Oral Surgery 03

1. What is the name of this flap?
Envelope flap
Triangular flap
Three sided fap
All are not corrects
2. There are only 2 ways to surgically remove a tooth?
Use elevator or use forceps
Make the socket bigger or make the tooth smaller
Use elevator and make tooth smaller
All are correct
3. Diagnosis Definition?
A judgment about what a particular illness is, made after examining it
The process of differentiating between two or more conditions which share similar signs or symptoms
A doctor's judgment of the likely or expected development of a disease or of the chances of getting better
All are not correct
4. Differential diagnosis definition?
The process of differentiating between two or more conditions which share similar signs or symptoms
A doctor's judgment of the likely or expected development of a disease or of the chances of getting better
A judgment about what a particular illness is, made after examining it
All are not correct
5. On panoramic radiograph, cysts appear as?
Radiolucent (dark) areas with radiopaque (white) borders
Radiopaque (white) areas with radiolucent (dark) borders
Radiopaque (white) with radiolucent (dark) areas
All are not correct
6. Normal characteristics of dental cyst?
Cysts are usually unilocular, but maybe multilocular
Fluid aspirated from a radicular cyst may display shimmering due to cholesterol content
The exact diagnosis of the type of cyst is often made from pathological examination
All are correct
7. Normal characteristics of peri-apical dental granuloma?
Radiolucency found at the apex of a tooth with chronic inflammation
Usually round or oval with a distinct border
Could be confused with radicular cyst or periapical abscess
All are correct
8. Prognosis definition?
A judgment about what a particular illness is, made after examining it.
A doctor's judgment of the likely or expected development of a disease or of the chances of getting better
The process of differentiating between two or more conditions which share similar signs or symptoms
All are not corrects
9. Normal Oxygen Saturation rate?
96% - 99%
93% -98%
94% - 98%
98% - 99%
10. Normal value for International Normalized Ratio?
0.6 – 1
0.5 – 1
0.8 – 1
0.7 – 1
11. Normal temperature rate?
36.5 ͦ C -37.5 ͦ C
35.5 ͦ C -38 ͦ C
36 ͦ C -38 ͦ C
All are not correct
12. Accurate diagnosis needs?
Case history
Clinical examination
Special test
All are correct
13. Indications for surgical extraction of a tooth?
Tooth with unusual root morphology
Hypercementosis of root
Multiple roots
Tooth with unusual root morphology and hypercementosis of root
14. Contra-indications for surgical extraction of a tooth?
There are serious health problems present such as uncontrolled diabetes
Older patients with a risk of serious local complication (the dislodging of a root tip into the maxillary sinus)
Older patients with a risk of serious local complication (injury of the alveolar nerve)
All are correct
15. Palpation areas of lymph nodes are?
Sub-mental
Sub-mandibular
Deep cervical
All are correct
16. The sensation feeling when doing palpation are?
Tender
Mobile
Fixed
All are correct

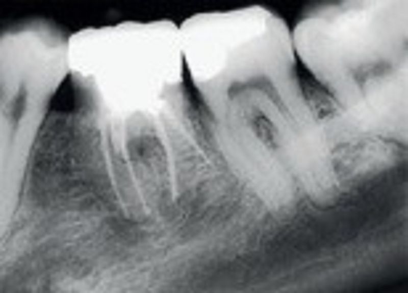
17. The below picture showed?
Unusual root morphology
Hypercementosis of roots
Ankylosed roots
All are correct
18. Temporomandibular joint disorder sign and symptoms?
Tenderness
Mouth opening limitation
Clicking noise
All are correct
19. Vertical percussion (Tender/not tender)?
Peri-apical periodontitis and peri-apical granuloma
Periodontal pathology (abscess)
Peri-apical periodontitis, peri-apical granuloma and periodontal pathology (abscess)
All are correct
20. Horizontal percussion (Tender/not tender)?
Peri-apical periodontitis and peri-apical granuloma
Peri-apical periodontitis, peri-apical granuloma and periodontal pathology (abscess)
Periodontal pathology (abscess)
All are correct
21. Intra-oral examination of soft tissue?
Buccal mucosa, floor of the mouth, and tongue
Lip, palatal mucosa, and oropharynx
Uvula and tonsil
All are correct
22. The extraction of root tips should not be considered, especially in older patients, when?
There is a risk of a root tip into the maxillary sinus
There is a risk of a root tip into the alveolar nerve
There are serious health problems present
All are correct
23. Clinical factors predicting extraction difficulty?
Impacted teeth
Inadequate access
Excessively strong supporting tissues
All are correct
24. Radiographic factors predicting extraction difficulty?
Accessory roots
Multiple roots
Close to vital structure
All are correct

