agitée. La crise est arrivée très vite, la patiente se plaint d’étouffement, de sueurs et de tremblements. Sur le plan physique, l’examen et les constantes sont normaux. Quel est le meilleur examen à réaliser afin d’éliminer une étiologie organique ?
Une glycémie capillaire
Un ionogramme sanguin
Une calcémie ionisée
Un dosage de TSH
Un dosage de troponine
Une femme âgée de 43 ans, sans antécédents, est amenée par son mari aux urgences de l’hôpital pour un état d’agitation intense. L’examen physique est sans particularité ; les constantes sont les suivantes : PAS : 135/70, pouls 100/min, T° 36,8°C. Quel signe recherchez-vous qui serait le plus évocateur d’un état délirant ?
Des hallucinations auditives
La peur de mourir Des hallucinations
Un sentiment de déréalisation
Des tremblement diffus
Un sentiment de dépersonnalisation
Vous examinez une patiente âgée de 70 ans amenée par son fils pour des propos délirants. Celui –ci vous dit que sa mère tient des propos délirants depuis plus de 24 heures. L’examen physique est sans particularité, les constantes sont les suivantes : PA 140/85, pouls 83/min, T°36,5°C. Quel signe allez-vous recherchez à l’examen clinique qui serait le plus en faveur d’un syndrome confusionnel ?
Des hallucinations acoustiques
Des hallucinations cénesthésiques
Une adhésion totale au délire
Un retentissement anxieux
Une désorientation temporo-spatiale
Une patiente de 32 ans est hospitalisée dans votre service dans le cadre d’une psychose débutante. Vous décidez d’initier un traitement par neuroleptique. Quelle anomalie la plus dangereuse recherchez-vous systématiquement à l'électrocardiogramme avant de mettre en place la prescription ?
Un allongement du segment QT
Un microvoltage diffus
Un sous décalage du segment ST
Un raccourcissement du PR
Une inversion de l’onde T
Vous revoyez en consultation de suivi un jeune patient de 23 ans, un mois après la mise en place d’un traitement neuroleptique dans le cadre d’une psychose débutante. Devant son traitement, qu’allez-vous rechercher an priorité chez ce patient à l’examen clinique ?
Un syndrome malin
Une crise tonico-clonique
Une dyskinésie aiguë
Une constipation opiniâtre
Une hypotension orthostatique
De garde aux urgences, un homme de 50 ans vous est amené par ses voisins car il hurle des paroles incohérentes, il est impossible de le calmer ou de discuter avec lui, il est très agité. Il ne semble pas avoir consommé de l’alcool. Ses constantes sont normales : PA 135/80, pouls 90/min, T°37,4°C. Devant un état délirant aigu, quel traitement médicamenteux est le plus adapté pour améliorer son agitation ?
Halopéridol
Amitriptyline
Valproate
Fluoxetine
Lithium
Vous voyez en consultation en urgence une patiente de 65 ans pour dyspnée aigue. Elle n’a pas d’antécédent particulier, elle est fumeuse à raison de 1 paquet par jour depuis 30 ans. A l’examen clinique vous retrouvez une tension à 140/80 mmHg, une fréquence cardiaque à 95/min et une saturation à 90%. L’auscultation pulmonaire retrouve une diminution du murmure vésiculaire de la base gauche. La radiographie pulmonaire confirme un épanchement pleural gauche. La ponction exploratrice retrouve des cellules tumorales de carcinome épidermoïde. Quel cancer primitif devez-vous rechercher en priorité ?
Broncho-pulmonaire
Mammaire
ORL
ovarien
colique
Vous revoyez en consultation un patient de 35 ans qui habite Kratie et qui vous consulte une 3e fois en 2 mois pour une pleurésie droite récidivante. Il n’a pas d’antécédent particulier. A l’examen clinique vous retrouvez une température à 38°C, une tension à 130/75 mmHg, une fréquence cardiaque à 90/min, une fréquence respiratoire à 22/min et une saturation en air à 95%. L’auscultation pulmonaire retrouve une diminution du murmure vésiculaire à mi- champ à droite. Les différentes ponctions pleurales réalisées retrouvent toujours une pleurésie lymphocytaire. Il n’y a pas d’autre documentation bactériologique, ni de cellules tumorales. Quel traitement est le plus approprié en première intention ?
Anti tuberculeux
Anti coagulation
Antibiothérapie
Corticothérapie
Anti allergique

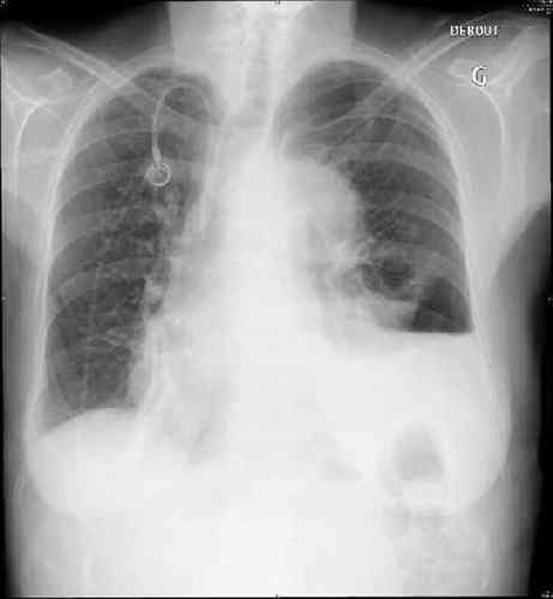
Vous voyez en consultation en urgence une patiente de 35 ans, pour douleur thoracique. Elle est suivie habituellement pour un cancer du sein. A l’examen clinique vous retrouvez une tension à 125/70 mmHg, une fréquence cardiaque à 65/min et une saturation à 96%. L’auscultation pulmonaire retrouve une diminution du murmure vésiculaire de la base gauche. Vous faite une ponction pleurale exploratrice. Le cliché pulmonaire de contrôle est le suivant.Quelle est votre prise en charge en urgence ?
