B11 - Wirbelsäule Erkrankungen
Lasègue-Zeichen...
Ist ein Zeichen relevant für die Densfraktur Diagnose
Ist ein klinisches Zeichen, das im Rahmen einer neurologischen Untersuchung überprüft wird
Das im Kniegelenk gestreckte Bein wird beim liegenden Patienten passiv in der Hüfte gebeugt
Positiv bei Schmerz meist 60 Grad
Umgekehrtes Lasègue-Zeichen...
Prüft man in Rückenlage
Ist kein neurologisch relevantes Zeichen
Bezeichnet man die Schmerzauslösung bei Überstreckung des gestreckten Beines im Hüftgelenk
Prüft man durch Überstreckung im Hüftgelenk
Pathogenese vom Bandscheibenvorfall
Durch den Riss kann Bandscheibengewebe aus dem Intervertebralraum austreten
Durch Wasserreduktion kann es zu Rissen im Bereich des Anulus fibrosus kommen
Chondrose führt zu Stabilität des Bewegungssegmentes
Chondrose führt zu Instabilität des Bewegungssegmentes
Ein postero-medialer Bandscheibenvorfall verursacht
Spondylolisthesis
Kaudasyndrom
Komprimierung von der Cauda equina
Skoliose
Für Bandscheibenvorfälle ist typisch...
Ereignen sich im Bereich der unteren Lendenwirbel
Meistens medial
HWS am häufigsten betroffen
Meistens medio-lateral
Hypästhesie ist...
Eine umschriebene oder allgemeine Verbesserung der Berührungs- und Drucksensibilität der Haut bezeichnet
Ein Schmerzmittel den man bei Discusprolaps OPs benutzt
Ein Teilausfall der motorischen Funktion eines Muskels, einer Muskelgruppe oder einer Extremität
Eine umschriebene oder allgemeine Verminderung der Berührungs- und Drucksensibilität der Haut bezeichnet
Parese ist...
Eine umschriebene oder allgemeine Verbesserung der Berührungs- und Drucksensibilität der Haut bezeichnet
Eine umschriebene oder allgemeine Verminderung der Berührungs- und Drucksensibilität der Haut bezeichnet
Ein Teilausfall der sensorischen Funktion eines Muskels, einer Muskelgruppe oder einer Extremität
Ein Teilausfall der motorischen Funktion eines Muskels, einer Muskelgruppe oder einer Extremität
L4 Syndrom
Biceps brachii parese
Hypästhesie über Knie und medialem Unterschenkel
Quadricepsparese
Patellarsehnenreflex fehlend
Diagnostik Discusprolaps
Wenn Lasegue Zeichen positiv
MRI
Röntgen LWS ap/seitlich im stehen
Wenn Lasegue Zeichen negativ
Ursache/en einer spinalen Stenose...
Krümmung der Wirbelsäule
Zu viel Calcium im Körper
Spondylarthrose
Arthrotische Veränderungen der kleinen Wirbelgelenke
Relative Spinalkanal Stenose
Durchmesser 10 - 12mm
Durchmesser 7 - 9mm
Durchmesser 10 - 12nm
Durchmesser 12 - 15mm
Was versteht man unter einer Flavumhypertrophie?
Vergrösserung des Spinalkanals und der Foramina intervertebralia
Hypertrophie des Ligamentum flavums
Hypertrophie des musculus Flavums
Einengung des Spinalkanals und der Foramina intervertebralia
Klinik einer Spinale stenose...
Patienten Beugen sich bei dem Gehen - Claudicatio spinalis
Kreuzschmerz
Bamstige Füße
Assymptomatisch
Was passt zur klinischen Untersuchung der Spinalen stenose?
Lasegue positiv
Meist keine Paresen
Meist keine Hypästhesie
Lasegue negativ
Was ist eine Spondylolyse?