25. What is the name of this flap?
Envelope flap
Triangular flap
Three sided fap
Two-sided flap
26. Flap design features?
Broad base
Adequate size
Avoid important structure
All are correct

27. What is the name of this flap?
X flap
Y flap
Full thickness flap
Three-sided flap
28. The main flaps for lower third molar?
Envelope flap
Three-sided flap
Triangular flap
All are correct

29. What is the name of this flap?
Envelope flap
Triangular flap
Three sided fap
Four sided flap
30. If a nearby tooth was unintentionally luxated, the tooth should be stabilized for approximately?
20 – 40 days
40 – 60 days
60 – 80 days
60 – 90 days
31. If a nearby tooth was unintentionally dislocated, the tooth should be repositioned and stabilized for approximately?
2 – 3 weeks
3 – 4 weeks
4 – 5 weeks
5 – 6 weeks
32. Important anatomical structures to be avoided?
Nerves
Sinus
Arteries
All are correct
33. The main means of arresting bleedings are?
Compression
Ligation and suture
Use of various hemostatic agents
All are correct
34. A tooth or root fragment could be displaced into?
soft tissue
Lung
Under periosteum
All are correct
35. Cut releasing incisions to avoid cutting through the mental nerve?
Cut releasing incisions mesial of the 4 or distal of the 6
Cut releasing incisions mesial of the 5 or distal of the 6
Cut releasing incisions mesial of the 4 or distal of the 5
All are correct
36. Oro-antral communication could be examined by?
Fluid come out of the nose when drinking
Valsalva Method
Bubble and sound come out from the hole
All are correct
37. For lower wisdom tooth surgery, the incision must go towards the disto-buccal to?
Avoid cutting the long buccal nerve
Avoid cutting the inferior alveolar nerve
Avoid cutting the lingual nerve
All are correct

38. What is the name of below technique?
Lateral window technique
Caldwell-Luc Technique
Semilunar incision technique
Two-sided flap

39. What is the name of this flap?
Three-sided flap
Two-corner-flap
Vestibular flap
Triangular flap
40. The most common nerve injuries are?
Inferior alveolar nerve
Mental nerve
Lingual nerve
All are correct
41. Delay wound healing is due to?
A firm continuous stroke of incision
A flap releasing stays sub-periosteum
During the incision, the scalpel is in constant contact with bone
Interrupted stroke of incision
42. A good incision should avoid?
Cross the canine eminence
Cross the attached gingivae directly over the facial aspect of a tooth
Through the inter-dental papillae
All are correct
43. Neurapraxia means?
Temporary nerve conduction failure
Degeneration of nerve axons
Formation of scar tissue
Permanent nerve conduction failure
44. Third molar surgical swelling reaches a maximum within?
24 – 48 hours post-operatively
48 – 72 hours post-operatively
72 – 96 hours post-operatively
96 – 120 hours post-operatively

45. What is it called?
Hematoma
Infection
Liver clot
There are corrects
46. Fibrinolytic Alveolitis characteristic?
Empty socket
Fetid breath odor
Severe pain
All are correct
47. Which one is wrong about treatment of dry socket?
Irrigate with saline to remove food debris
Place a sedative dressing such as Alvogyl (contains iodine)
Prescribe antibiotics
There are corrects
48. Intermediate hemorrhage?
Occurs during the time of surgery
Refers to bleeding that occurs within 24 hours of surgery
Occurs after 24 hours of surgery
There are corrects
49. Goal of suturing?
Provide support for tissue margin
Prevent bone exposure
Maintain hemostasis
All are correct
50. Plain catgut suture absorption time?
20 – 40 days
40 – 60 days
60 – 80 days
80 – 100 days
{"name":"Oral Surgery 03", "url":"https://www.quiz-maker.com/QPREVIEW","txt":"1. What is the name of this flap?, 2. There are only 2 ways to surgically remove a tooth?, 3. Diagnosis Definition?","img":"https://www.quiz-maker.com/3012/CDN/105-5121004/image001.jpg?sz=1200"}
More Quizzes
Caz 2 - Agresiune - fractura antebrat
136153
INSIGNIA Annual Events 2023
1160
1780
MHW TEST 2
9430
Which LOL Doll Are You? Take the Fun Personality!
201023330
Can You Guess LDShadowLady's Real Name? Take the!
201043187
Free General Medical Exam Prep
201020539
Free Drug Abuse Prevention Knowledge Test
201022346
Fun Word Formation: Test Your Vocabulary Skills!
201025035
Free Christmas General Knowledge
201019603
Free Patient Identification Protocol
201023684
Italian Trivia Questions: Test Your Italian Food IQ
201025899