Drainage thoracique
Oxygénothérapie
Exsufflation à l’aiguille
Surveillance simple
Ventilation non invasive

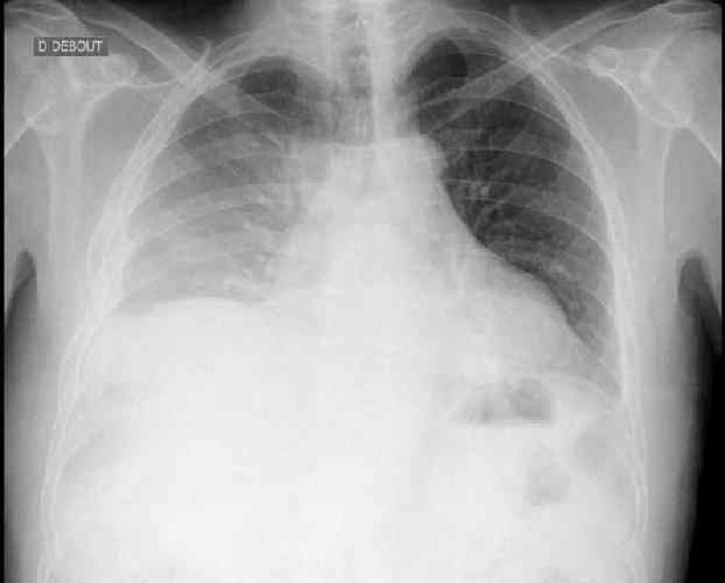
Vous voyez en consultation en urgence un patient de 65 ans pour dyspnée aigue. A l’examen clinique vous retrouvez une tension à 135/80 mmHg, une fréquence cardiaque à 95/min et une saturation à 91%. L’auscultation pulmonaire retrouve une diminution du murmure vésiculaire à gauche et une matité complète à gauche. Vous faites une radiographie pulmonaire en urgence dont voici le cliché. Quel est le diagnostic le plus probable ?
Pleurésie gauche compressive
Atéléctasie du poumon gauche
Pneumothorax gauche complet
Pneumothorax droit complet
Pneumomédiastin
Vous faites une ponction pleurale droite à un homme de 73 ans présentant un épanchement pleural modéré bilatéral. A l’examen clinique vous retrouvez une tension à 130/80 mmHg, une fréquence cardiaque à 75/min et une saturation à 92%. L’auscultation pulmonaire retrouve une diminution du murmure vésiculaire à mi- champ à droite. Le résultat cytobiochimique de la ponction est le suivant : taux de protéine = 19 g/L; éléments nucléés: 300 leucocytes /mm3. Il n’y a pas d'éléments nucléés atypiques et le liquide est stérile. Quel est le diagnostic le plus probable ?
Insuffisance cardiaque gauche
Mésothéliome
épanchement parapneumonique
Asbestose
Pleurésie purulente
Vous voyez aux urgences une patiente pour douleur thoracique aigue. Elle est suivie pour une cardiopathie ischémique sous traitement par aspirine 75 mg. Son examen clinique retrouve une tension artérielle à 140/85 mmHg, une fréquence cardiaque à 85/min, une fréquence respiratoire à 28/min, une saturation à 94%. L’auscultation pulmonaire retrouve une abolition du murmure vésiculaire à gauche. Quel examen paraclinique devez-vous faire en priorité ?
Radiographie thoracique
Scintigraphie cardiaque
Scanner thoracique
échographie cardiaque
Vous voyez en consultation en urgences un patient de 25 ans pour récidive d’un pneumothorax. Il a déjà présenté il y a 2 ans un pneumothorax droit complet. Il n’a pas de comorbidités. A l’examen clinique sa tension est à 140/80 mmHg, la fréquence cardiaque à 90/min, la fréquence respiratoire à 30/min, et la saturation en air à 93%. L’auscultation pulmonaire retrouve une abolition du murmure vésiculaire à droite. La radiographie pulmonaire confirme le pneumothorax droit complet non compressif. Quelle stratégie thérapeutique proposez-vous pour cette récidivede pneumothorax ?
Drainage thoracique exclusif à droite
Pleurodèse à droite
Exsufflation à l’aiguille à droite
Thoracostomie droite
Pleurodèse à gauche
Vous voyez en consultation de suivi un patient de 22 ans, pour la surveillance de son 1er épisode de pneumothorax spontanée idiopathique. Il n’a pas d’antécédent particulier. Son examen clinique est normal avec une tension à 125/80 mmHg, une fréquence cardiaque à 65/min, une fréquence respiratoire à 18/min, une saturation à 100%. L’auscultation pulmonaire est normale. Quelle contre-indication principale devez-vous lui recommander ?
Définitive à la plongée sous-marine
Temporaire (12 mois) aux voyages aériens pressurisés
Temporaire (3 mois) Ã l'effort physique intense
Définitive aux séjours en altitude > 2500m
Définitive au parachutisme
Aux urgences, vous voyez un patient pour pneumothorax droit complet. Il n’a pas d’antécédent particulier. Il n’y a pas de facteur déclenchant évident à ce pneumothorax. Son examen retrouve une tension à 130/80 mmHg, une fréquence cardiaque à 80/min, une fréquence respiratoire à 25/min, une saturation à 96%. L’auscultation pulmonaire montre une abolition du murmure vésiculaire à droite. Quel est d’après vous la lésion la plus vraisemblablement responsable de ce pneumothorax spontané idiopathique ?
Blebs
Bulle d'emphysème
Kyste
Caverne
Bronchectasie

Vous voyez aux urgences un patient pour douleur thoracique aigue. Il n’a pas d’antécédent particulier. Son examen clinique est normal avec une tension à 135/80 mmHg, une fréquence cardiaque à 85/min, une fréquence respiratoire à 22/min, une saturation à 99%. L’auscultation pulmonaire est normale. Vous faite une radiographie pulmonaire (cliché ci-joint). Quel est le diagnostic le plus probable ?
Un pneumothorax partiel apical gauche
Un pneumothorax complet droit
Une pleurésie de moyenne abondance gauche
Un pneumothorax partiel basal droit
Une pleurésie cloisonnée droite
Vous suivez un patient de 23 ans pour un asthme allergique. Il vous consulte aujourd'hui car ses crises sont de plus en plus fréquentes à raison de 3 à 4 par semaine, avec des crises nocturnes. La prise de bronchodilatateur de courte durée d’action environ 5 fois par semaine le soulage bien. Votre examen retrouve une auscultation pulmonaire normale. UneFfréquence respiratoire à 21/minute; un pouls à 68 bpm; une tension artérielleà 126/78mmHg et une SpO2 à 100%. Son peak-flow (DEP) est à 650 L/min comme à son habitude à l'état stable. Quel est le diagnostic le plus probable ?