Krümmung der Wirbelsäule
Eine umschriebene oder allgemeine Verbesserung der Berührungs- und Drucksensibilität der Haut bezeichnet
Bildung eines Spalts in der Pars interarticularis eines Wirbelbogens
Eine umschriebene oder allgemeine Verminderung der Berührungs- und Drucksensibilität der Haut bezeichnet
In welche Richtung gleiten die Wirbel bei Spondylolisthese?
Nach kaudal
Nach ventral
Nach dorsal
Nach rostral
Je jünger das Kind beim Eintreten der Spondylolyse ist, desto größer ist die Gefahr der Entwicklung einer hochgradigen Spondylolisthesis
Richtig
Falsch
Welche 2 Zeichen in Bezug auf Röntgenbilder sind wichtig bei einer Spondylolisthese?
Umgekehrte Napoleonshut
Schweinchen mit Armband
Che Guevaras Haare
Hündchen mit Halsband
Welche Skala ist wichtig bei einer Spondylolisthese?
Lasegue Grad Skala
Adams Grad Skala
Cobb Grad Skala
Meyerding Grad Skala
Was ist eine Spondyloptose?
Meyerding grad 4
Komplettes abgleiten von L5 über Os sacrum
Positiver Adams Test
50% Cobb Winkel
Was machen Patienten mit einer Spondylolisthese bei einem Lasegue Test?
Bleiben ganz ruhig liegen
Heben den Kopf
Heben schmerzreflektorisch den gesamten Rumpf
Heben den anderen Fuß
Was stimmt NICHT zur degenerativen Spondylolisthese?
Häufiger bei Männern auftretend
Nie mehr als 30% Abrutsch
Nach dem 50. Lebensjahr auftretend
Am häufigsten bei Kindern auftretend
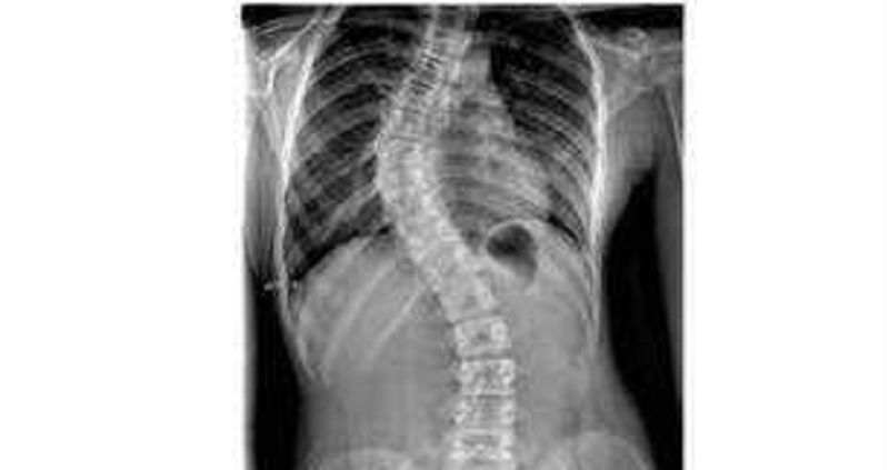
Was ist eine Skoliose?
Erweiterung des Spinalkanals
Seitabweichung der Wirbelsäule von der Längsachse mit Rotation der Wirbelkörper um die Längsachse und Torsion der Wirbelkörper
Verengung des Spinalkanals
Wirbelgleiten
Mädchen sind häufiger von einer Skoliose betroffen als Jungs.
Richtig
Falsch
Wichtig bei der Diagnose einer Skoliose?
Untersuchung am entkleideten Patienten
Rippenbuckel bei Vorbeugen
Lasegue Zeichen
Adams Test
Wie heißt der Test der für die Diagnose einer Skoliose benutzt ist?
Lasegue Test
Alans Test
Adams Test
Klemens Test
Was wird mit dem Risser-Zeichen bestimmt?
Der Winkel einer Skoliose
Anhand einer Röntgenaufnahme die Ausprägung der Verknöcherung der Beckenkammapophysen
Das Gleiten eines Wirbelkörpers
Ossifikation der Beckenkammapophysen
Wie viele physiologische Kyphosen hat die Wirbelsäule?
