Oral Path ID Chapter 6-9
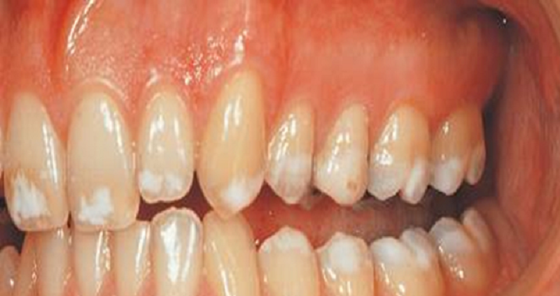
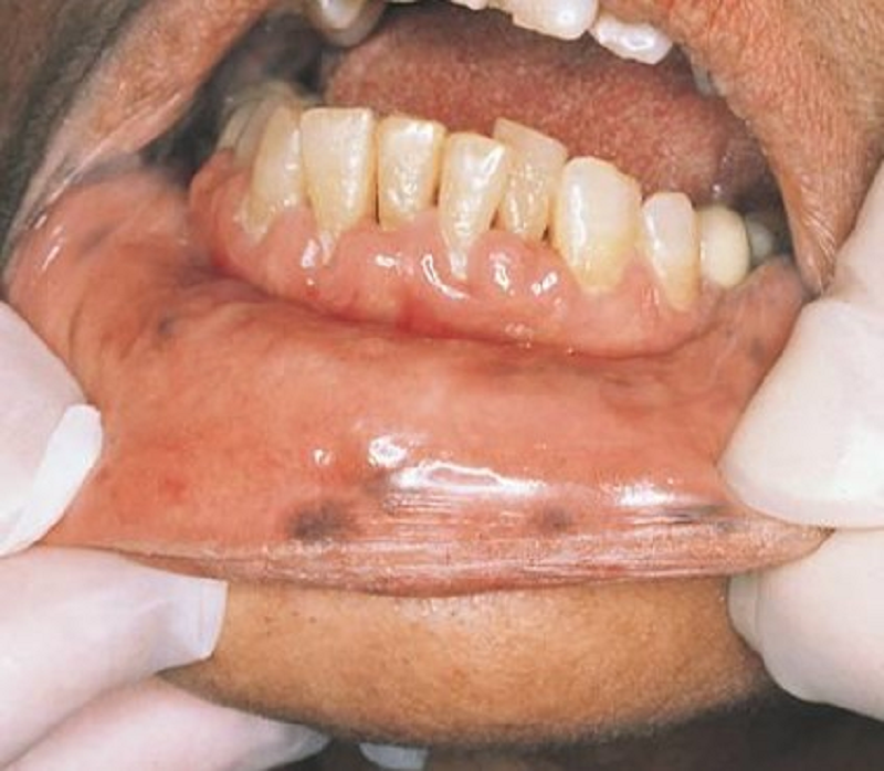
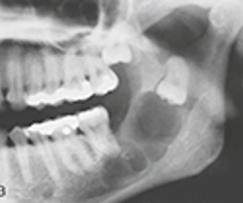
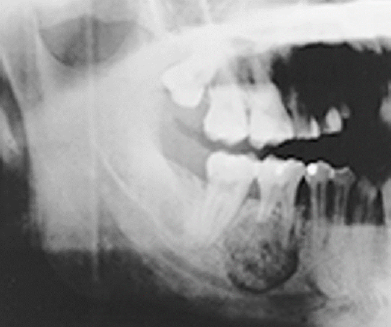
{"name":"Oral Path ID Chapter 6-9", "url":"https://www.quiz-maker.com/QPREVIEW","txt":"This condition is linked with Keratinosis of the palms of the hands & the soles of the feet. Individuals with this condition are likely to experience tooth mobility and premature tooth loss., This Term is used to describe The Appearance of type III (hypomaturation) Amelogenesis Imperfecta, Radiographs of a person with this condition appear to have a multilocular or “soap bubble” appearance","img":"https://www.quiz-maker.com/3012/CDN/92-4508546/final-pic-1.png?sz=1200"}
More Quizzes
BelohorizonteUniversal - Política de privacidad. © Copyright Todos los derechos reservados. TiempoSantiago
100
Izzys quiz
14731
Which Member of The Grapes Are You?
10521
Vote youre favourite color
100
Wizard of Oz Trivia Questions - Free Online
201024152
Which Geeky Type Are You? Free Personality
201020292
Car Trivia - Test Your Knowledge with Answers
201023326
Multiple Personality Disorder Test - Free DID Screening
201021479
How to Find Your Niche - Discover Your Best Fit
201020183
3.12 Unit Test: Nutrition Part 1 - Free Practice
201017577
What Coffee Should I Get? Find Your Perfect Brew
201019865
FBLA Financial Math Practice Test - Free
201018984