Asthme non contrôlé
Asthme bien contrôlé
Asthme partiellement contrôlé
Asthme aigu grave
Exacerbation asthme en crise modérée
Vous voyez en consultation un jeune homme de 21 ans pour un asthme. A l’interrogatoire, il rapporte des crises persistantes d’intensité modérée, à raison de 2 par semaine en moyenne. Il est apyrétique. L’examen clinique retrouve quelques sibilants en fin d’expiration, la tension artérielle est à 130/80 mmHg, sa fréquence cardiaque à 70/min et sa saturation en air à 100%. Son Peak-Flow est à 600 l/min comme habituellement. Son traitement de fond comporte un corticostéroïde inhalé à faible dose et du salbutamol à la demande. A votre avis, quelle est l’adaptation thérapeutique la plus appropriée ?
Ajout d’un bronchodilatateur de longue durée
Ajout d’un corticostéroïde inhalé forte dose
Ajout d’une corticothérapie systémique
Ajout d’omalizumab
Ajout de théophylline
Vous suivez depuis 4 ans un jeune garçon âgé de 8 ans, pour un asthme saisonnier. Son examen clinique ce jour est normal avec une tension à 125/80 mmHg, une fréquence cardiaque à 70/min, et une saturation à 99%. Vous suspectez une origine allergique à cet asthme.. Vous souhaitez l’évaluer car vous envisagez une désensibilisation. Quel est le meilleur examen complémentaire pour étudier la sensibilisation IgE-dépendante ?
Tests cutanés (prick tests)
Dosage sérique des IgE totales
Dosage des éosinophiles sanguins
Dosage sérique de la tryptase
Tests de provocation bronchique
Un homme de 43 ans consulte en pneumologie pour une rhinite allergique. Il présente des symptômes d'éternuement, de rhinorrhée et de prurit tous les ans depuis 3-4 ans. Ces symptômes durent habituellement 4 à 5 mois consécutifs dans l'année. Ces symptômes le gênent fortement dans son métier de cultivateur de riz; l'empêchant notamment d'être dans la rizière certains jours. Quel est le stade de cette rhinite selon la classification ARIA (Allergic Rhinitis and Its Impact on Asthma) ?
Persistante sévère
Persistante modérée
Persistante légère
Intermittente sévère
Intermittente légère
Vous voyez en consultation d’allergologie, une patiente de 12 ans pour un bilan initial de rhinite allergique. Son examen clinique est normal avec une tension artérielle à 120/75 mmHg, une fréquence cardiaque à 65/min et une saturation en air à 99%. Vous expliquez à ses parents le mécanisme de la rhinite allergique. Selon la classification de Gell et Coombs, à quelle catégorie d'hypersensibilité appartient son allergie ?
Type 1
Type 2
Type 3
Type 4
Vous diagnostiquez une BPCO stade 2 à un fumeur non sevré de 46 ans. Il n'y a pas encore de complication. Son examen clinique est normal avec une tension artérielle à 130/80 mmHg, une fréquence cardiaque à 70/min, sa saturation en air est à 95%. Quelle est la principale modalité thérapeutique à mettre en oeuvre pour prendre en charge cette BPCO ?
Sevrage tabagique
Bronchodilatateur de courte durée d'action
Kinésithérapie respiratoire
Oxygénothérapie
Vaccination antigrippale annuelle
En consultation de pneumologie, vous faite le bilan d’une BPCO de découverte récente chez un patient de 55 ans. A l’examen clinique, la saturation en air est à 91%, la tension artérielle à 125/65 mmHg et la fréquence cardiaque à 75/min. Quel est l'examen le plus facilement réalisable en consultation, qui vous permettra de déterminer la tolérance à l'exercice de votre patient ?
Test de marche des 6 minutes
Mesure du débit expiratoire de pointe (Peak-flow)
Scanner thoracique
VO2 Max
Scintigraphie pulmonaire d'effort
Un de vos patients, connu pour une BPCO de stade 2 stable, consulte aux urgences pour une dyspnée aiguë survenue brutalement il y a 2 heures. Sa saturation en air ambiant est à 84%, sa fréquence respiratoire est à 38/min, il est fébrile à 38.2°C. La tension artérielle est à 130/80 mmHg, avec une fréquence cardiaque à 85/min. L’auscultation retrouve des ronchii du champ pulmonaire droit. Les gaz du sang en urgence montre un pH à 7.38, une pO2 à 50 mmHg et une pC02 à 43 mmHg. Quel est le traitement à débuter en première intention et en urgence à ce patient ?
Oxygène
Ventilation non-invasive
Diurétique intraveineux
Salbutamol intraveineux
Ventilation invasive
En consultation de suivi pneumologique, vous revoyez un patient de 65 ans suivi pour insuffisance respiratoire chronique. A l’interrogatoire, il vous dit devoir d’arrêter au bout d’une centaine de mètre de marche en raison de son essoufflement. A l’examen clinique, sa tension artérielle est à 115/75 mmHg, sa fréquence cardiaque à 75/min et sa saturation en air ambiant à 90%. Quelle est son stade de dyspnée selon l’échelle du MRC (Medical Research Council) ?
3
1
0
2
4
Vous voyez en consultation de pneumologie un patient de 50 ans pour dyspnée aiguë. A l’examen clinique, la tension est à 120/80 mmHg, sa fréquence cardiaque à 90/min et la saturation à 88% en air ambiant. A l’inspection, il présente un tirage respiratoire. Quel muscle respiratoire accessoire met-il en jeu ? ?
Sterno-cléido-mastoïdiens
Diaphragme
Deltoide
Dilatateurs du pharynx
Trapèzes
Vous traitez une femme de 45 ans pour des infections urinaires à répétition. Devant l’inefficacité du traitement mis en place chez cette patiente sans facteur de risque urologique, vous décidez de demander un antibiogramme en complément de l’examen cytobactériologique des urines. Quel est le type de résistance antibiotique le plus probable ?? Escherichia coli Amoxicilline : Résistant Amoxicilline-acide clavulanique : Intermédiaire Ticarcilline : Résistant Pipéracilline-tazobactam : Intermédiaire Cefalotine : Résistant Cefuroxime : Résistant Cefoxitine : Sensible Ceftriaxone : Résistant Imipenem : Sensible
Bétalactamase à spectre élargir
Pénicillinase de bas niveau
Imperméabilité membranaire
Modification de l'ADN gyrase
Mécanisme actif d'efflux
Une agricultrice de 54 ans est hospitalisée dans votre service pour une hématémèse. L’examen clinique retrouve des signes cliniques d’hypertension portale. L’hémodynamique est conservée, la numération de formule sanguine met en évidence une hyperéosinophilie. L’échographie abdominale retrouve des nodules hépatique et splénique avec hypertension portable sévère. La sérologie revient positive en IgM pour Schistosoma mekongi. Quel est le traitement le plus approprié ?