4
1
3
2
Was stimmt zur Kyphose
Dorsal konkave Form der Wirbelsäule
Ist immer pathologisch
Dorsal konvexe Form der Wirbelsäule
Kann man nur Operativ behandeln
Wie beschreibt man einen Morbus Scheuermann?
Wachstumsbedingte vermehrte Lordose der SWS oder
Wachstumsbedingte vermehrte Kyphose der HWS oder
Wachstumsbedingte vermehrte Kyphose der BWS oder
Wachstumsbedingte vermehrte Lordose der BWS oder
Was ist die häufigste Wirbelsäulenaffektion?
Morbus Bechterew
Hyperlordose
Morbus Scheuermann
Skoliose
Von einem Morbus Scheuermann sind mehr Jungs als Mädchen betroffen?
Richtig
Falsch
Keilförmige Wirbelkörper, Schmorlsche Knötchen und herabhängende Schultern sprechen am ehesten für:
Morbus Bechterew
Morbus Scheuermann
Skoliose
Hyperlordose
Was stimmt zu Schmorlschen Knötchen?
Verlagerung (Herniation) von Bandscheibengewebe in den Wirbelkörper
Zeichen für die Diagnose von Morbus Scheuermann
Nicht klinisch relevant
Einbruch von Bandscheibenmaterial in die Wirbelkörperabschlussplatten und den Randleistenanulus
Facettensyndrom
Ist ein Einbruch von Bandscheibenmaterial in die Wirbelkörperabschlussplatten und den Randleistenanulus
Ist ein klinischer Sammelbegriff für Rückenbeschwerden, die durch degenerative Veränderungen der kleinen Wirbelgelenke ausgelöst werden
Ist nicht klinisch relevant
Ischer Sammelbegriff für Rückenbeschwerden, die durch degenerative Veränderungen des anulus fibrosus ausgelöst werden

Wie nennt man diesen Test?
Quadrizepssehnen Test
Unterschenkel Muskel Test
Patellarsehnenreflex Test
PSR Test

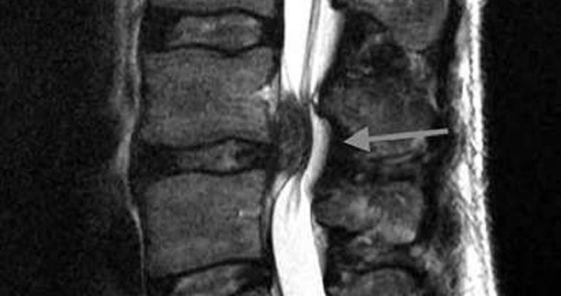
Welche Erkrankung beschreibt dieses Bild?
Skoliose
Spondylolisthese bei Spondylolyse
Morbus Scheuermann
Spondyloptose

Lasegue positiv
Adams test positiv
Adams test negativ
Peters test negativ
{"name":"B11 - Wirbelsäule Erkrankungen", "url":"https://www.quiz-maker.com/QPREVIEW","txt":"Lasègue-Zeichen..., umgekehrtes Lasègue-Zeichen..., Pathogenese vom Bandscheibenvorfall","img":"https://cdn.poll-maker.com/6-355206/straight-leg-test.gif?sz=1200-000022100053"}
More Quizzes
Wings of Fire TRIVIA
1160
Maths
10510
SAP fiori app 11-20
10515
- Rock & Lol Quiz -
320
Can You Master the Principles of ABA? Take the!
201050993
Cosmetology Practice Exam: Free to Test Your Skills
201056085
Free: Which Situation Is Opportunity Cost?
201021913
What Serum Should I Use: Discover Your Perfect Face Serum
201026429
Free Degrees & Radians Conversion Practice
201021315
Free Composite Shapes Worksheet
201024818
Types of Shock EMT: Test Your Life-Saving Skills
201045897
Which Species Are You? Discover Your Inner Creature
201027473