Praziquentel
Ivermectine
Albendazole
Diéthylcarbamazine
Metronidazole
Vous suivez en consultation un patient âgé de 62 ans traité par quadrithérapie antituberculeuse. A un mois du début du traitement, il se plaint de paresthésies des membres inférieurs. Vous constatez une abolition des réflexes ostéotendineux. Quelle est la molécule la plus probablement en cause ?
L'isoniazide
La rifampicine
L’amikacine
Le pyrazinamide
L'ethambutol
Un homme de 40 ans consulte à votre cabinet pour des douleurs de la face associées à des céphalées dans un contexte fébrile. Ses constantes sont les suivantes : PA 125/75, pouls 80/min, T° 38,3°C. Vous diagnostiquez une sinusite maxillaire et prescrivez de l’erythromycine. De quel effet secondaire le plus fréquent informez-vous le patient ?
Troubles digestifs
Insuffisance rénale
Photosensibilisation
Cytolyse hépatique
Réactions allergiques
Vous êtes le chirurgien qui opère Mme Tola, 27 ans, sans antécédents, d'une péritonite appendiculaire. Son examen clinique est normal avec un poids à 45 kg, une tension artérielle 120/80 mmHg et une fréquence cardiaque à 65/min. Quelle antibiothérapie est la plus appropriée en post opératoire ?
Ceftriaxone 1 gr par jour + Metronidazole 500 mg 3 fois par jour pendant 7 jours
Gentamicine 3 mg/kg + ciprofloxacine 500 mg 2 fois par jour pendant 10 jours
Amoxicilline + acide clavulanique 1 gr 3 fois par jour pendant 48h
Piperacilline 4 gr 3 fois par jour pendant 7 jours
Amoxicilline 1 gr 3 fois par jour pendant 10 jours
De garde en réanimation, vous recevez Melle Chovyvann, 27 ans, amenée par sa famille pour hyperthermie à 39,4° et altération de l'état général depuis 48 heures. A l'examen physique, la patiente est pâle, marbrée aux genoux, son Glasgow est à 14. Vous notez : fréquence respiratoire à 34/min, SpO2 88%, fréquence cardiaque 126/min, pression artérielle 70/50 mmHg, oligurie. Quel est le traitement à débuter en urgence ?
Antibiothérapie large spectre type pipéracilline-tazobactam
Diurétiques de l'anse type furosémide
Hydratation par Glucosé 5% 500 ml/24H Paracétamol 1 gramme intraveineux
Transfusion en urgence par 2 concentrés globulaires
De garde en pédiatrie, vous examinez le jeune Kolbot, 6 ans, prostré, avec une fièvre en plateau à 40° depuis le matin. Il geint quand on allume la lumière. A l’examen clinique, la tension artérielle est à 110/70 mmHg, la fréquence cardiaque à 85/min. Vous retrouvez une raideur de nuque. Vous réalisez une ponction lombaire. L'examen direct en urgence retrouve un diplocoque gram négatif. De quel germe s'agit-il le plus probablement?
Neisseria meningitidis
Streptococcus pneumonia
Virus du groupe herpes
Haemophilus influenzae
Mycobacterium tuberculosis
Interne de garde aux urgences de Battambang, vous recevez M. Sopheap, 72 ans, sans antécedent, déposé par sa famille car légèrement confus, marbré aux genoux, fébrile à 39,2°. La tension artérielle est à 140/70 mmHg avec une fréquence cardiaque à 100/min. Les premiers résultats biologiques retrouvent des GB à 24000/mm^3 et une créatininémie à 322 μmol/l. Quelle est le diagnostic le plus approprié ?
Sepsis sévère
Septicémie
Choc septique
Sepsis
Syndrome de Réponse Inflammatoire Systémique
Chirurgien orthopédiste, vous revoyez en consultation de contrôle M. Sophorn, 53 ans, conducteur de motodop, 30 jours après son intervention chirurgicale (fixateur externe pour fracture complexe de la jambe droite). L'examen clinique retrouve : des orifices de fixateur propres, peu inflammatoires, un état cutané satisfaisant et une consolidation osseuse sur la radiographie de contrôle. Vous notez par ailleurs une douleur légère de toute la jambe à la palpation et un oedème modéré par comparaison à l'autre jambe. Les paramètres vitaux sont : PA 125/65 mHg, FC 90 min, FR 23/min et T° 38,2. Quel est le diagnostic le plus probable ?
Phlébite
Pneumopathie secondaire à l'alitement
Allergie au matériel de fixation
Erysipèle
Infection du site opératoire
Interne de garde à l'Hôpital National Pédiatrique, vous accueillez le petit Chanty, 18 mois, amené par sa mère pour une fièvre importante associée à des frissons et une altération de l'état général. A l’examen clinique, la température est à 39.2°C, la tension artérielle à 90/60 mmHg, la fréquence cardiaque à 95/min. L’auscultation cardiopulmonaire est normale, l’examen cutané retrouve des éléments purpuriques. Quel traitement administrez-vous en urgence avant tout prélèvement ?
Ceftriaxone 50 mg/kg
Peni G 100 000 unités/kg
érythromycine 10 mg/kg
Vancomycine 15mg/kg
Aciclovir 20 mg/kg
M. Satya , 68 ans, présentant comme antécédent principal un diabète non insulino dépendant, est hospitalisé pour fièvre avec altération de l'état général depuis plusieurs semaines. Son poids est à 50 kg, sa tension artérielle à 100/65 mmHg, sa fréquence cardiaque à 90/min et sa température à 39°C. Le bilan initial montre un syndrome inflammatoire biologique. Le bilan à la recherche de tuberculose est négatif. Devant l'absence de diagnostic vous faîtes réaliser un scanner thoracique et abdominal. Celui-ci montre une petite lésion excavée apicale droite ainsi que de multiples abcès hépatiques et spléniques. Les hémocultures montrent un petit bacille gram négatif. Quel est le diagnostic le plus probable ?
Mélioïdose
Endocardite infectieuse à staphylocoque
Pneumopathie à Pseudomonas aeruginosa
Tuberculose avec atteinte hépato splénique
Amibiase hépatosplénique
Vous traitez actuellement M. Saram, 48 ans pour une fièvre en plateau. A l’examen clinique, vous retrouvez un ulcère de jambe chronique. La température est à 38.5°C, la tension artérielle à 125/75 mmHg, la fréquence cardiaque à 80 /min. Vous récupérez les examen biologique suivants : ECBU négatif, ECBC négatif, 3 hémocultures à 1 h d’intervalle positives à Staphylocoque Aureus. Quel est l’examen le plus approprié dans la suite de la prise en charge ?
Une échocardiographie transthoracique
Un scanner thoracique
Une échographie des tissus mous de la porte d'entrée
Un scanner des sinus
Un panoramique dentaire
Interne de garde aux urgences obstétricales, vous voyez Mme Sivantha, 28 ans, G3P2, pour une fièvre associée à des lombalgies et des contractions utérines ayant débuté quelques heures plus tôt. Sa tension artérielle est à 135/80 mmHg, sa fréquence cardiaque à 90/min et sa température à 38.8°C. Vous suspectez une pyélonéphrite bactérienne. Quelle est la bactérie la plus probablement en cause ?
Escherichia coli
Neisseria gonorrhoeae
Listeria monocytogenes
Streptococcus du groupe B
Staphylococcus aureus
M. Oum, 53 ans, se présente aux urgences de votre clinique pour fièvre associée à des frissons. Il n’a aucun antécédent particulier. A l’examen clinique, la tension artérielles est à 140/80 mmHg, la fréquence cardiaque à 95/min, et la température à 39°C. Vous remarquez un érysipèle du membre supérieur probablement secondaire à une lésion cutanée du poignet droit. Vous faites prélever des hémocultures, le laboratoire vous appelle le lendemain pour vous signaler quelles sont positives à streptocoque. Quelle antibiothérapie vous semble la plus adaptée dans l’attente de l’antibiogramme ?
Amoxicilline 1 gr 3 fois par + gentamycine 3 mg/kg
Vancomycine 15 mg/kg/j + ofloxacine 200mg 2 fois par jour
Ceftriaxone 2 gr par jour + amikacine 20 mg/kg/j
Streptomycine 1 gr par jour
Ciprofloxacine 500 mg 2 fois par jour
Un jeune homme de 18 ans sans comorbidités consulte à votre cabinet pour une dyspnée fébrile depuis 48 heures. A l’auscultation vous retrouvez un foyer de crépitants en base gauche. Ses constantes sont les suivantes : PA 15/60, pouls 105/mn, T° 38,4°C, SP02 97%. Quel serait le meilleur traitement probabiliste ici ?
Amoxicilline
Ceftriaxone
Piperacilline
Penicilline G
Ofloxacine
Un nourrisson de 6 mois est amené par ses parents pour une dyspnée sifflante apparue dans le 24 heures. L’enfant présente un freinage expiratoire avec une polypnée superficielle. Ses constantes sont les suivantes : PA 80/40, pouls 130/min, T° 38,2°C, Sp02 93%. Vous ne retrouvez pas de foyer à l’auscultation. Quel germe sera le plus probablement en cause dans ce cas ?
Virus respiratoire syncitial
Streptococcus pneumoniae
Staphylococcus aureus
Virus influenzae type A
Haemophilus influenza type B
Vous examinez une femme de 40 ans à votre cabinet pour une dyspnée dans un contexte fébrile depuis 48 heures. Elle présente un toux productive. Les constantes sont les suivantes : PA 110/60, pouls 100/min, t° 38,5°C, Sp02 94%. A l’examen vous retrouvez des crépitants en foyer. Quel score, facilement calculable en médecine ambulatoire, est le meilleur indicateur de gravité dans ce cas ?
Score CRB65
Score de Genève
Score de Borg
Score de Glasgow
Score de Bold

Un homme de 35 ans, fumeur, se présente à votre consultation pour fièvre et toux depuis environ 1 semaine. Vous faites réaliser cette radiographie pulmonaire. Quel est le diagnostic le plus probable ?
Pneumonie aiguë communautaire
Bronchopneumopathie obstructive
Bronchite aiguë communautaire
Tuberculose pulmonaire latente
Abcès pulmonaire excavé
En tant qu’expert du paludisme, vous êtes interrogé par le ministère de la santé afin de diminuer l’incidence de la maladie dans la population cambodgienne. Quelle mesure préventive est la plus efficace pour faire baisser durablement l'incidence du paludisme ?
Utilisation systématique de moustiquaires la nuit
Utilisation régulière individuelle de répulsifs antimoustiques
Traitement prophylactique individuel au long cours
Campagnes régulières de démoustiquation
Traitement précis des cas de paludisme
Un homme de 40 ans est hospitalisé en soins intensifs dans le cadre d’une fièvre avec confusion. Ses constantes sont les suivantes : PA 80/45 mmHg, pouls 120/min, T°39,2°C. Le bilan biologique est le suivant : Hb 5,2g/dl, Plaquette 40G/L, Glycémie 2,2mmol/L, Frottis Goutte épaisse positif. Quelle espèce est la plus proablement en cause dans ce cas ?
Plasmodium falciparum
Plasmodium knowlesi
Plasmodium malariae
Plasmodium ovale
Plasmodium vivax
Un jeune homme de 32 ans consulte à votre cabinet pour une fièvre depuis deux jours associée à un syndrome pseudogrippal. Ses constantes sont les suivantes : PA 120/65, pouls 95/min, T° 38,7°C. Le frottis goutte épaisse est positif. Il n’existe pas de signe clinique de gravité. Bandelette urinaire négative. Au niveau biologique : Hb 12g/dl, Plaquettes 70 G/L, Glycémie 6,7mmol/l, ionogramme et fonction rénale normale.
Arthémeter-luméfantrine
Quinine
Mefloquine
Atovaquone-proguanil
Quinine -clindamycine
De garde aux urgences, vous examinez une femme de 45 ans, qui consulte pour fièvre depuis 24 heures. Les constantes sont les suivantes : PA 105/55, pouls 110/min, T° 39, 1°C. Vous diagnostiquez un accès palustre. Quel examen complémentaire est le plus approprié avant l'administration d'une dose de charge de quinine intraveineuse afin d'éliminer une éventuelle contre-indication ?
Glycémie à jeun
Numération de formule sanguine
Créatinine plasmatique
Electrocardiogramme
Radiographie pulmonaire
Vous recevez en consultation à votre cabinet un homme âgé de 50 ans se plaignant de fièvre et céphalées depuis 48 heures. Ses constantes sont les suivantes : PA 110/55, pouls 100/min, T° 38,6°C. Chez ce patient, quel signe serait le plus évocateur d’un diagnostic de paludisme ?
Algie diffuse
Photophobie
Diarrhée sanglante
Eruption maculaire
Polyadénopathie
Un homme de 35 ans très inquiet vient consulter à votre cabinet afin de réaliser un test de dépistage du VIH après un rapport sexuel à risque. Ses constantes sont les suivantes PA 120/70, pouls 65/min, T° 37°C. Le test est positif, quelle est la prise en charge la plus appropriée ?
Confirmation par un test ELISA
Mise en place d’un traitement antirétroviral
Réalisation d’un deuxième test rapide
Mesure d’une charge viral e VIH
Vous voyez pour la première fois en consultation une jeune femme de 25 ans, adressée par son médecin traitant dans le cadre de la découverte d’une séropositivité pour le VIH. Ses constantes sont les suivantes PA 120/70, pouls 65/min, T° 37°C. Quelle complication classe recherchez-vous en faveur d’un stade 4 OMS ?
Tuberculose ganglionnaire
Tuberculose pulmonaire dans l'année
Leucoplasie chevelue de la langue
Candidose vulvovaginale persistante
Pneumopathie bactérienne sévère
Vous suivez depuis peu dans une ONG un patient de 36 ans, séropositif pour le VIH et le VHB. Quelle est la meilleure proposition thérapeutique chez ce patient asymptomatique ayant 457 CD4/mm3 sans autre antécédent ?
Ténofovir + emtricitabine + efavirenz
Pas de traitement antirétroviral car CD4 > 350 /mm3
Zidovudine + lamivudine + efavirenz
Ténofovir + emtricitabine + atazanavir/ritonavir
Ténofovir + emtricitabine + névirapine
Un diagnostic de tuberculose ganglionnaire et pulmonaire surinfectant un VIH est posé chez un patient de 32 ans. Ses lymphocytes T CD4 sont à 34/mm3. Une quadrithérapie antituberculeuse est initiée, suivi deux semaines plus tard par un traitement antirétroviral. Trois semaines plus tard, le patient est fébrile et les ganglions cervicaux présents au moment du diagnostic grossissent brutalement. Leur ponction ne retrouve que des BAAR à l'examen direct. Quel est le diagnostic le plus probable ?
Syndrome de restauration immunitaire
Lymphome cervical associé à la tuberculose
Echec du traitement antituberculeux
Nfection à mycobactérie atypique associée
Effets secondaires des antirétroviraux
Un jeune homme de 30 ans consulte à votre cabinet pour dysurie associée à des brûlures mictionnelles intenses depuis 24 heures. Ses constantes sont: TA 120/70 mmHg; pouls 90/min; T° 38,5°C. L’examen cytobactériologique des urines que vous lui avez fait réaliser montre des bacilles gram négatif à l’examen direct. Quelle est la bactérie la plus probablement en cause dans ce contexte de prostatite aiguë?
Escherichia coli
Neisseria gonorrheae
Chlamydia trachomatis
Ureaplasma uralyticum
Enterococcus faecalis
Un bébé de 18 mois est amené par sa grand-mère à votre cabinet pour une fièvre inexpliquée. A l’examen clinique, l’enfant est rouge, il pleure quand vous palpez ses fosses lombaires. Ses constantes sont: TA 80/40 mmHg; pouls 120 /min; T° à 39°C. Quel est le meilleur traitement probabiliste d'une pyélonéphrite aiguë chez ce jeune enfant?
Ceftriaxone
Amoxicilline-acide clavulanique
Ciprofloxacine
Cefalexine
Trimethoprime sulfamethoxazole
Une jeune femme de 23 ans sans antécédents particuliers consulte à votre cabinet pour fièvre associée à des brûlures urinaires et des douleurs lombaires depuis le début 48 heures. Ses constantes sont: TA 125/60mmHg; pouls 70/min; Temp à 38,5°C. Quel est la meilleure prise en charge dans les suites d'une pyélonéphrite aiguë simple ? (ECBU signifie examen cytobactériologique des urines)
L’abstention de tout examen devant un premier épisode en l’absence d’antécédent
La réalisation d’un ECBU 48 heures après l'arrêt des antibiotiques
La réalisation d’un ECBU 48 heures et 6 semaines après l'arrêt des antibiotiques
La réalisation d’un uroscanner 4 semaines après la fin du traitement antibiotique
La réalisation d’une échographie rénale 4 semaines après l'arrêt des antibiotiques
Un homme de 73 ans consulte aux urgences de votre hôpital pour fièvre associée à une dysurie intense. Ses constantes sont: TA 95/30 mmHg; pouls 110 /min; Temp à 38,8°C. Quel est le meilleur traitement probabiliste à administrer en urgence chez un patient sans antécédent présentant une prostatite aiguë avec signes de sepsis sévère ?
Ceftriaxone et gentamicine
Amoxicilline-acide clavulanique et gentamicine
Ciprofloxacine et gentamicine
Trimethoprime sulfamethoxazole et gentamicine
Imipenem et gentamicine
Une femme âgée de 65 ans hospitalisée en service de gynécologie après hystérectomie présente une fièvre modérée associée à une pesanteur pelvienne. Ses constantes sont: TA 115/80 mmHg; pouls 80/min. Quelle proposition est le plus en faveur d'une infection urinaire sur sonde urinaire ? (ECBU signifie examen cytobactériologique des urines)
Patiente fébrile et ECBU retrouvant une leucocyturie à 106/mL et bactériurie à 106 ufc/mL
Patiente apyrétique et ECBU retrouvant une leucocyturie à 106/mL et bactériurie à 106 ufc/mL
Patiente fébrile et bandelette urinaire retrouvant une leucocyturie à 106/ml sans bactériurie
Patiente apyrétique et ECBU sans leucocyturie et bactériurie à 106 ufc/mL
Patiente fébrile et ECBU retrouvant une leucocyturie à 106/mL et bactériurie à 104 ufc/mL
Un patient de 38 ans actuellement traité pour une tuberculose contagieuse, vous amène son fils de 4 ans en consultation. L’enfant a une tension artérielle à 120/70 mmHg, une fréquence cardiaque à 70/min et sa température est à 37°C. Il vous pose la question de la nécessité d’un dépistage pour son fils. Que devez-vous faire dans ce cas ?
Un examen clinique puis une IDR Ã la tuberculine puis une radiographie thoracique
Un examen clinique puis une radiographie thoracique puis un test sanguin à l'interféron gamma
Un examen clinique puis une radiographie thoracique puis une IDR Ã la tuberculine
Un examen clinique puis un test sanguin à l'interféron gamma puis une radiographie thoracique
Aucun dépistage car l’enfant a de moins de 5 ans
Vous voyez en consultation de suivi un patient traité pour une tuberculose pulmonaire certaine par le traitement standard. A la visite, sa tension artérielle est à 135/75 mmHg, sa fréquence cardiaque à 75/min et sa température à 37.3°C. Combien de temps après l’initiation du traitement sera-t-il nécessaire de contrôler les crachats pour la première fois ?
A 2 mois
Jamais
A 15 jours
A 9 mois
A 12 mois
"Dans votre service de pneumologie, un patient de 38 ans est hospitalisé pour tuberculose pulmonaire. Il n’a pas d’antécédent particulier, et n’a jamais été traité pour la tuberculose. Son examen clinique retrouve une température à 38.2°C, une tension artérielle à 140/80 mmHg et une fréquence cardiaque à 95/min. Quel est le meilleur traitement pour cette.tuberculose pulmonaire ? H = isoniazid, R = rifampicin, Z = pyrazinamide, E = ethambutol, S = streptomycin"
HRZE pendant 2 mois puis HR pendant 4 mois
HRZE pendant 2 mois, puis HE pendant 6 mois
HRE pendant 3 mois, puis HR pendant 6 mois
RZE pendant 6 mois
HRZE pendant 4 mois, puis HR pendant 2 mois
Une patiente de 45 ans est hospitalisée dans votre service pour une tuberculose pulmonaire. Son examen clinique retrouve une tension artérielle à 136/77 mmHg, une fréquence cardiaque à 85/min et une température à 38°C. Dans le cadre du bilan de cette tuberculose, une co-infection virale doit être systématiquement recherchée. Quelle sérologie complémentaire devez-vous demander pour votre patiente ?
parvovirus B19
VIH
VHB
CMV
HHV6
"Dans votre service, vous prenez en charge en hospitalisation un homme de 35 ans. Il présente depuis 2 semaines environ, de la fièvre à 38.5°C et des hémoptysies. A l’examen clinique sa tension artérielle est à 120/75 mmHg, sa fréquence cardiaque à 90/min. L’auscultation pulmonaire retrouve des roncchii à droite. L’examen bactériologique des crachats est positif sur les 3 prélèvements successifs avec l’identification de mycobacterium tuberculosis. L'antibiogramme est le suivant : Isoniazide: Résistant Rifampicine: Résistant Ethambutol: Résistant Pyrazinamide: Sensible Amikacine: Sensible Levofloxacine: Sensible Quelle est la forme de cette tuberculose ?"
Tuberculose multi-résistante
Tuberculose multi-sensible
Tuberculose présentant un profil de sensibilité habituel
Tuberculose extrêmement résistante
Tuberculose résistante à un seul antituberculeux de première génération
Un petit garçon de deux ans est amené aux urgences de l’hôpital car celui-ci a présenté un épisode de convulsions spontanément résolutives dans un contexte fébrile. A l’examen clinique, l’enfant est hypotonique, ses constantes sont les suivantes : TA 70/40 mmHg; pouls 140 /min; T° 38,9°. Quel est le meilleur traitement chez cet enfant de 2 ans ?
Aciclovir 20 mg/kg/8 heures pendant 21 jours
Aciclovir 15 mg/kg/8 heures pendant 21 jours
Aciclovir 10 mg/kg/8 heures pendant 21 jours
Aciclovir 10 mg/kg/8 heures pendant 14 jours
Aciclovir 15 mg/kg/8 heures pendant 14 jours
Une jeune femme de 30 ans est amenée par son mari à votre cabinet car elle présente des céphalées très intenses depuis le début de la matinée. A l’examen clinique vous notez quelques éléments purpuriques des membres inférieurs et ses constantes sont les suivantes : TA 90/50 mmHg; pouls 120 /min; T° 39°C. Quel est le meilleur traitement à administrer dans ce cas?
Dexaméthasone 10 mg puis ceftriaxone 50 mg/kg
Ceftriaxone 50 mg/kg puis dexamethasone 20 mg
Dexaméthasone 10 mg puis ceftriaxone 25 mg/kg
Dexaméthasone 20 mg puis ceftriaxone 50 mg/kg
Ceftriaxone 25 mg/kg puis gentamycine 5mg/kg
Un homme de 25 ans consulte aux urgences de votre hôpital pour des céphalées progressivement croissantes depuis 2 jours, associées depuis quelques heures à une photophobie. Ses constantes sont: PA 110/55 mmHg; pouls 110 /min; T° à 38,2°C. Quel serait le résultat de la ponction lombaire le plus probable en cas de méningite tuberculeuse (glycémie à 5,2 mmol/L) ?
Eléments nucléés: 122/mm3 (90% de lymphocytes), glycorrachie: 1,8 mmol/L, protéinorachie: 1,7 g/L
Eléments nucléés: 122/mm3 (90% de lymphocytes), glycorrachie: 3,1 mmol/L, protéinorachie: 0,4 g/L
Eléments nucléés: 122/mm3 (90% de lymphocytes), glycorrachie: 3,1 mmol/L, protéinorachie: 1,7 g/L
Eléments nucléés: 122/mm3 (50% de lymphocytes), glycorrachie: 3,1 mmol/L, protéinorachie: 1,7 g/L
Eléments nucléés: 122/mm3 (50% de lymphocytes), glycorrachie: 1,8 mmol/L, protéinorachie: 1,7 g/L
Mme V, 38 ans est hypertendue et traitée pour un VIH. Elle se présente à sa consultation de suivi, sa tension artérielle est à 140/85 mmHg, avec une fréquence cardiaque à 75/min et une température à 37.1°C. Son bilan sanguin retrouve une hypophosphorémie chronique. Dans l'hypothèse d'une cause iatrogène, vous inspectez son ordonnance. Parmi ses médicaments habituels, lequel est le plus susceptible de provoquer cette anomalie ?
Furosemide
Ténofovir
Indapamide
cholécalciférol
Teriparatide
Un homme de 68 ans se présente aux urgences pour une hypercalcémie à 2.6 mmol/L. Il est dénutri, il pèse 48 kg. Sa tension artérielle est à 100/75 mmHg, sa fréquence cardiaque à 75/min et sa température à 37.3°C. Le bilan biologique retrouve également une hypoalbuminémie à 22 g/L. Quelle est la valeur de la calcémie corrigée ?
3.05 mmol/L
2.95 mmol/L
2.75 mmol/L
2.85 mmol/L
3.15 mmol/L
Mr X, 55 ans, est admis aux urgences pour un myélome multiple avec hypercalcémie. Son examen clinique retrouve une tension artérielle à 125/80 mmHg, une fréquence cardiaque à 85/min. Le patient est apyrétique. Un électrocardiogramme est réalisé. Parmi les manifestations électrocardiographiques suivantes, laquelle serait la plus évocatrice d'une hypercalcémie avec signes de gravité ?
Raccourcissement de l'espace QT
Allongement de l’espace QT
Sous-décalage de l'espace PQ
Ondes T amples et pointues
Ondes de Pardee (sus-décalage de l'espace ST)
Une femme de 70 ans est hospitalisée pour altération de l'état général. Son examen clinique retrouve une température à 37°C, une fréquence cardiaque à 65/min et une tension artérielle à 115/80 mmHg. Laquelle de ces manifestations cliniques est la plus évocatrice d'une hypercalcémie symptomatique ?
Constipation
Polyarthrite distale
Nystagmus
Toux sèche
Pyurie
Mr F est un patient de 35 ans suivi pour une sarcoïdose. Il est admis à l'hôpital en raison d'une hypercalcémie à 3,50 mmol/l. L’examen clinique retrouve une tension artérielle à 120/80 mmHg, une fréquence cardiaque à 75/min et une température à 37.2°C. Quel est le mécanisme le plus probablement responsable de l'hypercalcémie ici ?
Synthèse de 1 alpha hydroxylase par les macrophages des granulomes
Granulomes osseux responsables d'une hyperrésorption osseuse
Sécrétion de parathormone par les fibroblastes des granulomes
Diminution de l'excrétion tubulaire de calcium par néphropathie tubulaire
Hyperrésorption osseuse liée à la corticothérapie systémique
Un patient de 45 ans avec des antécédents dépressifs est admis aux urgences pour obnubilation, céphalées importantes et vomissements. Tenant un discours inapproprié, l'interrogatoire est difficile. Il présente des troubles de comportement et ne sait ni la date, ni le lieu où il se trouve. Vous le voyez regarder autour de lui, perdu. Sa femme vous dit qu'il boit « beaucoup trop de bière et que ça ne l'étonne pas qu'il soit maintenant dans cet état ». Vous apprenez aussi qu'il présente depuis quelques jours une gastro-entérite qui lui donne d'importantes diarrhées liquidiennes. Il a perdu 5 kg en 3 jours et présente à l'entrée une fébricule à 37,9°C. La tension artérielle est de 110/64 mmHg. À l'examen neurologique, on ne note pas de syndrome neuro-méningé, ni d'anomalie pupillaire. Vous ne retrouvez une réponse motrice qu'à la douleur. Quel est le score de Glasgow du patient ?
12
11
10
9
8
Un patient de 45 ans avec des antécédents dépressifs est admis aux urgences pour obnubilation, céphalées importantes et vomissements. Tenant un discours inapproprié, l'interrogatoire est difficile. Il présente des troubles de comportement et ne sait ni la date, ni le lieu où il se trouve. Vous le voyez regarder autour de lui, perdu. Sa femme vous dit qu'il boit « beaucoup trop de bière et que ça ne l'étonne pas qu'il soit maintenant dans cet état ». Vous apprenez aussi qu'il présente depuis quelques jours une gastro-entérite qui lui donne d'importantes diarrhées liquidiennes. Il a perdu 5 kg en 3 jours et présente à l'entrée une fébricule à 37,9°C. La tension artérielle est de 110/64 mmHg. À l'examen neurologique, on ne note pas de syndrome neuro-méningé, ni d'anomalie pupillaire. Vous ne retrouvez une réponse motrice qu'à la douleur. Quel est le diagnostic le plus probable?
Hyperhydratation intracellulaire
Hématome sous-dural aigu
Delirium tremens
Déshydratation extracellulaire
Encéphalopathie hépatique due à l'importante consommation d'alcool
Hypoglycémie par inhibition de la néoglucogenèse hépatique Syndrome de sevrage
{"name":"ECN 2", "url":"https://www.quiz-maker.com/QPREVIEW","txt":"Une patiente de 68 ans sans antécédent particulier commence une chimiothérapie à base de sel de platine pour un cancer du sein triple négatif avec envahissement ganglionnaire et osseux diffus. En post cure, vous avez prescrit du G-CSF, comme indiqué dans le protocole. Quinze jours après la première cure de chimiothérapie, elle présente une neutropénie fébrile à 450\/mm3 sans aucun signe de gravité résolutive en moins de 48 heures. Quelle prise en charge est la plus appropriée pour les prochaine cures ?, Vous recevez aux urgences une patiente de 49 ans, suivie pour un cancer du sein. Elle a bénéficié il y a 8 jours de sa 2e cure de chimiothérapie adjuvante par DOCETAXEL. Elle se présente pour une hyperthermie à 39.5°C avec des diarrhées à raison de 5 par jour, associé à des nausées. Elle n’a pas d’autre antécédent. A l’examen clinique, la tension artérielle à 90\/50 mmHg, sa fréquence cardiaque à 100\/min, sa fréquence respiratoire à 22\/min et la saturation à 90% en air ambiant. Elle n’a pas de marbrures. Ella a soif et présente un pli cutané. Le laboratoire vient de vous appeler pour vous prévenir que les leucocytes sont à 0.4 G\/L, les plaquettes à 45 G\/L et l’hémoglobine à 75 g\/L. Quel est le traitement que vous mettez en place en priorité ?, Vous revoyez en consultation un patient de 70 ans pour sa 1ere cure de chimiothérapie par CARBOPLATINE et ETOPOSIDE pour un cancer du poumon métastatique au niveau hépatique. Le diagnostic a été fait par biopsie hépatique. Il est suivi pour une hypertension sous atenolol. A l’examen clinique, la tension artérielle est à 135\/80 mmHg avec une fréquence cardiaque à 80\/min. Quel facteur de risque expose le plus à un risque d’aplasie fébrile ?","img":"https://cdn.poll-maker.com/10-462842/qcm-ecn.jpg?sz=1200"}
More Quizzes
AP
15818
What is the name of your soulmate?
6316
Brilliant Quiz
1586
How well do u know Ella Belka
1470
Photogenic Test - Are You Camera-Ready? Free Results
201021044
Which Vox Machina Character Are You? - Free
201020349
Retail Questions - Test Your Store Operations Knowledge
201021165
Ice Cream Personality Test - Discover Your Flavor
201018499
Soul Test: What Color Is Your Soul? Free & Instant
201021044
Who's Hotter Game: Female Celebrity Face-Off (Free)
201019612
Slips, Trips and Falls Safety - Test Your Knowledge
201019034
Charlie and Lola Character - Which One Are You?
201020805